Imagens e vídeos
IMAGENS

Faringite aguda
Visão intraoral de um paciente com faringite por estreptococo do grupo A
CDC/Dr. Heinz F. Eichenwald; domínio público
Veja esta imagem em contexto nas seguintes seções:

Faringite aguda
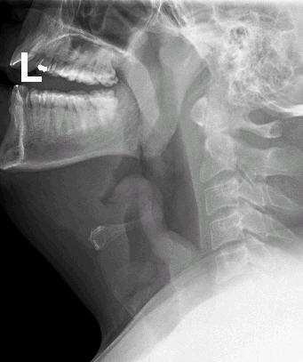
Filme lateral do pescoço demonstrando epiglotite
Do acervo pessoal de Dr. Petri; uso autorizado
Veja esta imagem em contexto nas seguintes seções:

Faringite aguda
Pseudomembrana típica de faringite diftérica
Copyright do Departamento de Medicina Pediátrica e Hebiátrica, Princess Margaret Hospital, Hong Kong; utilizado com permissão
Veja esta imagem em contexto nas seguintes seções:

Faringite aguda
Erupção cutânea escarlatiniforme no antebraço decorrente da bactéria estreptococo do grupo A
Cortesia da CDC Public Health Image Library
Veja esta imagem em contexto nas seguintes seções:
O uso deste conteúdo está sujeito ao nosso aviso legal