Diagnósticos diferenciais
Diretriz confiável
ebpracticenet recomenda que você priorize as seguintes diretrizes locais:
Acute KeelpijnPublicada por: Werkgroep Ontwikkeling Richtlijnen Eerste Lijn (Worel)Última publicação: 2017Mal de gorge aiguPublicada por: Groupe de Travail Développement de recommmandations de première ligneÚltima publicação: 2017Epiglotite
SINAIS / SINTOMAS
Início intenso e agudo de faringite e febre.
Alteração notável na qualidade da voz para uma textura abafada.
Sialorreia.
Postura trípode ou de farejamento em crianças.
Investigações
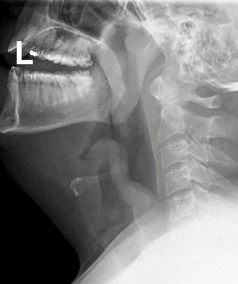
A visualização direta da epiglote (sob circunstâncias controladas na sala de cirurgia, com capacidade imediata de intubação em caso de fechamento das vias aéreas) ou radiografia lateral do pescoço.[Figure caption and citation for the preceding image starts]: Filme lateral do pescoço demonstrando epiglotiteDo acervo pessoal de Dr. Petri; uso autorizado [Citation ends].
Abscesso retrofaríngeo, peritonsilar e lateral
SINAIS / SINTOMAS
Faringite, febre, dor cervical e voz abafada.
Mais comum em crianças com 2 a 4 anos de idade.
Pode estar associado a história de trauma oral ou faríngeo em crianças mais velhas.
Investigações
Estudos por imagem do pescoço podem ser necessários para visualizar o abscesso.
Mononucleose infecciosa
SINAIS / SINTOMAS
Faringite com duração maior que diversos dias.
Adenopatia e esplenomegalia.
Investigações
Monoteste sérico positivo para infecção pelo vírus Epstein-Barr.
Linfócitos atípicos em sangue periférico.
Difteria
SINAIS / SINTOMAS
Faringite com membrana cinza aderente à faringe.[Figure caption and citation for the preceding image starts]: Pseudomembrana típica de faringite diftéricaCopyright do Departamento de Medicina Pediátrica e Hebiátrica, Princess Margaret Hospital, Hong Kong; utilizado com permissão [Citation ends].
Raramente observada, exceto em países de renda baixa a média ou em populações não vacinadas.
Investigações
Cultura de recuperação do organismo.
Síndrome de Lemierre
SINAIS / SINTOMAS
Tromboflebite da veia jugular, com abscesso anaeróbio misto.
Apresenta-se geralmente em pacientes com síndrome da resposta inflamatória sistêmica (SRIS) ou sepse.
Investigações
Estudos por imagem do pescoço demonstram abscesso.
Sarampo
SINAIS / SINTOMAS
Infecção sistêmica com conjuntivite, rinorreia, tosse e exantema característico (exantema maculopapular).
A faringite aparece durante a fase exantematosa.
Manchas de Koplik (lesões branco-azuladas, salientes, em uma base eritematosa na mucosa oral) são patognomônicas.
Investigações
IgM anti-sarampo, cultura viral ou reação em cadeia da polimerase: positivas.
Doença do coronavírus 2019 (COVID-19)
SINAIS / SINTOMAS
Contato próximo com um caso confirmado ou provável de COVID-19, nos 14 dias anteriores ao início dos sintomas.
Podem-se ter outros sintomas, tais como tosse, sintomas gastrointestinais ou sintomas sistêmicos, incluindo febre.
No entanto, os pacientes podem apresentar sintomas leves ou faringite isoladamente.
Investigações
Reação em cadeia da polimerase via transcriptase reversa em tempo real (RT-PCR): positiva para RNA de síndrome respiratória aguda grave por coronavírus 2 (SARS-CoV-2).
Síndrome de Behçet
SINAIS / SINTOMAS
Vesículas na faringe, úlceras genitais, lesões cutâneas e lesões oculares.
Investigações
Exame laboratorial e exames por imagem não são úteis no diagnóstico da síndrome de Behcet, mas têm o seu papel na exclusão de diagnósticos alternativos.
Síndrome de Stevens-Johnson
SINAIS / SINTOMAS
História de uso de anticonvulsivantes, infecções recentes, convulsões ou nova medicação.
Vesículas na faringe juntamente com alterações mais acentuadas na mucosa.
Investigações
O diagnóstico é feito pelo quadro clínico e confirmado por biópsia de pele.
Doença de Kawasaki
SINAIS / SINTOMAS
Os sinais típicos incluem febre por mais de 5 dias, erupção cutânea polimórfica, olhos injetados (conjuntivite), grande adenopatia cervical unilateral e eritema da mucosa com língua em morango.
Inflamação difusa da mucosa oral.
Investigações
O diagnóstico é feito por quadro clínico.
Aneurismas de artéria coronária podem estar presentes na ecocardiografia.
Doença mão-pé-boca
SINAIS / SINTOMAS
Infecção viral comum na infância geralmente causada pelo vírus coxsackie A16.
Geralmente, uma doença leve caracterizada por febre baixa, úlceras orais dolorosas e vesículas nas palmas das mãos e solas dos pés.
Investigações
Contagem leucocitária elevada, linfócitos atípicos.
O ensaio molecular de reação em cadeia da polimerase é uma modalidade diagnóstica emergente.
Câncer orofaríngeo
SINAIS / SINTOMAS
Rouquidão, disfonia, faringite, dificuldade para deglutição, lesões das pregas vocais na laringoscopia indireta e massa ou adenopatia do pescoço.
Investigações
Tomografia computadorizada (TC) do pescoço pode ser diagnóstica e é essencial para avaliar a extensão da doença.
A análise citológica do aspirado por agulha fina pode estabelecer o diagnóstico, embora uma biópsia seja geralmente exigida.
Úlceras aftosas
SINAIS / SINTOMAS
Diversas úlceras pequenas recorrentes eritematosas, redondas ou ovoides com margens circunscritas, tipicamente se apresentando primeiramente na infância ou adolescência.
Investigações
O diagnóstico tem como base a história e o exame clínico, com exclusão de uma etiologia sistêmica; não há achados laboratoriais específicos.
Síndrome de febre periódica, estomatite aftosa, faringite e adenite (PFAPA)
SINAIS / SINTOMAS
Febres recorrentes associadas a faringite, úlceras aftosas e adenite.
Investigações
História de recorrência frequente (a cada 2-6 semanas) com resolução espontânea.
O uso deste conteúdo está sujeito ao nosso aviso legal