Imagens e vídeos
IMAGENS

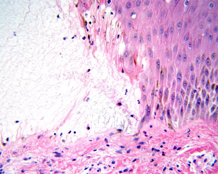
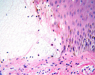
Penfigoide bolhoso
Fibrinas e eosinófilos presentes na cavidade da vesícula
Do acervo da Dra. Vesna Petronic-Rosic
Veja esta imagem em contexto nas seguintes seções:

Penfigoide bolhoso
Variante vesicular: vesículas tensas
Do acervo da Dra. Vesna Petronic-Rosic
Veja esta imagem em contexto nas seguintes seções:

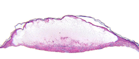
Penfigoide bolhoso
Microscopia óptica: vesícula subepidérmica
Do acervo da Dra. Vesna Petronic-Rosic
Veja esta imagem em contexto nas seguintes seções:

Penfigoide bolhoso
Faixa linear de IgG na zona da membrana basal
Do acervo da Dra. Vesna Petronic-Rosic
Veja esta imagem em contexto nas seguintes seções:

Penfigoide bolhoso
Vesículas tensas e cheias de líquido em pele normal e eritematosa
Do acervo da Dra. Vesna Petronic-Rosic
Veja esta imagem em contexto nas seguintes seções:

Penfigoide bolhoso
Vesículas tensas e cheias de líquido em pele normal e eritematosa do tronco e membros
Do acervo da Dra. Vesna Petronic-Rosic
Veja esta imagem em contexto nas seguintes seções:

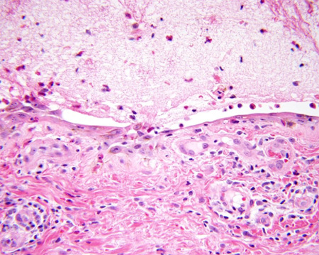
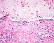
Penfigoide bolhoso
Rede de fibrinas presente na cavidade da vesícula, enquanto o infiltrado dérmico contém muitos eosinófilos
Do acervo da Dra. Vesna Petronic-Rosic
Veja esta imagem em contexto nas seguintes seções:
O uso deste conteúdo está sujeito ao nosso aviso legal