Investigações
Primeiras investigações a serem solicitadas
Hemograma completo
Exame
Todos os pacientes devem fazer um hemograma completo na apresentação inicial.[70][71]
Anemia pode ocorrer em decorrência da inflamação crônica, sangramento crônico, má absorção de ferro e/ou má absorção de vitamina B12 ou ácido fólico.
A leucocitose está associada à inflamação aguda ou crônica, abscesso ou tratamento com corticosteroides.
Trombocitose é um marcador útil de inflamação ativa.
Resultado
anemia; leucocitose; possibilidade de trombocitose
perfil de ferro (ferro sérico, ferritina sérica, capacidade total de ligação do ferro [TIBC], saturação da transferrina)
Exame
Os pacientes devem ser submetidos a perfil de ferro sérico.[71][72]
Pacientes com doença inflamatória intestinal que estão desnutridos ou em risco de desnutrição devem fazer exames de sangue de rastreamento relevantes para avaliar as deficiências de macronutrientes e micronutrientes.[70]
A deficiência de ferro pode estar associada a hemorragia digestiva ou má absorção de ferro.
Resultado
normal ou pode apresentar alterações compatíveis com a deficiência de ferro
vitamina B12 sérica
Exame
Os níveis de B12 devem ser verificados.[70]
A deficiência pode ser secundária à má absorção. Pacientes com doença inflamatória intestinal que estão desnutridos ou em risco de desnutrição devem fazer exames de sangue de rastreamento relevantes para avaliar as deficiências de macronutrientes e micronutrientes.[70]
A deficiência é mais comum em doença de Crohn ileocecal e após ressecção ileocecal.
Resultado
pode estar normal ou baixo
folato sérico
Exame
Os níveis séricos de folato devem ser verificados.[70]
A deficiência pode ser secundária à má absorção. Pacientes com doença inflamatória intestinal que estão desnutridos ou em risco de desnutrição devem fazer exames de sangue de rastreamento relevantes para avaliar as deficiências de macronutrientes e micronutrientes.[70]
Resultado
pode estar normal ou baixo
perfil metabólico completo (CMP)
Exame
Todos os pacientes devem fazer um CMP na apresentação inicial.
A hipomagnesemia e a hipofosfatemia podem ser causadas por diarreia, e a hipoprotrombinemia pode refletir deficiência de vitamina K.
Resultado
hipoalbuminemia, hipocolesterolemia, hipocalcemia
Proteína C-reativa e velocidade de hemossedimentação (VHS)
Exame
Todos os pacientes devem fazer exame de proteína C-reativa e VHS na apresentação inicial.[70][71]
Os marcadores inflamatórios estão bem relacionados à atividade da doença de Crohn (DC).[93]
Nos pacientes com DC com sintomas moderados a graves, níveis elevados de calprotectina fecal ou proteína C-reativa sérica sugerem atividade endoscópica, e a avaliação endoscópica pode ser evitada.[66]
Resultado
elevado
exame de fezes
Exame
A testagem para toxina de Clostridium difficile é indicada especialmente se houver história de uso recente de antibióticos, pois a infecção por C difficile está associada a maior mortalidade em curto e longo prazos nos pacientes com doença inflamatória intestinal.[9][73]
Resultado
ausência de elementos infecciosos observada na microscopia ou cultura
sorologia para Yersinia enterocolitica
Exame
É importante para descartar a Y enterocolitica, um agente patogênico intestinal causador de ileíte aguda.[74] Pode ser solicitada em situações agudas.
Resultado
negativo
radiografia abdominal simples
Exame
Radiografias abdominais simples podem fazer parte dos exames iniciais solicitados em situações agudas. Elas não são diagnósticas da doença de Crohn, mas podem ser sugestivas e ajudar a avaliar a gravidade. Dilatação das alças intestinais e pneumoperitôneo podem ser visíveis.
Resultado
dilatação do intestino delgado ou cólon; calcificação; sacroileíte; abscessos intra-abdominais
RNM de abdome/pelve
Exame
Os pacientes que são capazes de tolerar o contraste oral são candidatos à enterografia por TC ou enterografia por ressonância magnética (RM).[75] As características da enterografia por RM (sensibilidade de 77% a 82%, especificidade de 80% a 100%) são semelhantes às da enterografia por TC, mas a disponibilidade pode ser limitada.[75]
Também foi demonstrado que a RNM produz uma precisão diagnóstica robusta na detecção de estenoses fibróticas, na distinção entre estenoses fibróticas e inflamatórias e na avaliação da gravidade das estenoses em pacientes com doença de Crohn.[76]
As diretrizes sugerem que a enterografia por RM deve ser o exame de escolha, pois não expõe o paciente à radiação ionizante.[70][71][77][Figure caption and citation for the preceding image starts]: Tomografia computadorizada (TC) mostrando espessamento do íleo terminal em um paciente com exacerbação da doença de CrohnFornecido pelo Dr. Wissam Bleibel, Dr. Bishal Mainali, Dr. Chandrashekhar Thukral e Dr. Mark A. Peppercorn, os autores anteriores deste tópico [Citation ends].
[Figure caption and citation for the preceding image starts]: Tomografia computadorizada (TC) mostrando espessamento do íleo terminal em um paciente com exacerbação da doença de CrohnFornecido pelo Dr. Wissam Bleibel, Dr. Bishal Mainali, Dr. Chandrashekhar Thukral e Dr. Mark A. Peppercorn, os autores anteriores deste tópico [Citation ends].
Resultado
lesões descontínuas e segmentares (skip lesion), espessamento da parede intestinal, inflamação adjacente, abscesso, fístulas
tomografia computadorizada (TC) abdominal
Exame
Os pacientes que são capazes de tolerar o contraste oral são candidatos à enterografia por TC ou enterografia por ressonância magnética (RM).[75] A enterografia por TC é sensível (75% a 90%) e pode avaliar diagnósticos alternativos e complicações potenciais da doença de Crohn (por exemplo, obstrução, abscesso, fístula).[75]
As diretrizes sugerem que a enterografia por RM deve ser o exame de escolha, pois não expõe o paciente à radiação ionizante.[70][71][77][Figure caption and citation for the preceding image starts]: Tomografia computadorizada (TC) mostrando espessamento do íleo terminal em um paciente com exacerbação da doença de CrohnFornecido pelo Dr. Wissam Bleibel, Dr. Bishal Mainali, Dr. Chandrashekhar Thukral e Dr. Mark A. Peppercorn, os autores anteriores deste tópico [Citation ends].
[Figure caption and citation for the preceding image starts]: Tomografia computadorizada (TC) mostrando espessamento do íleo terminal em um paciente com exacerbação da doença de CrohnFornecido pelo Dr. Wissam Bleibel, Dr. Bishal Mainali, Dr. Chandrashekhar Thukral e Dr. Mark A. Peppercorn, os autores anteriores deste tópico [Citation ends].
Resultado
lesões descontínuas e segmentares (skip lesion), espessamento da parede intestinal, inflamação adjacente, abscesso, fístulas
Investigações a serem consideradas
ultrassonografia abdominal e pélvica
Exame
Uma ultrassonografia do abdome e da pelve pode ser considerada.[70][71][75]
A sensibilidade e a especificidade variam de 75% a 94% e de 67% a 100%, respectivamente.[75] A ultrassonografia pode facilitar a detecção de complicações extramurais, a detecção e avaliação de estenoses estenóticas e o monitoramento da evolução da doença.[71][79]
Obesidade, gases intestinais sobrejacentes e rigidez (em pacientes agudamente enfermos) podem impedir a compressão adequada da sonda de ultrassonografia.[80]
Uma precisão comparável às modalidades de TC ou RM foi observada na visualização do íleo quando a ultrassonografia intestinal é realizada por profissionais treinados.[80] As limitações dessa técnica incluem visualização limitada do estômago, esôfago e reto e incapacidade de realizar procedimentos intervencionistas.[80]
Resultado
espessamento da parede intestinal, inflamação adjacente, abscesso; abscesso tubo-ovariano
ileocolonoscopia
Exame
A ileocolonoscopia e os estudos de imagem são complementares no diagnóstico da doença de Crohn (DC).[70][71][75]
As alterações da mucosa sugestivas de DC incluem nodularidade da mucosa, eritema, edema, ulcerações, friabilidade, estenose e a identificação de abertura da fístula no trato.[71]
As lesões são descontínuas, com áreas intermitentes de intestino de aspecto normal (lesões descontínuas e segmentares [skip lesions]).[Figure caption and citation for the preceding image starts]: vista endoscópica da ileíte de CrohnFornecido pelo Dr. Wissam Bleibel, Dr. Bishal Mainali, Dr. Chandrashekhar Thukral e Dr. Mark A. Peppercorn, os autores anteriores deste tópico [Citation ends].
A evidência de um reto normal e envolvimento isolado do íleo terminal dá suporte ao diagnóstico.
Resultado
úlceras aftosas, hiperemia, edema, nodularidade mucosa, lesões descontínuas e segmentares (skip lesion)
biópsia tecidual
Exame
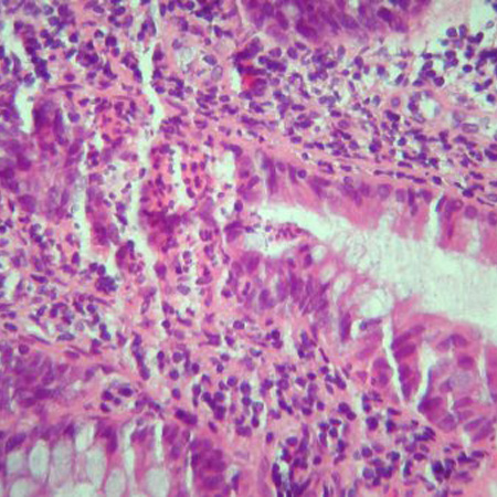
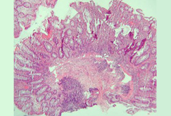
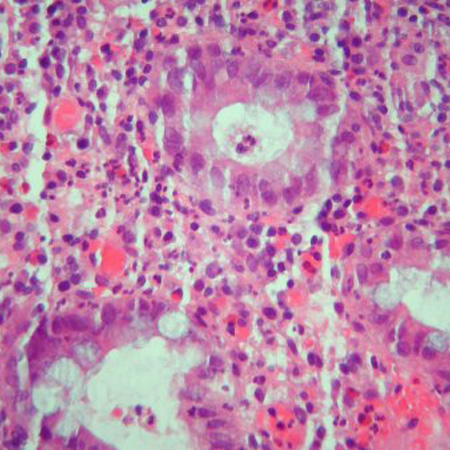
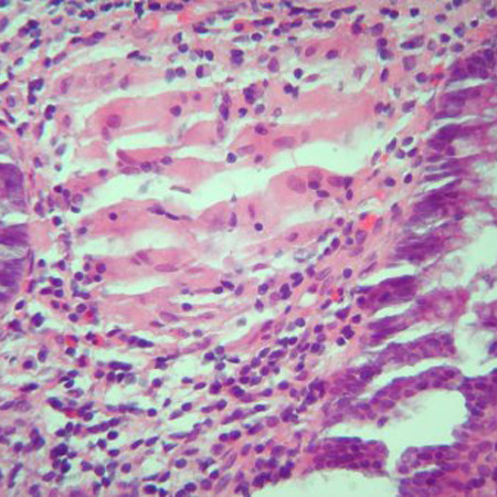
Biópsias segmentares do cólon e do íleo devem ser obtidas para avaliar a evidência microscópica de doença de Crohn (DC).[70] As características microscópicas que ajudam a distinguir a colite ulcerativa da DC incluem granulomas, a alteração da arquitetura e a distribuição da doença.[81] A inflamação granulomatosa é, entretanto, relatada em uma minoria de pacientes com DC (30% a 50%); ela não é necessária para o diagnóstico.[71][81][Figure caption and citation for the preceding image starts]: Inflamação significativa na parede do cólon, alargamento da submucosa e agregados linfoides densos na submucosaFornecido pelo Dr. Wissam Bleibel, Dr. Bishal Mainali, Dr. Chandrashekhar Thukral e Dr. Mark A. Peppercorn, os autores anteriores deste tópico [Citation ends].
[Figure caption and citation for the preceding image starts]: Granulomas em um paciente com doença de Crohn; observe o agregado de histiócitos epitelioidesFornecido pelo Dr. Wissam Bleibel, Dr. Bishal Mainali, Dr. Chandrashekhar Thukral e Dr. Mark A. Peppercorn, os autores anteriores deste tópico [Citation ends].
[Figure caption and citation for the preceding image starts]: Criptite e abscessos em cripta com distorção morfológica das criptas acompanhadas de inflamação e plasmócitos e linfócitos abundantesFornecido pelo Dr. Wissam Bleibel, Dr. Bishal Mainali, Dr. Chandrashekhar Thukral e Dr. Mark A. Peppercorn, os autores anteriores deste tópico [Citation ends].
[Figure caption and citation for the preceding image starts]: Criptite e abscessos em cripta com distorção morfológica das criptas acompanhadas de inflamação e plasmócitos e linfócitos abundantesFornecido pelo Dr. Wissam Bleibel, Dr. Bishal Mainali, Dr. Chandrashekhar Thukral e Dr. Mark A. Peppercorn, os autores anteriores deste tópico [Citation ends].
Biópsias de mucosa não comprometida ajudam a identificar a extensão da doença histológica.[71] Se tuberculose estiver sendo cogitada, o tecido das biópsias ileocecais poderá ser testado quanto à presença de Mycobacterium tuberculosis.[69]
Resultado
biópsias da mucosa do intestino demonstram o envolvimento transmural com granulomas não caseosos
endoscopia digestiva alta
Exame
A endoscopia digestiva alta não é rotineiramente necessária como parte da avaliação diagnóstica, mas pode ser realizada em pacientes com sinais e sintomas do trato gastrointestinal superior.[70][71]
A endoscopia digestiva alta com biópsia é útil para diferenciar doença de Crohn de úlcera péptica em pacientes com sintomas no trato gastrointestinal superior.
Resultado
úlceras aftosas; inflamação da mucosa
endoscopia por cápsula sem fio
Exame
Pode ser usada como uma alternativa à RM para avaliar o envolvimento do intestino delgado. Visualiza o intestino delgado e pode detectar lesões sugestivas não visíveis por outros estudos do intestino delgado. A endoscopia por cápsula pode ser usada para monitorar a cicatrização da mucosa e a recorrência pós-operatória em pacientes selecionados.[94] É uma investigação segura e útil em crianças.
A avaliação da permeabilidade da cápsula é recomendada antes da endoscopia para reduzir o risco de retenção da cápsula se houver possibilidade de estenoses.[71] A endoscopia por cápsula é contraindicada em pacientes com estreitamento ou estenose do intestino delgado.[95]
Resultado
úlceras aftosas; hiperemia; edema; aspecto pavimentoso; lesões descontínuas e segmentares (skip lesion)
calprotectina fecal
Exame
Marcador não invasivo de inflamação intestinal.[9][82][83] A calprotectina fecal é liberada nas fezes quando os neutrófilos se reúnem no local de qualquer inflamação do trato gastrointestinal.
Nos pacientes com idade <60 anos com sintomas gastrointestinais inferiores e exames iniciais normais, o teste de calprotectina fecal pode ser realizado para descartar causas de inflamação colônica. Entretanto, nos pacientes com idade >60 anos com suspeita de câncer colorretal, o teste de calprotectina fecal deve ser interpretado com cautela.[84]
A calprotectina fecal pode ajudar a diferenciar a doença inflamatória do intestino da síndrome do intestino irritável.[71] A calprotectina fecal não é específica para a doença de Crohn (DC) e pode estar aumentada nas fezes em outras patologias intestinais (por exemplo, gastroenterite infecciosa, diverticulite ou câncer colorretal), ou em pacientes que fazem uso de anti-inflamatórios não esteroidais (AINEs) e aspirina.[71][84] Essa falta de especificidade limita seu papel diagnóstico.
A calprotectina fecal é amplamente utilizada, principalmente no cenário da atenção primária, como um teste para "descartar" quando a doença inflamatória intestinal (DII) é improvável na presença de uma calprotectina normal.
Na DII, ela é usada para monitorar a recidiva nos pacientes com DII quiescente e para detecção e monitoramento da atividade da doença nos pacientes sintomáticos, potencialmente evitando o monitoramento endoscópico, que é invasivo e exige muitos recursos.[66][70][85][86][87] Um valor de calprotectina fecal <150 microgramas/g e proteína C-reativa normal sugere ausência de inflamação ativa nos pacientes em remissão sintomática; a avaliação endoscópica pode ser evitada nesses pacientes. Entretanto, níveis elevados de biomarcadores nesses pacientes justificam uma avaliação endoscópica.[66]
Nos pacientes com DC com sintomas moderados a graves, níveis elevados de calprotectina fecal ou proteína C-reativa sérica sugerem atividade endoscópica, e a avaliação endoscópica pode ser evitada.[66]
Resultado
pode estar elevada
Novos exames
marcadores sorológicos:
Exame
As pesquisas estão focadas nos anticorpos anti-glicano (por exemplo, anti-Saccharomyces cerevisiae [ASCA], anti-laminaribiose [ALCA], anti-chitobioside [ACCA], anti-laminarin [anti-L], anti-chitin [anti-C]) e anticorpos para antígenos microbianos (anti-porina C da membrana externa [anti-OmpC], anti-flagelina Cbir1, anti-I2 e p-ANCA).[71]
Os anticorpos anti-glicano são mais prevalentes na doença de Crohn (DC) do que na colite ulcerativa, mas têm baixa sensibilidade.[71]
O uso rotineiro de marcadores sorológicos de doença inflamatória intestinal para estabelecer o diagnóstico de DC não é recomendado.[71]
O ASCA pode ter valor prognóstico em crianças com DC.[96][97]
Resultado
anticorpos anti-glicano positivos
O uso deste conteúdo está sujeito ao nosso aviso legal