Imagens e vídeos
IMAGENS

Regurgitação mitral
Prolapso do folheto P2 da valva mitral: visualização 2D
Do acervo de Prakash P. Punjabi
Veja esta imagem em contexto nas seguintes seções:

Regurgitação mitral
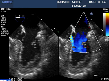
Corte apical de 4 câmaras de folheto mitral posterior instável
Do acervo de Samir Kapadia e Mehdi H. Shishehbor
Veja esta imagem em contexto nas seguintes seções:

Regurgitação mitral
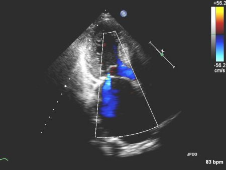
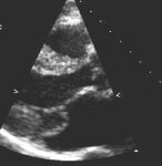
Corte apical de 4 câmaras de regurgitação mitral 1-2+ posterior
Do acervo de Samir Kapadia e Mehdi H. Shishehbor
Veja esta imagem em contexto nas seguintes seções:

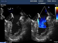
Regurgitação mitral
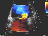
Corte apical de 4 câmaras de regurgitação mitral 4+ (grave) e uma grande área de superfície de isovelocidade proximal
Do acervo de Samir Kapadia e Mehdi H. Shishehbor
Veja esta imagem em contexto nas seguintes seções:

Regurgitação mitral
Corte apical de 4 câmaras de regurgitação mitral (RM) grave com uma área da superfície de isovelocidade proximal
Do acervo de Samir Kapadia e Mehdi H. Shishehbor
Veja esta imagem em contexto nas seguintes seções:

Regurgitação mitral
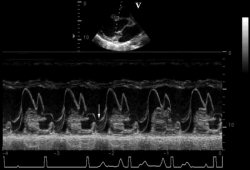
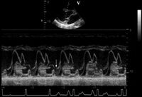
Prolapso posterior da valva mitral no ecocardiograma em modo M
Do acervo de Samir Kapadia e Mehdi H. Shishehbor
Veja esta imagem em contexto nas seguintes seções:

Regurgitação mitral
Prolapso do folheto P2 da valva mitral: visualização 3D
Do acervo de Prakash P. Punjabi
Veja esta imagem em contexto nas seguintes seções:

Regurgitação mitral
Corte apical de 3 câmaras de cardiomiopatia hipertrófica com movimento anterior sistólico
Do acervo de Samir Kapadia e Mehdi H. Shishehbor
Veja esta imagem em contexto nas seguintes seções:

Regurgitação mitral
Valva mitral protética com regurgitação mitral intermitente
Do acervo de Prakash P. Punjabi
Veja esta imagem em contexto nas seguintes seções:

Regurgitação mitral
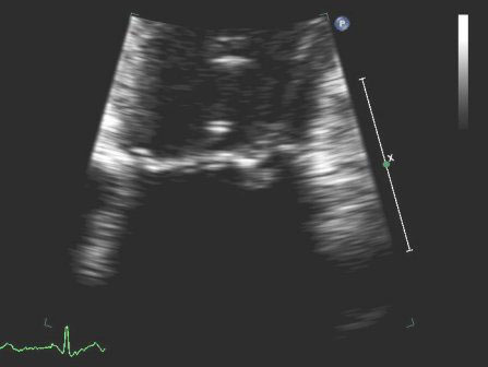
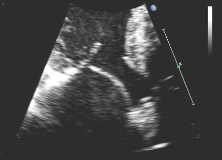
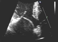
Visualização do eixo paraesternal longitudinal mostrando prolapso do folheto mitral posterior
Do acervo de Samir Kapadia e Mehdi H. Shishehbor
Veja esta imagem em contexto nas seguintes seções:

Regurgitação mitral
Valva mitral protética com regurgitação mitral intermitente
Do acervo de Prakash P. Punjabi
Veja esta imagem em contexto nas seguintes seções:
Vídeos
- Regurgitação mitral (grave)
Sons de ausculta: regurgitação mitral (grave)
- Galope de terceira bulha cardíaca
Sons de ausculta: galope de terceira bulha cardíaca
O uso deste conteúdo está sujeito ao nosso aviso legal