Abordagem
O diagnóstico clínico é baseado na aparência de pápulas peroladas com uma depressão central.[Figure caption and citation for the preceding image starts]: Lesões extensivas do molusco no flanco de uma criança pequena; variação de cor de avermelhado a perolado com depressões centraisDo acervo do Dr. Nanette Silverberg [Citation ends].
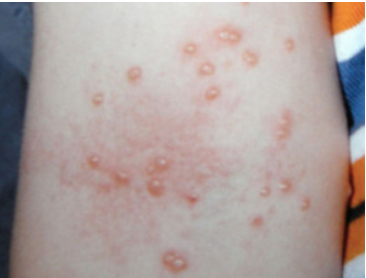
Algumas das lesões podem estar inflamadas com eritema circundante. Geralmente, as lesões são escoriadas e circundadas por dermatite, semelhantes à dermatite atópica.[Figure caption and citation for the preceding image starts]: Molusco no braço de uma criança com dermatite atópica demonstrando pápulas peroladas com uma depressão central e áreas de escoriação e eritema decorrente de inflamaçãoReproduzido com permissão de dermnetnz.org [Citation ends].
Em crianças, as lesões podem ser pequenas o suficiente para mimetizar a milia, pequenos cistos criados pela obstrução de glândulas sudoríparas. Na região genital, especialmente na fenda glútea interna, a depressão central pode ser imperceptível e, portanto, as lesões podem mimetizar o condiloma acuminado. O aspecto liso e perolado das lesões aponta sua verdadeira etiologia. Pacientes imunocomprometidos podem ter molusco grande ou disseminado com >20 pápulas.
Foi desenvolvida uma ferramenta online para ajudar os pais a diagnosticarem a doença nos filhos, com sensibilidade acima de 95% e especificidade acima de 90% comprovadas.[19] Molluscum contagiosum diagnostic tool for parents (MCDTP) Opens in new window
História
Muitas crianças adquirem as lesões por contato próximo, assim um irmão ou amigo próximo infectado fornece uma forte indicação. O início ocorre até 6 semanas após o contato, na maior parte dos casos; portanto, parece atingir a intensidade máxima em agosto e setembro, refletindo exposição à piscina. Também houve relatos de transmissão materna à criança após o parto.[2] Qualquer história de contato sexual recente também é uma informação importante.
Crianças e adultos com dermatite atópica têm uma probabilidade muito maior de apresentar molusco, e a apresentação deve desencadear uma avaliação do manejo atual do eczema.[4] A apresentação persistente ou atípica em adultos pode ser a primeira apresentação de imunocomprometimento e deve ser avaliada. Os pacientes HIV-positivos têm maior probabilidade de apresentar lesões no rosto ou na região anogenital e, portanto, devem ser avaliados com uma história completa de saúde sexual.[13][Figure caption and citation for the preceding image starts]: Molusco contagioso no rosto de um adulto, que pode ser sinal de infecção pelo HIV, como neste casoMaybury C, Craythorne E. Peri-oral papules. BMJ. 2013 Feb 11;346:f750; usado com permissão [Citation ends].
Investigações
Na maioria dos casos, o molusco pode ser diagnosticado clinicamente.
A dermatoscopia pode facilitar o diagnóstico ao revelar uma área central, polilobular, branco-amarelada, sem estrutura, circundada por vasos em padrão de coroa.[13][Figure caption and citation for the preceding image starts]: Achados dermatoscópicos do molusco contagioso. As setas vermelhas indicam estruturas polilobulares brancas a amarelas; setas azuis: vasos de coroa. (Dermoscopia com luz polarizada, ampliação original 10x)Clinical, Cosmetic and Investigational Dermatology 2019:12 373-381. Originalmente publicado por e usado com permissão de Dove Medical Press Ltd. [Citation ends].
O rastreamento de rotina para um perfil completo de infecções sexualmente transmissíveis é recomendado para pacientes que apresentam molusco anogenital.
O molusco disseminado ou persistente deve levar à consideração de imunocomprometimento. A investigação é obrigatória, incluindo hemograma completo e perfil viral. Examine a presença de doença inflamatória cutânea subjacente.[13]
Em alguns casos, as lesões nas áreas genitais em crianças se assemelham ao condiloma. A biópsia por curetagem pode ser usada para confirmar o diagnóstico (principalmente se houver suspeita de abuso sexual). Em casos raros, a excisão tangencial ou por cureta e a biópsia podem auxiliar no diagnóstico ou confirmá-lo. Os moluscos inflamados podem se tornar abscessos com infiltrados neutrofílicos estéreis, identificados por coloração de Gram; no entanto, a cultura bacteriana de tais abscessos pode revelar uma verdadeira superinfecção bacteriana com flora semelhante à de impetigo.
O uso deste conteúdo está sujeito ao nosso aviso legal