Imagens e vídeos
IMAGENS

Molusco contagioso
Lesões extensivas do molusco no flanco de uma criança pequena; variação de cor de avermelhado a perolado com depressões centrais
Do acervo do Dr. Nanette Silverberg
Veja esta imagem em contexto nas seguintes seções:

Molusco contagioso
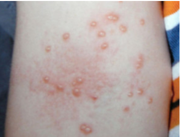
Molusco no braço de uma criança com dermatite atópica demonstrando pápulas peroladas com uma depressão central e áreas de escoriação e eritema decorrente de inflamação
Reproduzido com permissão de dermnetnz.org
Veja esta imagem em contexto nas seguintes seções:

Molusco contagioso
Molusco contagioso no rosto de um adulto, que pode ser sinal de infecção pelo HIV, como neste caso
Maybury C, Craythorne E. Peri-oral papules. BMJ. 2013 Feb 11;346:f750; usado com permissão
Veja esta imagem em contexto nas seguintes seções:

Molusco contagioso
Achados dermatoscópicos do molusco contagioso. As setas vermelhas indicam estruturas polilobulares brancas a amarelas; setas azuis: vasos de coroa. (Dermoscopia com luz polarizada, ampliação original 10x)
Clinical, Cosmetic and Investigational Dermatology 2019:12 373-381. Originalmente publicado por e usado com permissão de Dove Medical Press Ltd.
Veja esta imagem em contexto nas seguintes seções:

Molusco contagioso
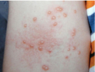
Antebraço: pápulas peroladas com depressão central e áreas de escoriação e eritema decorrente de inflamação
Do acervo do Dr. Nanette Silverberg
Veja esta imagem em contexto nas seguintes seções:
O uso deste conteúdo está sujeito ao nosso aviso legal