Etiologia
Na maioria das vezes, o câncer de mama envolve as células glandulares da mama presentes nos ductos ou lóbulos. Homens com câncer de mama tendem a se apresentar mais tarde do que as mulheres; os sintomas e o diagnóstico são os mesmos.[7][8]
Massas mamárias benignas
Fibroadenoma
A causa mais comum de massa mamária. Os fibroadenomas ocorrem com maior frequência durante o início da idade reprodutiva. Estudos de autópsias revelam a presença dessas lesões em 9% a 10% de todas as mulheres.[9] Ainda não se sabe a causa exata dos fibroadenomas, mas pensa-se que o seu desenvolvimento está relacionado aos hormônios.[10] Embora sejam lesões benignas, alguns estudos sugerem que as mulheres diagnosticadas com fibroadenomas têm risco aproximadamente duas vezes maior de evoluir para câncer de mama em relação às mulheres sem lesões.[11] No entanto, isto não é respaldado por dados mais recentes.[12]
Tumor filoide
Tumores da mama raros que podem ter características benignas ou malignas.[13] Eles geralmente se apresentam como uma massa mamária de crescimento rápido e indolor. Às vezes, os tumores filoides são difíceis de ser diferenciados histologicamente dos fibroadenomas.[14][15] Maior celularidade, atipia, mitoses e margens positivas geralmente estão associadas a um maior risco de recorrência local dos tumores filoides. O tamanho do tumor, a necrose e o supercrescimento do estroma são preditores de metástases à distância. Entretanto, nenhum deles é um marcador definitivo de neoplasia maligna, e a excisão continua sendo o principal meio de tratamento.[13]
Mama fibrocística
A mama fibrocística é mais comumente encontrada em mulheres na pré- e na perimenopausa.[16] A condição engloba um espectro de alterações patológicas: além de cistos, inclui hiperplasia epitelial, metaplasia apócrina e dilatação e fibrose cística. Às vezes, os pacientes apresentam-se com queixas de uma massa distinta quando, na verdade, estão detectando uma área de nodularidade normal associada às alterações fibrocísticas. Os cistos benignos de mama são relativamente incomuns em mulheres menopausadas que não estão tomando hormônios.[17] Sua presença em mulheres mais idosas deve levantar a possibilidade de neoplasia maligna.
Os cistos têm característica móvel e margens distintas durante o exame físico.
Às vezes, os cistos são sensíveis, podendo variar com o ciclo menstrual.
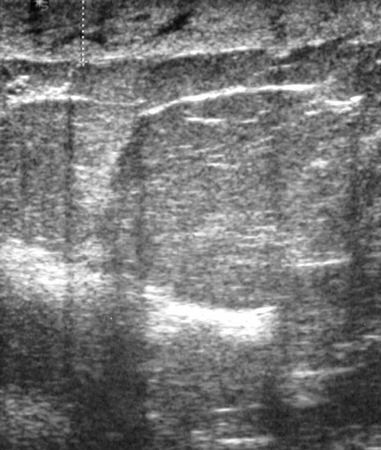
Os cistos simples são totalmente anecoicos, distintos do tecido mamário circundante na ultrassonografia de mama e benignos.[18][Figure caption and citation for the preceding image starts]: Imagem ultrassonográfica de um cisto simplesCortesia do Dr. Lane Roland, Universidade de Louisville; usado com permissão [Citation ends].

Os cistos complexos estão associados à septação ou detritos celulares internos e devem levantar suspeitas de neoplasia maligna. As diretrizes da National Comprehensive Cancer Network (NCCN) recomendam biópsia percutânea com agulha grossa de cistos complexos.[19][Figure caption and citation for the preceding image starts]: Imagem ultrassonográfica de um carcinoma complexoCortesia do Dr. Lane Roland, Universidade de Louisville; usado com permissão [Citation ends].

Necrose gordurosa
A necrose gordurosa ocorre secundariamente à lesão da mama. A origem pode ser iatrogênica (como biópsia da mama, redução ou aumento de mama) ou traumática (como lesão por cinto de segurança na mama).[20][21][22] Muitas das mulheres com necrose gordurosa não se recordam de ter sofrido algum trauma mamário. As lesões se apresentam como massas rígidas e fixas e demonstram sombra acústica na ultrassonografia - características suspeitas de neoplasia maligna que exigem biópsia.
Papiloma mamário
A descarga mamilar sanguinolenta é típica de papiloma mamário. Esse tipo de lesão pode ocasionalmente ser detectado como uma massa dentro da mama. As saliências geralmente ocorrem dentro dos ductos mamários (papilomas intraductais). Essas lesões normalmente são benignas, mas podem estar associadas aos achados histológicos de atipia, carcinoma ductal in situ (CDIS) papilar ou câncer papilar invasivo.[Figure caption and citation for the preceding image starts]: Ductografia demonstrando papilomas intraductais múltiplosCortesia da Dra. Nancy Pile, Universidade de Louisville; usado com permissão [Citation ends].
Abscesso mamário
Os abscessos mamários normalmente ocorrem em mulheres que estão amamentando. Acredita-se que eles resultem de ductos subareolares rompidos que se infiltram no espaço periductal. O abscesso deve ser diferenciado do câncer de mama inflamatório (que, paradoxalmente, não se apresenta como uma massa mamária).[Figure caption and citation for the preceding image starts]: Imagem ultrassonográfica do espessamento da pele em paciente com câncer de mama inflamatórioCortesia da Dra. Nancy Pile, Universidade de Louisville; usado com permissão [Citation ends].
Adenomas
Os adenomas são semelhantes a fibroadenomas, mas são um pouco diferentes na sua histologia. Muitos deles são adenomas tubulares, que se apresentam como uma saliência bem-demarcada em mulheres jovens. Adenomas lactantes podem ocorrer durante a gestação ou no período de pós-parto.[23]
Massas mamárias malignas
O carcinoma mamário invasivo pode se apresentar como uma massa palpável (sintomática) ou não palpável, identificada em exame de imagem de rastreamento (por exemplo, mamografia ou RNM em mulheres submetidas a rastreamento de alto risco). O subtipo histológico mais comum é o carcinoma ductal invasivo, que surge dos ductos da mama. Alguns desses tumores (por exemplo, carcinomas lobulares invasivos) podem se apresentar como uma massa palpável, em decorrência do padrão linear da característica de disseminação celular desse subtipo histológico de neoplasia maligna, sem achados relacionados em exames de imagem.[24]
Outros subtipos de tumores malignos classificados como carcinoma de mama invasivo incluem o carcinoma tubular, mucinoso ou coloide, papilar e medular. Todos são diagnosticados e tratados da mesma maneira.
O carcinoma ductal in situ (CDIS) é uma proliferação de células epiteliais de aparência maligna que não penetraram na membrana basal. A unidade ducto-lobular terminal é a origem da maioria das lesões. A maioria dos casos é diagnosticada na mamografia; contudo, 10% das lesões por CDIS se apresentam como massas palpáveis.[25]
O câncer metastático para a mama é extremamente raro, compreendendo 0.5% a 2.0% das metástases de cânceres primários.[26] O melanoma, o carcinoma de ovário, o câncer pulmonar e o linfoma foram implicados.[27][28]
Consulte Câncer de mama invasivo primário, Câncer de mama in situ, e Câncer de mama metastático.
Lesões mamárias pré-malignas
Tanto a hiperplasia ductal atípica (HDA) quanto a hiperplasia lobular atípica (HLA) estão associadas a um maior risco de câncer de mama. Os achados da biópsia percutânea com agulha grossa de HDA necessitam de coleta de amostras adicionais com excisão assistida por vácuo (VAE) ou excisão cirúrgica da massa mamária, pois essas lesões são classificadas como carcinoma ductal in situ (CDIS) em quase 15% dos casos.[29][30]
O carcinoma lobular in situ (CLIS) é um achado incidental que é um marcador do risco maior para câncer de mama.[24] Também pode estar associado a lesões palpáveis. CLIS foi identificado em 2 subtipos:
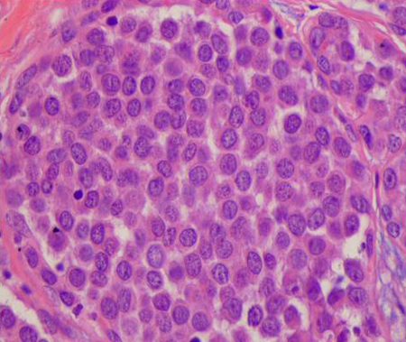
O subtipo clássico, que é um marcador de aumento de risco em qualquer uma das mamas. Recomenda-se uma maior amostragem com excisão cirúrgica ou VAE, pois o risco de evolução para câncer invasivo é de até 27%.[29][Figure caption and citation for the preceding image starts]: Histopatologia do carcinoma lobular in situ (CLIS) clássicoCortesia da Dra. Sunati Sahoo, Universidade de Louisville; usado com permissão [Citation ends].

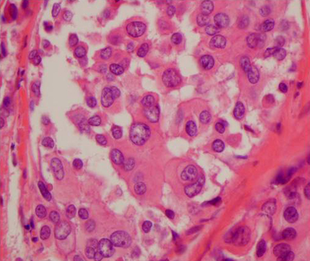
O subtipo pleomórfico, que se comporta de forma mais parecida com o CDIS, por se acreditar que possa ser o precursor de doença invasiva e precisa ser tratado de forma semelhante.[Figure caption and citation for the preceding image starts]: Histopatologia do carcinoma lobular in situ (CLIS) pleomórficoCortesia da Dra. Sunati Sahoo, Universidade de Louisville; usado com permissão [Citation ends].

O uso deste conteúdo está sujeito ao nosso aviso legal