Imagens e vídeos
IMAGENS

Avaliação de massa mamária
Imagem ultrassonográfica de um carcinoma complexo
Cortesia do Dr. Lane Roland, Universidade de Louisville; usado com permissão
Veja esta imagem em contexto nas seguintes seções:

Avaliação de massa mamária
Massa palpável com envolvimento de pele na mama direita
Cortesia da Drª Anees Chagpar
Veja esta imagem em contexto nas seguintes seções:

Avaliação de massa mamária
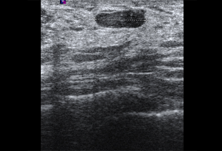
Imagem ultrassonográfica do espessamento da pele em paciente com câncer de mama inflamatório
Cortesia da Dra. Nancy Pile, Universidade de Louisville; usado com permissão
Veja esta imagem em contexto nas seguintes seções:

Avaliação de massa mamária
Ductografia demonstrando papilomas intraductais múltiplos
Cortesia da Dra. Nancy Pile, Universidade de Louisville; usado com permissão
Veja esta imagem em contexto nas seguintes seções:

Avaliação de massa mamária
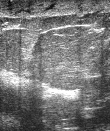
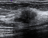
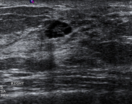
Imagem ultrassonográfica de um carcinoma invasivo
Cortesia do Dr. Lane Roland, Universidade de Louisville; usado com permissão
Veja esta imagem em contexto nas seguintes seções:

Avaliação de massa mamária
Massa palpável com envolvimento de pele na mama esquerda
Cortesia da Drª Anees Chagpar
Veja esta imagem em contexto nas seguintes seções:

Avaliação de massa mamária
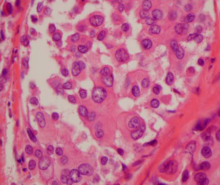
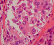
Histopatologia do carcinoma lobular in situ (CLIS) pleomórfico
Cortesia da Dra. Sunati Sahoo, Universidade de Louisville; usado com permissão
Veja esta imagem em contexto nas seguintes seções:

Avaliação de massa mamária
Visualização de magnificação demonstrando uma massa espiculada irregular com calcificações associadas
Cortesia da Dra. Nancy Pile, Universidade de Louisville; usado com permissão
Veja esta imagem em contexto nas seguintes seções:

Avaliação de massa mamária
Algoritmo de diagnóstico para ultrassonografia de mama
Cortesia da Drª Anees Chagpar
Veja esta imagem em contexto nas seguintes seções:

Avaliação de massa mamária
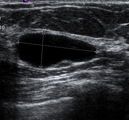
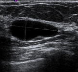
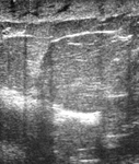
Imagem ultrassonográfica de um cisto simples
Cortesia do Dr. Lane Roland, Universidade de Louisville; usado com permissão
Veja esta imagem em contexto nas seguintes seções:

Avaliação de massa mamária
Paciente com massa mamária grande e retração para baixo da mama esquerda, observada ao elevar os braços
Cortesia da Drª Anees Chagpar
Veja esta imagem em contexto nas seguintes seções:

Avaliação de massa mamária
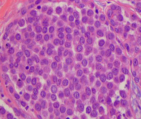
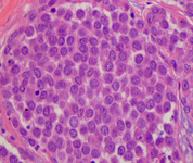
Histopatologia do carcinoma lobular in situ (CLIS) clássico
Cortesia da Dra. Sunati Sahoo, Universidade de Louisville; usado com permissão
Veja esta imagem em contexto nas seguintes seções:

Avaliação de massa mamária
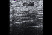
Imagem ultrassonográfica de fibroadenoma
Cortesia do Dr. Lane Roland, Universidade de Louisville; usado com permissão
Veja esta imagem em contexto nas seguintes seções:

Avaliação de massa mamária
Escoriação do mamilo em paciente com doença de Paget da mama
Cortesia da Drª Anees Chagpar
Veja esta imagem em contexto nas seguintes seções:

Avaliação de massa mamária
Técnicas de biópsia da mama (AAF; aspiração com agulha fina)
Cortesia da Drª Anees Chagpar
Veja esta imagem em contexto nas seguintes seções:

Avaliação de massa mamária
Mamografia de rastreamento demonstrando massa mamária
Cortesia da Dra. Nancy Pile, Universidade de Louisville; usado com permissão
Veja esta imagem em contexto nas seguintes seções:

Avaliação de massa mamária
Paciente com câncer de mama inflamatório que se apresentou com uma mama retraída
Cortesia da Drª Anees Chagpar
Veja esta imagem em contexto nas seguintes seções:

Avaliação de massa mamária
Critérios do BI-RADS (Breast Imaging Reporting and Data System)
Cortesia da Drª Anees Chagpar
Veja esta imagem em contexto nas seguintes seções:
O uso deste conteúdo está sujeito ao nosso aviso legal