Imagens e vídeos
IMAGENS

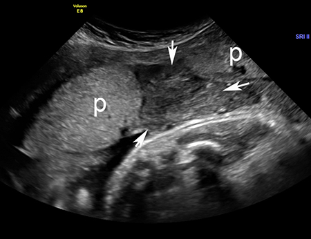
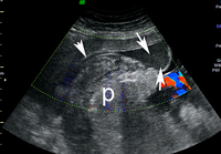
Descolamento da placenta
Imagem de ultrassonografia de descolamento da placenta: a placenta normal está marcada com 'p'; área de descolamento indicada por setas brancas
Do acervo de Dr Y Oyelese; usado com permissão
Veja esta imagem em contexto nas seguintes seções:

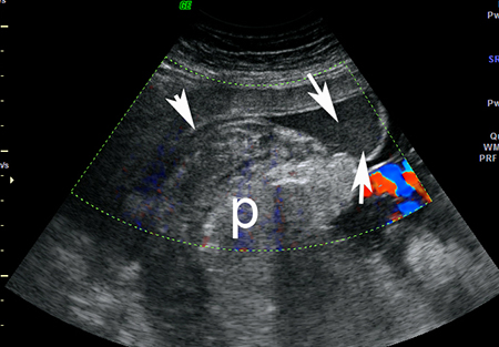
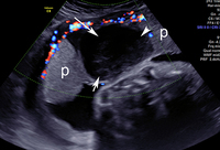
Descolamento da placenta
Imagem de ultrassonografia de descolamento da placenta: a placenta normal está marcada com 'p'; área de descolamento indicada por setas brancas
Do acervo de Dr Y Oyelese; usado com permissão
Veja esta imagem em contexto nas seguintes seções:

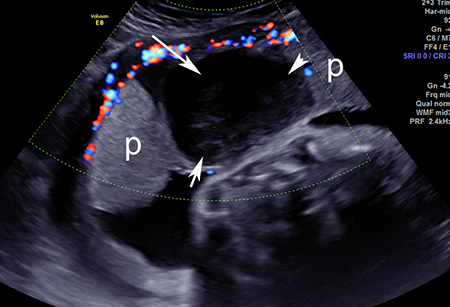
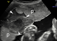
Descolamento da placenta
Imagem de ultrassonografia de descolamento da placenta: a placenta normal está marcada com 'p'; área de descolamento indicada por setas brancas
Do acervo de Dr Y Oyelese; usado com permissão
Veja esta imagem em contexto nas seguintes seções:

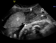
Descolamento da placenta
Imagem de ultrassonografia de descolamento da placenta: a placenta normal está marcada com 'p'; área de descolamento indicada por setas brancas
Do acervo de Dr Y Oyelese; usado com permissão
Veja esta imagem em contexto nas seguintes seções:

Descolamento da placenta
Tipos de descolamento da placenta. (A) Descolamento da placenta revelado, no qual o sangue passa entre as membranas e escapa pela vagina e pelo colo uterino. (B) Descolamento da placenta oculto, em que o sangue é coletado atrás da placenta, sem evidências de sangramento vaginal
Oyelese Y, Ananth CV. Descolamento da placenta. Obstet Gynecol. 2006;108:1005-1016. Usado com permissão
Veja esta imagem em contexto nas seguintes seções:
O uso deste conteúdo está sujeito ao nosso aviso legal