Imagens e vídeos
IMAGENS

Ingestão de corpo estranho
Visão endoscópica revelando corpos estranhos no lúmen estomacal
Do acervo de Juan Carlos Munoz
Veja esta imagem em contexto nas seguintes seções:

Ingestão de corpo estranho
(A) Visão endoscópica de um cortador de unhas impactado no duodeno. (B) Remoção endoscópica de um prendedor de gravata
De: Canda AE. BMJ Case Reports. 2009;2009:bcr12.2008.1354
Veja esta imagem em contexto nas seguintes seções:

Ingestão de corpo estranho
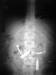
Radiografia abdominal simples revelando múltiplos corpos estranhos. Não há sinais de obstrução intestinal ou perfuração
De: Canda AE. BMJ Case Reports. 2009;2009:bcr12.2008.1354
Veja esta imagem em contexto nas seguintes seções:

Ingestão de corpo estranho
Alimentos em bolus impactados removidos da porção inferior do esôfago
Do acervo de Juan Carlos Munoz
Veja esta imagem em contexto nas seguintes seções:

Ingestão de corpo estranho
Corpos estranhos removidos do estômago
Do acervo de Juan Carlos Munoz
Veja esta imagem em contexto nas seguintes seções:

Ingestão de corpo estranho
Radiografia abdominal simples revelando múltiplos corpos estranhos no lúmen estomacal
Do acervo de Juan Carlos Munoz
Veja esta imagem em contexto nas seguintes seções:

Ingestão de corpo estranho
Algoritmo de diagnóstico e tratamento para ingestão de corpo estranho
Do acervo de Juan Carlos Munoz
Veja esta imagem em contexto nas seguintes seções:

Ingestão de corpo estranho
Fotografia endoscópica de uma impactação de alimentos na porção inferior do esôfago com um anel mucoso concêntrico evidente sugerindo uma esofagite eosinofílica
Do acervo de Juan Carlos Munoz
Veja esta imagem em contexto nas seguintes seções:
O uso deste conteúdo está sujeito ao nosso aviso legal