Abordagem
A anemia falciforme geralmente é diagnosticada por meio de rastreamento neonatal.
O diagnóstico é incomum na infância e na idade adulta, embora possa ocorrer. A maioria dos atendimentos por médicos da unidade básica de saúde ou em hospitais é para complicações. A complicação mais comum é a crise vaso-oclusiva (também conhecida como crise dolorosa). A complicação que frequentemente causa a morte em adultos e crianças é a síndrome torácica aguda.
Diagnóstico pré-natal
Quando ambos os pais são portadores do gene recessivo da célula falciforme, existe uma probabilidade de 1 para 4 de que seu descendente herdará dois alelos recessivos, o que causa anemia falciforme.
Aconselhamento e diagnóstico pré-natal podem ser considerados se ambos os pais forem portadores ou afetados pela doença falciforme (ou se a mulher for portadora ou afetada e o estado do pai for desconhecido). Os testes disponíveis para pacientes que estão grávidas incluem a amostragem de vilosidades coriônicas (normalmente realizada a 10-12 semanas de gestação nos EUA; 11-14 semanas de gestação no Reino Unido) e a amniocentese (normalmente realizada após 15 semanas de gestação).[20][21] Todos esses exames são invasivos e apresentam risco de perda fetal.
O teste pré-natal não invasivo (TPNI) de DNA livre fetal na circulação materna está surgindo como um possível teste de rastreamento pré-natal para hemoglobinopatias, como doença falciforme e talassemia.[16]
Diagnóstico em neonatos
Nos EUA, o método primário pelo qual os neonatos são diagnosticados é um programa de triagem. Todos os estados praticam a triagem neonatal universal para garantir que todos os bebês com doença falciforme sejam identificados.[22] O sangue para a triagem geralmente é coletado por meio de amostra de punção do calcanhar (dentro de 48 horas após o nascimento) e a avaliação da hemoglobina é realizada (idealmente até 24 horas após a coleta).[23][24]
Geralmente, a triagem neonatal é realizada por meio da focalização isoelétrica da hemoglobina (Hb-IEF) ou fracionamento da cromatografia líquida de alta eficiência (HPLC). O teste confirmatório deve ser realizado por um método alternativo (IEF, HPLC, eletroforese ou sequenciamento de DNA); a confirmação oportuna é importante (no máximo aos 3 meses de idade) para garantir o início imediato da profilaxia antibiótica.[15][25]
O teste de DNA é altamente preciso e frequentemente usado para confirmar uma anormalidade encontrada em estudos de hemoglobina. Podem ser usados em lugar destes últimos, em alguns programas de triagem.[25][26][27][28]
Triagem neonatal por amostras de sangue impregnado em papel filtro no Reino Unido
As abordagens para a triagem neonatal variam mundialmente. No Reino Unido, todos os neonatos são submetidos à triagem para doença falciforme como parte do programa de triagem por amostras de sangue impregnado em papel filtro para neonatos do NHS. Uma amostra do calcanhar é coletada no dia 5 após o nascimento (ou antes, se houver história familiar de doença falciforme).[29][15]
Diagnóstico em lactentes
Os lactentes geralmente não manifestam sinais e sintomas até os 6 meses de idade. Entretanto, lactentes muito pequenos com doença falciforme não diagnosticada pelo programa de rastreamento podem apresentar sinais e sintomas de hemólise (icterícia, palidez ou taquicardia) ou crise de sequestro esplênico (palidez, taquicardia ou choque).
A partir dos 4 meses de idade, os lactentes geralmente apresentam achados de:
Edema das articulações, principalmente dactilite[Figure caption and citation for the preceding image starts]: Síndrome mão-pé em paciente com 14 meses de idade com doença falciforme homozigóticaExtraído de: Davies SC, Oni L. BMJ. 1997 Sep 13;315(7109):656-60 [Citation ends].

Leucocitose na ausência de infecção (a causa não é clara, mas sugere-se que seja decorrente de infarto esplênico)
Abdome protuberante (decorrente do baço aumentado), frequentemente com hérnia umbilical
Sopro cardíaco sistólico secundário a anemia
Hipertrofia do maxilar com sobremordida, decorrente de hematopoese extramedular, que ocorre em algumas formas da doença
Além disso, os pais podem informar que o bebê tem estado inconsolável por um longo período, recusado mamadeiras e necessitado de menos trocas de fralda durante os últimos 2 dias.
O diagnóstico é realizado por meio de IEF da Hb. O teste de solubilidade da hemoglobina não é recomendado em lactentes abaixo de 6 meses de idade, pois a alta proporção de hemoglobina fetal com relação à hemoglobina de célula falciforme adulta no sangue de um neonato pode afetar os resultados.
Diagnóstico em crianças
Se uma criança não tiver sido diagnosticada pelo programa de triagem neonatal, a complicação mais comum que se apresenta é a dactilite, seguida por episódios recorrentes de dor e infecção.
Em crianças com mais de 8 anos de idade, a eletroforese de acetato de celulose em pH alcalino é mais comumente usada para determinar o subtipo da hemoglobina. O diagnóstico pode ser confirmado utilizando um método alternativo, como HPLC ou ensaio com base no DNA.
Diagnóstico em adultos
É incomum que um indivíduo com doença falciforme chegue à idade adulta sem estar ciente de seu diagnóstico. Deve haver suspeita do diagnóstico em um paciente que apresente hemólise sem explicação, com ou sem episódios intermitentes de dor (crises vaso-oclusivas). Os pacientes também podem apresentar necrose avascular, hemorragia retiniana e úlceras nas pernas.
A primeira etapa do diagnóstico inclui a análise do esfregaço de sangue periférico, seguida por eletroforese da hemoglobina e pelo diagnóstico confirmatório por HPLC. Em pacientes que requerem um diagnóstico rápido, pode-se realizar o teste de solubilidade falciforme por meio da adição de um agente redutor (que diminui o teor de oxigênio da amostra), o que acarretará a formação de polímeros falciformes em qualquer célula que contenha hemoglobina falciforme. O teste detectará qualquer hemoglobina falciforme e será positivo em pacientes com traço falciforme e doença falciforme. Portanto, o teste adicional confirmatório por HPLC ou ensaio com base em DNA é necessário.
Crise vaso-oclusiva
Essa complicação, comum em crianças e adultos, causa dor intensa e pode ser precipitada pelo frio, desidratação, infecção ou isquemia - por exemplo, isquemia muscular por exercício extenuante. A crise pode se apresentar como dor esquelética decorrente de infarto ósseo ou como necrose avascular, principalmente do quadril ou do ombro.
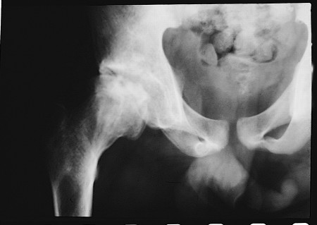
A apresentação de uma crise esquelética vaso-oclusiva depende da idade do paciente, pois acredita-se que os eventos se originem na medula óssea. Nas crianças, a medula óssea vermelha está presente em todos os ossos, incluindo os pequenos ossos da mão, o que é consistente com os achados clínicos de dactilite. Em crianças com mais de 8 anos de idade, a medula é mais comumente encontrada nas epífises e, em adultos, ela está limitada aos ossos esqueléticos axiais - por exemplo, a coluna vertebral, a pelve, o crânio e as porções mais proximais do fêmur e do úmero. Isso se ajusta clinicamente à incidência observada de infartos em ossos longos que aumentam com a idade, principalmente na cabeça do fêmur e do úmero.[Figure caption and citation for the preceding image starts]: Necrose avascular da cabeça femoral de paciente com anemia falciforme (hemoglobina SC) heterozigóticaExtraído de: Davies SC, Oni L. BMJ. 1997 Sep 13;315(7109):656-60 [Citation ends].
Outras apresentações podem mimetizar abdome agudo ou pneumonia (síndrome torácica aguda).
Síndrome torácica aguda
A síndrome torácica aguda é uma causa frequente de morte em crianças e adultos. Ela pode ser clinicamente indistinguível de pneumonia. O paciente apresenta dor torácica, febre, dispneia, taquipneia, hipoxemia e um novo infiltrado pulmonar na radiografia torácica.[Figure caption and citation for the preceding image starts]: Radiografia torácica na síndrome torácica agudaExtraído de: Davies SC, Oni L. BMJ. 1997 Sep 13;315(7109):656-60 [Citation ends].
Outros exames laboratoriais
O hemograma completo com esfregaço de sangue periférico é usado nos exames de crianças mais velhas e adultos para avaliar o número e a qualidade dos eritrócitos, o conteúdo de hemoglobina e a contagem de leucócitos. O hemograma completo é útil para o estabelecimento de uma linha basal para avaliação contínua. É um exame amplamente disponível e barato que proporciona resultados rápidos, mas não é diagnóstico.
O hemograma completo também deve ser realizado quando o rastreamento neonatal é positivo. É importante lembrar que os pacientes podem apresentar dor vaso-oclusiva e não apresentar qualquer alteração a partir da linha basal em sua contagem de hemoglobina ou de reticulócitos.[Figure caption and citation for the preceding image starts]: Eritrócitos na doença falciformeDo acervo pessoal de Sophie Lanzkron, MD; usado com permissão [Citation ends].
O perfil de ferro ajuda a distinguir anemia hemolítica de anemia ferropriva em todos os pacientes e pode também detectar sobrecarga de ferro oriunda de transfusões múltiplas.
Culturas bacterianas de sangue, expectoração, urina, fezes e/ou pus deverão ser obtidas em pacientes com febre e naqueles que parecerem toxemiados.
Exames por imagem
Radiografias simples são usadas para confirmar a presença de infarto ósseo. Entretanto, os achados radiológicos estão localizados nos ossos que contêm medula óssea vermelha; portanto, o padrão de alterações ósseas é diferente em crianças e adultos.
Nas crianças, a medula óssea vermelha está presente em todos os ossos, incluindo os pequenos ossos da mão, o que é consistente com os achados clínicos de dactilite. Em crianças com mais de 8 anos de idade, a medula vermelha é mais comumente encontrada nas epífises e, em adultos, ela está limitada aos ossos esqueléticos axiais - por exemplo, a coluna vertebral, a pelve, o crânio e as porções mais proximais do fêmur e do úmero. Isso se ajusta clinicamente à incidência observada de infartos em ossos longos que aumentam com a idade, principalmente na cabeça do fêmur e do úmero.[Figure caption and citation for the preceding image starts]: Necrose avascular da cabeça femoral de paciente com anemia falciforme (hemoglobina SC) heterozigóticaExtraído de: Davies SC, Oni L. BMJ. 1997 Sep 13;315(7109):656-60 [Citation ends].
A radiografia torácica é realizada se o paciente apresenta sintomas respiratórios, febre ou dor torácica.[Figure caption and citation for the preceding image starts]: Distribuição etária dos problemas clínicos na doença falciformeExtraído de: Davies SC, Oni L. BMJ. 1997 Sep 13;315(7109):656-60 [Citation ends].
Como colher uma amostra de sangue venoso da fossa antecubital usando uma agulha a vácuo.
O uso deste conteúdo está sujeito ao nosso aviso legal
