მიდგომა
მიუხედავად იმისა, რომ რფა-ის დიაგნოსტირებისთვის ანამნეზის შეკრება და ფიზიკური გამოკვლევა აუცილებელია, არის შემთხვევები, როდესაც გამომსახველობითი კვლევებით, აბსცესის სპონტანური ან ქირურგიული დრენირებითაც ხდება დიაგნოზის დადასტურება.[8]
ანამნეზი.
დეტალური ანამნეზის შეკრება ძალიან მნიშვნელოვანია, რადგან დიაგნოსტირებისას ბევრი სხვა სიცოცხლისთვის საშიში დიფერენციული მდგომარეობის გამორიცხვა არის საჭირო. რფა, ხშირ შემთხვევაში, ზედა სასუნთქი გზების ინფექციის გართულებას წარმოადგენს (მაგ:. ფარინგიტი, ტონზილიტი, სინუსიტი, კბილის ინფექცია). ძირითადად ბავშვებში ვითარდება; შესაბამისად, უცხო სხეულის გადაყლაპვის თაობაზე ინფრომაცია აუცილებლად უნდა შეგროვდეს.
ბავშვებში კლინიკური გამოვლინება შეიძლება ბუნდოვანი იყოს და დამოკიდებულია დაავადების მიმდინარეობაზე. დამახასიათებელი სიმპტომები ცხელებას, კისრის ტკივილს (განსაკუთრებით მოძრაობისას) ან ტორტიკოლიზს (კისერმრუდობა/თავის იძულებითი მდებარეობა) და დისფაგიას მოიცავს. სხვა ხშირი სიმპტომებია გაღიზიანებადობა, დაღლილობა, მსუბუქი ფოტოფობია და ოდინოფაგია (მტკივნეული ყლაპვა). ოდინოფაგია ჭარბ ნერწყვდენას, საკვების მიღების და მადის დაქვეითებას იწვევს. იშვიათი გამოვლინებებია ტრიზმი (პირის გაძნელებული/არასრული გაღება), დისფონია (ხმის ჩახლეჩვა), სტრიდორი ან ძილის აპნოე. ბავშვი შეიძლება აგრეთვე ყურს ან ყელს ექაჩებოდეს ხელით, რაც ტკივილის მანიშნებელია.[3]
ზრდასრულებში, კლინიკური სურათი შეიძება უფრო სპეციფიკური იყოს, მოიცავდეს ჭარბ ნერწყვდენას და დისფაგიას, თუმცა უფრო ნელა ვითარდება დროთა განმავლობაში. მნიშვნელოვანია ინფორმაციას ვფლობდეთ თანდართული დაავადებების, მაგალითად დიაბეტის შესახებ, და საჭიროების შემთხვევაში მოვახდინოთ გლიკემიური კონტროლის ოპტიმიზაცია. კისრის ღრმა აბსცესის მქონე პაციენტების მესამედს აქვს შაქრიანი დიაბეტი.[4]
სასუნთქი გზების დაზიანება, როგორც წესი, დისპნოეს, დისტრესისა და დაღლილობის სახით ვლინდება. დაავადების შედარებით იოლი მიმდინარეობისგან განსხვავებით, რთული ფორმების დროს პაციენტებს საჰაერო გზების დახშობისა და მრავლობითი აბსცესის ფორმირების უფრო მაღალი რისკი აქვთ.[19]
ფიზიკური გამოკვლევა
აუცილებელია პირის ღრუს და კისრის ფიზიკური გამოკვლევა, ლიმფადენოპათიის, ნუშისებრი ჯირკვლებისა და პირხახის ქსოვილების შეშუპების იდენტიფიცირებისთვის. გამოკვლევისას სხვა გამოხატული ნიშნები შეიძლება იყოს ჭარბი ნერწყვდენა, დისპნოე, ტორტიკოლიზი (კისერმრუდობა/თავის იძულებითი მდებარეობა) და კისრის რბილი ქსოვილების შეშუპება. ბავშვებში ფიზიკური გასინჯვა შეიძლება შეზღუდული იყოს, ბავშვის ასაკისა და გამოკვლევისას მისი (და მშობლების) თანამშრომლობიდან გამომდინარე.
სასუნთქი გზების დაზიანება, როგორც წესი, ტაქიპნოეს, ციანოზის, ტრაქეის ცდომის ან ნეკნთაშუა რეცესის სახით ვლინდება. სუნთქვის მაღალი სიხშირე და ჟანგბადით გაჯერების (სატურაციის) ცვლილებები გვეხმარება სასუნთქი გზების გამავლობის დარღვევის დიაგნოსტირებაში. იმ შემთხვევებში, როდესაც არსებობს ეჭვი სასუნთქი გზების გამავლობის დარღვევზე სასუნთქი გზების ნაწილობრივი ობსტრუქციის, სტრიდორის ან სტერტორის სახით, ოროფარინგეალური დათვალიერება უმჯობესია ჩატარდეს კონტროლირებად გარემოში (ანუ საოპერაციოში, სადაც საჭიროების შემთხვევაში შესაძლებელია გადაუდებელი დახმარება, ოროფარინგიალური ჰაერგამტარის ჩაყენება, სასუნთქი გზების გამტარობის აღდგენის მიზნით).[20]
ლაბორატორული გამოკვლევები
დასაწყისშივე უნდა გაკეთდეს სისხლის საერთო ანალიზი ლეიკოციტური ფორმულით, ნეიტროფილიის დასადასტურებლად. გამოხატული ნეიტროფიილიის არარსებობის შემთხვევაში, შეიძლება აგრეთვე ედს-ის გაზომვა ანთებითი დაავადების სიმძიმის დასადგენად. სისხლის კულტურა, როგორც წესი, რუტინულად არ კეთდება, თუ სეფსისზე არ არის ეჭვი. უჩვეულო კლინიური სურათის შემთხვევაში განიხილეთ ეპშტეინ-ბარის ვირუსის, ციტომეგალოვირუსის და ტოქსოპლაზმოზის ტიტრების ტესტირება, C-რეაქტიულ ცილასთან ერთად.[20]
გამოსახულებითი კვლევები
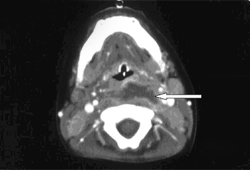
რადიოგრაფული გამოკვლევები აუცილებელია დიაგნოზის დასადასტურებლად. სასურველი კვლევის მეთოდის არჩევა დამოკიდებულია ეჭვის ხარისხზე და არსებული გამომსახველობითი კვლევების ხელმისაწვდომობაზე, ისევე, როგორც დაავადების სიმძიმეზე. მიუხედავად ამისა, კტ კვლევა მიიჩნევა ყველაზე ზუსტ დიაგნოსტიკურ მეთოდად. როგორც წესი, კონტრასტით ჩატარებული გამოკვლევისას რეტროფარინგულ ქსოვილებში ბეჭდისმაგვარი დაზიანება ვლინდება.
იმ შემთხვევაში, თუ ქირურგიული დრენაჟი სარგებლის მომტანი იქნება ან სასუნთქი გზების დახშობის საშიშროება არსებობს, უმჯობესია კტ კვლევამდე ბავშვის სედაცია და ინტუბირება, რათა ოპერაციამდე სურათი უკვე ხელმისაწვდომი იყოს.
კისრის ულტრასონოგრაფიით და მარტივი რენტგენით რეტროფარინგეალური აბსცესისთვის დამახასიათებელი ნიშნები შეიძლება გამოვლინდეს, თუმცა ეს საშუალებები ნაკლებად მგრძნობიარე და სპეციფიკურია, ვიდრე კომპიუტერული ტომოგრაფია.[21] მათი გამოყენება დასაშვებია მხოლოდ იმ შემთხვევაში, თუ კტ არ არის ხელმისაწვდომი.[22][23]
მრტ არ გამოიყენება დიაგნოსტირებისთვის, რადგან კტ კვლევა უმეტეს შემთხვევაში საკმარისად ინფორმატიულ სურათს იძლევა, ამავდროულად უფრო ადვილი ჩასატარებელი და იაფი მეთოდია.
[Figure caption and citation for the preceding image starts]: კისრის კტ კვლევა, რომელზეც გამოსახულია ბეჭდისმაგვარი, კონტრასტით გამოკვეთილი დაზიანება.Philpott CM, Selvadurai D, Banerjee AR. პედიატრული რეტროფარინგეული აბსცესი. J Laryngol Otol 2004; 118: 919-926 [Citation ends].
ქირურგიული ჩარევა
პაციენტის გასინჯვა ანესთეზიის ქვეშ (EUA) რეკომენდებულია, თუ რეტროფარინგეალური აბსცესის დიაგნოზი ძალზედ საეჭვოა, სასუნთქი გზები კი დახშობილი, ან იმ შემთხვევაში, თუ კომპიუტერულ-ტომოგრაფიული კვლევა არ არის ხელმისაწვდომი. გასინჯვა ანესთეზიის ქვეშ აგრეთვე ნაჩვენებია, თუ კომპიუტერული ტომოგრაფიით (ან სხვა გამომსახველობითი კვლევით, თუ კომპიუტერული ტომოგრაფია არ არის ხელმისაწვდომი) მიღებული სურათი რეტროფარინგეალური აბსცესის დიაგნოზს შეესაბამება. იმ შემთხვევებში, როდესაც კომპიუტერული ტომოგრაფია არ აჩვენებს მკაფიოდ შემოსაზღვრულ დაზიანებულ კერას, შეიძლება ჩატარდეს ინტრავენური ანტიბიოტიკების საცდელი მკურნალობა ქირურგიული დრენაჟის განხილვამდე.[24]
EUA დიაგნოზის დადასტურების, ტრანსორალური განაკვეთის გაკეთებისა და დრენირების საშუალებას იძლევა. კარგ,ად შემოსაზღვრულ რფა-ს ზოგიერთ ზრდასრულში შეიძლება წარმატებით ვუმკურნალოთ ულტრაბგერით მართული დრენაჟის მეშვეობით.[25][26] დრენაჟის დროს ამოღებულ უნდა იქნას ჩირქის ნიმუში კულტურის დასათესად და მგრძნობელობის დასადგენად.
ამ მასალის გამოყენება ექვემდებარება ჩვენს განცხადებას