დიფერენციული დიაგნოზები
ენდეთ მითითებებს
ebpracticenet პრიორიტეტი მიანიჭეთ ჩამოთვლილ ადგილობრივ გაიდლაინებს:
Acute Keelpijnავტორი: Werkgroep Ontwikkeling Richtlijnen Eerste Lijn (Worel)ბოლო გამოქვეყნება: 2017Mal de gorge aiguავტორი: Groupe de Travail Développement de recommmandations de première ligneბოლო გამოქვეყნება: 2017ეპიგლოტიტი
ნიშნები / სიმპტომები
ყელის ძლიერი ტკივილისა და ცხელების მწვავე განვითარება.
ხმის შესამჩნევი ცვლილება, მოგუდული ხმიანობა.
ჰიპერსალივაცია
ბავშვებში გამოხატულია სამფეხა სადგამის მსგავსი (წინ გადახრილი, ხელები მუხლებზე აქვს დაწყობილი) ან ყნოსვის პოზა
კვლევები
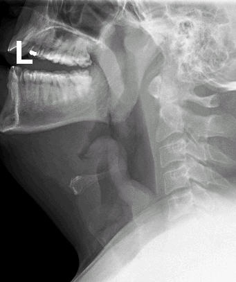
ეპიგლოტიტის პირდაპირი ვიზუალიზაცია (უნდა ჩატარდეს მხოლოდ საოპერაციოში მართული სიტუაციის პირობებში, სასუნთქი გზების დახშობის შემთხვევაში დაუყოვნებელი ინტუბაციისათვის) ან კისრის ლატერალური/გვერდით პროექციაში რენტგენოგრაფიით.[Figure caption and citation for the preceding image starts]: ლატერალურ პროექციაში კისრის გამოსახულება, რომელზეც ეპიგლოტიტი ისახებადოქტორ პეტრის პერსონალური კოლექციიდან; გამოყენებულია თანხმობით [Citation ends].
ხახის უკანა, პერიტონზილური და ლატერალური აბსცესი
ნიშნები / სიმპტომები
ყელის ტკივილი, ცხელება, კისრის ტკივილი და მოგუდული ხმა.
ყველაზე ხშირად ვითარდება 2-4 წლის ბავშვებში.
უფროსი ასაკის ბავშვებში დაკავშირებულია პირის ან ხახის ტრავმასთან.
კვლევები
აბსცესის აღმოსაჩენად საჭიროა კისრის რადიოგრაფიული კვლევები.
ინფექციური მონონუკლეოზი
ნიშნები / სიმპტომები
ხანგრძლივი ფარინგიტი.
ადენოპათია და სპლენომეგალია.
კვლევები
შრატში ეპშტეინ-ბარის ვირუსული ინფექციის ჰეტეროფილური ანტისხეულების ტესტი დადებითია.
პერიფერიულ სისხლში გვხვდება ატიპური ლიმფოციტები.
დიფთერია
ნიშნები / სიმპტომები
ფარინგიტი ნაცრისფერი აპკით, რომელიც ეკვრის ხორხს.[Figure caption and citation for the preceding image starts]: დიფტერიის ფარინგიტისთვის დამახასიათებელი ტიპური ფსევდომემბრანის არსებობაპედიატრიული და მოზრდილთა მედიცინის საავტორო უფლებათა განყოფილება, პრინცესა მარგარეტის საავადმყოფო, ჰონკ კონგი; გამოყენებულია თანხმობით [Citation ends].
ხშირია დაბალი და საშუალო შემოსავლის მქონე ქვეყნების წარმომადგენლებსა და არასრული იმუნიზაციის მქონე პირებში.
კვლევები
ორგანიზმის კულტურის კვლევა
ლემიერის სინდრომი
ნიშნები / სიმპტომები
საუღლე ვენის თრომბოფლებიტი, თანდართული შერეული ანაერობებით გამოწვეული აბსცესით.
ჩვეულებრივ, ვითარდება სისტემური ანთებითი რეაქციის სინდრომის (SIRS) ან სეფსისის მქონე პაციენტებში.
კვლევები
აბსცესი ვლინდება კისრის რადიოგრაფული კვლევებით.
წითელა
ნიშნები / სიმპტომები
კონიუნქტივიტით, რინორეით, ხველითა და დამახასიათებელი გამონაყარით (მაკულოპაპულური გამონაყარი) მიმდინარე სისტემური ინფექცია.
ფარინგიტი ვლინდება ეგზანთემური ფაზის დროს.
კოპლიკის ლაქები (მოლურჯო-მოთეთრო, შემაღლებული დაზიანებები, ვითარდება ლოყის გაწითლებულ ლორწოვანზე) დაავადების პათოგნომური ნიშანია.
კვლევები
წითელას საწინააღმდეგო IgM, ვირუსული კულტურა ან პოლიმერაზული ჯაჭვური კულტურა: დადებითი.
2019 წლის კორონავირუსით გამოწვეული დაავადება (COVID-19)
ნიშნები / სიმპტომები
ახლო კონტაქტი COVID-19-ის დადასტურებულ ან სავარაუდო შემთხვევასთან, სიმპტომების დაწყებამდე 14 დღით ადრე.
შეიძლება ჰქონდეს სხვა სიმპტომებიც, როგორიცაა ხველა, გასტროინტესტინური სიმპტომები ან სისტემური სიმპტომები (მაგ. ცხელება).
თუმცა, შეიძლება მსუბუქი სიმპტომები ან მხოლოდ ყელის ტკივილი აწუხებდეს პაციენტს.
კვლევები
რეალურ დროში რევერს ტრანსკრიპტაზას პოლიმერაზული ჯაჭვური რეაქცია (RT-PCR): დადებითია კორონავირუს 2-ით (SARS-CoV-2) RNA გამოწვეულ მძიმე მწვავე რესპირატორულ სინდრომზე.
ბეჰჩეტის სინდრომი
ნიშნები / სიმპტომები
ხახაზე ვეზიკულები, გენიტალური წყლულები, კანისა და თვალის დაზიანებები.
კვლევები
ბეხჩეტის სინდრომის დიაგნოსტირებაში ლაბორატორული და რადიოგრაფული კვლევები უშედეგოა, თუმცა გვეხმარება ალტერნატიული დიაგნოზების გამორიცხვაში.
სტივენ-ჯონსონის სინდრომი
ნიშნები / სიმპტომები
ახლო წარსულში ინფექციის, გულყრის, ანტიკონვულსანტების ან ახალი მედიკამენტების გამოყენების ანამნეზი.
ხახის ლორწოვანზე არსებული ბუშტუკები მიმდებარე ლორწოვანის გამოხატული ცვლილებებით.
კვლევები
დიაგნოზი კლინიკური გამოვლინებების საფუძველზე ისმება და დასტურდება კანის ბიოფსიის მეშვეობით.
კავასაკის დაავადება
ნიშნები / სიმპტომები
ტიპიური ნიშნებია: ცხელება 5 დღეზე მეტი ხნის განმავლობაში, პოლიმორფული გამონაყარი, ინიცირებული თვალები (კონიუნქტივიტი), კისრის ცალმხრივი ადენოპათია და ლორწოვანის ერითემა (ჟოლოსებრი ენა).
პირის ღრუს ლორწოვანის დიფუზური ანთება.
კვლევები
დიაგნოზი ისმება კლინიკური გამოვლინებების საფუძველზე.
ექოკარდიოგრაფიული გამოკვლევით შესაძლოა გამოვლინდეს კორონარული არტერიის ანევრიზმა.
მტევნის, ტერფისა და პირის დაავადება
ნიშნები / სიმპტომები
ბავშვთა ასაკის ხშირი ვირუსული ინფექცია, რომელიც გამოწვეულია კოქსაკ A-16 ვირუსით
ჩვეულებრივ, მსუბუქი ავადმყოფობა სუბფებრილური ცხელებით; ხასიათდება პირის ღრუს მტკივნეული წყლულებითა და ხელისა და ტერფის გულებზე ბუშტუკების განვითარებით.
კვლევები
სისხლის თეთრი უჯრედებისა და ატიპური ლიმფოციტების მომატებული რაოდენობა.
პოლიმერაზული ჯაჭვური რეაქციის მოლეკულური ანალიზი ახალი დიაგნოსტიკური მეთოდია.
პირ-ხახის სიმსივნე
ნიშნები / სიმპტომები
ხმის ჩახლეჩა, დისფონია, ყელის ტკივილი, ყლაპვის გაძნელება, არაპირდაპირ ლარინგოსკოპიაზე ხმოვანი იოგის დაზიანება, კისერში წარმონაქმნი ან ადენოპათია.
კვლევები
კისრის კტ კვლევა ხშირ შემთხვევაში, დიაგნოსტიკურია და დაავადების გავრცელების შეფასებაში გვეხმარება.
დიაგნოზი შეიძლება დაისვას წვრილი ნემსით მიღებული ასპირატის ციტოლოგიური ანალიზის საფუძველზე. თუმცა, უმეტეს შემთხვევაში საჭიროა ბიოფსია.
აფთოზური წყლულები
ნიშნები / სიმპტომები
ბავშვობაში ან მოზრდილობის პერიოდში მრავლობითი განმეორებადი, მცირე ზომის, წითელი, შემოსაზღვრული კიდეების მქონე მრგვალი ან ოვალური ფორმის წყლულები.
კვლევები
დიაგნოზი ეფუძნება, სისტემური ეტიოლოგიის გამორიცხვას, ანამნეზურ მონაცემებსა და კლინიკურ გასინჯვას; სპეციფიკური ლაბორატორული ნიშნები არ გვხვდება.
პერიოდული ცხელება, აფთოზური სტომატიტი, ფარინგიტი და ადენიტი- (PFAPA) სინდრომი.
ნიშნები / სიმპტომები
მორეციდივე ცხელება, რომელსაც თან ახლავს ფარინგიტი, აფთოზურ წყლულები და ადენიტი.
კვლევები
ხშირი რეციდივების ისტორია (ყოველ 2-6 კვირაში) სპონტანური ალაგებით.
ამ მასალის გამოყენება ექვემდებარება ჩვენს განცხადებას