სურათები და ვიდეოები
სურათები

ზურგის ტკივილის შეფასება
ხერხემლის სხეულის ღერძული ხედი, რომელიც აჩვენებს ცენტრალურ სპინალურ სტენოზს
BMJ 2008; 337:a2718; გამოიყენება ნებართვებით
მოცემული სურათის კონტექსტში დათვალიერებისთვის ეწვიეთ შემდეგ სექციას (სექციებს):

ზურგის ტკივილის შეფასება
წელისა და ფეხის სენსორული დერმატომები
შექმნილია BMJ ცოდნის ცენტრის მიერ
მოცემული სურათის კონტექსტში დათვალიერებისთვის ეწვიეთ შემდეგ სექციას (სექციებს):

ზურგის ტკივილის შეფასება
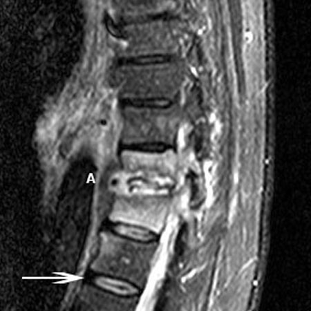
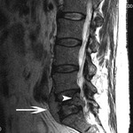
ოსტეომიელიტის მაგნიტურ-რეზონანსული კვლევა: T11-T12 დისკების სივრცე დაზიანებულია დისკის ანთებასთან ერთად (A). აღინიშნება ორივე მალის ძვლოვანი დაზიანება,რაზეც მიუთითებს მაღალი T2 სიგნალი მალების სხეულებზე. ისრით მითითებულია ნორმალური, დაუზიანებელი მალის დისკი
ექიმ Dr K. Singh საკუთრება; გამოყენებულია ნებართვით
მოცემული სურათის კონტექსტში დათვალიერებისთვის ეწვიეთ შემდეგ სექციას (სექციებს):

ზურგის ტკივილის შეფასება
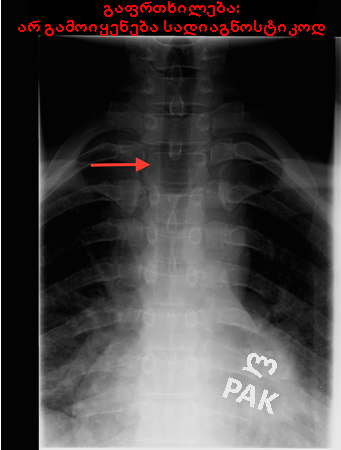
ხერხემლის რენტგენი: "winking owl" (ბუ, რომელიც თვალს გვიკრავს) ნიშანი (ხერხემლის ასიმეტრია, რაც გამოწვეულია მალის რკალის ფეხის დესტრუქციით
ექიმ Dr D. Park-ის საკუთრება; გამოყენებულია ნებართვით
მოცემული სურათის კონტექსტში დათვალიერებისთვის ეწვიეთ შემდეგ სექციას (სექციებს):

ზურგის ტკივილის შეფასება
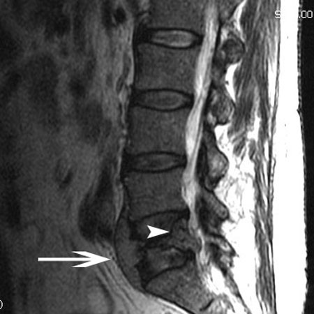
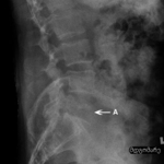
კომპრესიული მოტეხილობის რენტგენი: ლატერალური პროექციის რენტგენი L2 კომპრესიული მოტეხილობის დროს (A). შეინიშნება მალის სხეულის სოლისებრი დეფორმაცია
ექიმ Dr K. Singh საკუთრება; გამოყენებულია ნებართვით
მოცემული სურათის კონტექსტში დათვალიერებისთვის ეწვიეთ შემდეგ სექციას (სექციებს):

ზურგის ტკივილის შეფასება
სიმსივნის რენტგენი: ლიმფომა (A), ხერხემლის L5 მალის დესტრუქციით
ექიმ Dr K. Singh საკუთრება; გამოყენებულია ნებართვით
მოცემული სურათის კონტექსტში დათვალიერებისთვის ეწვიეთ შემდეგ სექციას (სექციებს):

ზურგის ტკივილის შეფასება
ხერხემლის სტენოზის MRI: ისრებით მითითებულია ხერხემლის არხის საშუალო ფორმის სტენოზი. ის გამოწვეულია ფასეტური სახსრისა და ყვითელი იოგების ჰიპერტროფიით
ექიმ Dr K. Singh საკუთრება; გამოყენებულია ნებართვით
მოცემული სურათის კონტექსტში დათვალიერებისთვის ეწვიეთ შემდეგ სექციას (სექციებს):

ზურგის ტკივილის შეფასება
სპინალური სტენოზის მაგნიტურ-რეზონანსული გამოკვლევა: (A) შემოსაზღვრავს სპინალური არხის ნორმალურ საგიტალურ დიამეტრს. (B) შემოსაზღვრავს სპინალური არხის მძიმე შევიწროვებას
ექიმ Dr K. Singh საკუთრება; გამოყენებულია ნებართვით
მოცემული სურათის კონტექსტში დათვალიერებისთვის ეწვიეთ შემდეგ სექციას (სექციებს):

ზურგის ტკივილის შეფასება
მიმოხილვითი რენტგენი, რომელიც გვიჩვენებს ბილატერალურ საკროილიიტს მაანკილოზებელი სპონდილიტის მქონე პაციენტში
BMJ 2006;333;581-585. © BMJ Publishing Group Ltd 2009
მოცემული სურათის კონტექსტში დათვალიერებისთვის ეწვიეთ შემდეგ სექციას (სექციებს):

ზურგის ტკივილის შეფასება
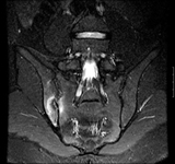
Coronal STIR (მოკლე ტაუ ინვერსიის აღდგენა) მაგნიტურ-რეზონანსული გამოსახულება გვიჩვენებს უნილატერალურ (მარჯვენამხრივ) საკროილიიტს
BMJ 2006;333;581-585. © BMJ Publishing Group Ltd 2009
მოცემული სურათის კონტექსტში დათვალიერებისთვის ეწვიეთ შემდეგ სექციას (სექციებს):

ზურგის ტკივილის შეფასება
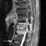
ლიმფომის მაგნიტური-რეზონანსული ტომოგრაფია: ისრის წვერი მიუთითებს რბილქსოვილოვან წარმონაქმნზე, რომელიც იჭრება ხერხემლის არხში. ისარი მიუთითებს სიმსივნეზე, პროტრუზიით L5 მალის სხეულის წინ
ექიმ Dr K. Singh საკუთრება; გამოყენებულია ნებართვით
მოცემული სურათის კონტექსტში დათვალიერებისთვის ეწვიეთ შემდეგ სექციას (სექციებს):

ზურგის ტკივილის შეფასება
პულპოზური ბირთვის თიაქარი, რომელიც იწვევს ნერვულ ფესვზე ზეწოლას. რადიკულური სიმპტომები შეიძლება გამოწვეული იყოს დეგენერაციული დისკების მიერ გამოთავისუფლებული ქიმიური შუამავლებით ან ნერვული ფესვის მექანიკური კომპრესიით.
BMJ 2008; 337:a2718; გამოიყენება ნებართვებით
მოცემული სურათის კონტექსტში დათვალიერებისთვის ეწვიეთ შემდეგ სექციას (სექციებს):

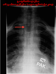
ზურგის ტკივილის შეფასება
"winking owl" (ბუ, რომელიც თვალს გვიკრავს) ნიშანი (ისარი): ხერხემლის ასიმეტრია რენტგენზე, რაც გამოწვეულია მალის რკალის ფეხის დესტრუქციით
შექმნილია BMJ Publishing Group მიერ
მოცემული სურათის კონტექსტში დათვალიერებისთვის ეწვიეთ შემდეგ სექციას (სექციებს):
ვიდეოები
- ზურგის შემოწმება
როგორ ჩავატაროთ ზურგის შემოწმება, სიარულისა და პოზის შემოწმების ჩათვლით
- ზურგის ფიზიკური გასინჯვის დემონსტრირება
ზოგადი პრაქტიკის ექიმი გვიჩვენებს, თუ როგორ უნდა ჩატარდეს ზურგის ფიზიკური გასინჯვა
- ზურგის ნევროლოგიური გამოკვლევის დემონსტრირება
ზოგადი პრაქტიკის ექიმი გვიჩვენებს, თუ როგორ უნდა ჩატარდეს ზურგის ნევროლოგიური გამოკვლევა
ამ მასალის გამოყენება ექვემდებარება ჩვენს განცხადებას