Imágenes y vídeos
Imágenes

Glomeruloesclerosis focal y segmentaria
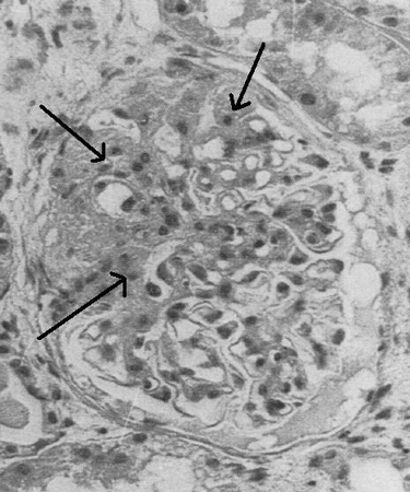
Microscopía óptica de biopsia renal que muestra lesiones típicas de la glomeruloesclerosis focal y segmentaria
Adaptado de Nagi AH, Alexander F, Lannigan R. Light and electron microscopical studies of focal glomerular sclerosis. J Clin Pathol. 1971 Dec;24(9):846-50
Ver esta imagen en el contexto de la/s siguiente/s sección/es:

Glomeruloesclerosis focal y segmentaria
Edema facial en un niño con síndrome nefrótico
De la colección de Dr M. Dixit, Medical Director, Florida Children's Kidney Centre; Dr R. Mathias, Chief, Pediatric Nephrology, Nemours Children's Clinic, Orlando, FL
Ver esta imagen en el contexto de la/s siguiente/s sección/es:

Glomeruloesclerosis focal y segmentaria
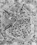
Aspecto característico de las lesiones de la glomeruloesclerosis focal y segmentaria
Creado en el BMJ Knowledge Centre
Ver esta imagen en el contexto de la/s siguiente/s sección/es:

Glomeruloesclerosis focal y segmentaria
Líneas de Muehrcke en un paciente con hipoalbuminemia secundaria a síndrome nefrótico
De Muehrcke RC. The finger-nails in chronic hypoalbuminaemia: a new physical sign. Br Med J. 1956 Jun 9;1(4979):1327-8
Ver esta imagen en el contexto de la/s siguiente/s sección/es:

Glomeruloesclerosis focal y segmentaria
Xantomas en un paciente con hiperlipidemia grave
De Watkins PJ. Cardiovascular disease, hypertension, and lipids. BMJ. 2003 Apr 19;326(7394):874-6
Ver esta imagen en el contexto de la/s siguiente/s sección/es:
El uso de este contenido está sujeto a nuestra cláusula de exención de responsabilidad