Pruebas diagnósticas
Primeras pruebas diagnósticas para solicitar
grupo sanguíneo materno
Prueba
Todas las mujeres embarazadas con sangre Rh negativo corren el posible riesgo de aloinmunización y eritroblastosis.
Resultado
Rh negativo
cribado de anticuerpos Rh séricos maternos
Prueba
Un cribado positivo de anticuerpos eritrocitarios debe impulsar la realización de pruebas diagnósticas adicionales para una posible aloinmunización debido a los anticuerpos Rh.[16]
Resultado
cribado positivo
Pruebas diagnósticas que deben considerarse
título de anticuerpos séricos maternos
Prueba
Dado que los métodos varían entre los laboratorios que realizan esta prueba, cada uno debe informar el título por debajo del cual es poco probable que exista incompatibilidad Rh fetal grave y por encima del cual se deben indicar la realización de pruebas diagnósticas y monitorización adicional.[38]
El título de anticuerpos séricos maternos es una orientación sobre la gravedad de la enfermedad. El American College of Obstetricians and Gynecologists afirma que un título crítico (título asociado con un riesgo significativo de enfermedad hemolítica grave del feto y del recién nacido, e hidropesía) se considera entre 1:8 y 1:32 en la mayoría de los centros.[34] Si el título inicial de anticuerpos es 1:8 o inferior, el paciente puede ser monitorizado con una evaluación del título cada 4 semanas.[34] Sin embargo, los títulos seriados no son adecuados para monitorizar el estado fetal cuando la madre ha tenido un feto o neonato previamente afectado.[34]
Resultado
título crítico: entre 1:8 y 1:32 (puede variar según los laboratorios)
grupo sanguíneo paterno
Prueba
Si el grupo sanguíneo del padre es Rh positivo y el de la madre es Rh negativo, esto produce una incompatibilidad de grupo sanguíneo en el feto.
Resultado
Rh positivo
cigosis paterna
Prueba
La heterocigosis denota un riesgo del 50% de que la descendencia tenga un grupo sanguíneo Rh negativo y ningún riesgo de incompatibilidad Rh. La homocigosis denota una probabilidad del 100% de un feto con Rh positivo, en riesgo de incompatibilidad Rh. La cigosis se determina mediante el ensayo de ADN plasmático en el caso del RhD; puede realizarse una prueba serológica de los eritrocitos paternos para el análisis de otros sistemas de antígenos eritrocitarios.
Resultado
homocigótico o heterocigótico
ultrasonido fetal
Prueba
El líquido en las cavidades serosas del feto se detecta fácilmente con una ecografía.[32][37][39][40]
Estos hallazgos son coherentes con la presencia de anemia fetal grave.[39][Figure caption and citation for the preceding image starts]: Hidropesía fetal con ascitis y hepatomegalia (flecha) diagnosticadas mediante ultrasonido prenatalOttawa Hospital; utilizado con el consentimiento de la paciente [Citation ends].
Resultado
puede mostrar edema subcutáneo, ascitis, derrame pleural o derrame pericárdico
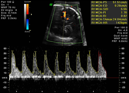
Velocimetría Doppler de la arteria cerebral media fetal (velocidad sistólica pico)
Prueba
La ecografía Doppler medida con una estimación de la velocidad sistólica máxima en la ACM fetal se puede utilizar para predecir la anemia moderada a grave en el feto. La velocidad sistémica máxima de ACM aumenta en los fetos con anemia significativa. Una alta velocidad del flujo sanguíneo para la edad gestacional debería dar lugar a la toma de muestras de sangre percutáneas del cordón umbilical (si hay una fuerte sospecha de anemia).[37][Figure caption and citation for the preceding image starts]: Aumento de la velocidad en la arteria cerebral media, coherente con anemia fetal graveOttawa Hospital; utilizado con el consentimiento de la paciente [Citation ends].
Resultado
≥1.5 MoM
determinación del grupo sanguíneo fetal (por amniocentesis o circulación maternal)
Prueba
Si el padre es heterocigoto RhD positivo, o la paternidad es incierta, el tipo de RhD del feto se determina mediante pruebas genéticas de células del líquido amniótico o se puede estimar utilizando ADN fetal libre de células en la circulación materna.[35]
Resultado
Tipo de Rh
evaluación directa de la anemia fetal
Prueba
A través de la venopunción del cordón umbilical (cordocentesis) o la vena intrahepática.
Si la hemoglobina fetal se encuentra dentro de los 20 g/L (2 g/dL) (es decir, 2 desviaciones estándar) de las normas para la edad gestacional y la prueba directa de antiglobulina es positiva, el feto tiene solamente un grado leve de afección. Un déficit de hemoglobina de 20-70 g/L (2-7 g/dL) sugiere una anemia moderada. La anemia fetal es grave cuando hay deficiencias de hemoglobina >70 g/L (>7 g/dL).
Resultado
hemoglobina y hematocrito fetal
prueba de rosetas
Prueba
Se puede utilizar una prueba de rosetas para descartar la hemorragia fetomaterna importante.
Resultado
puede ser positivo
prueba de Kleihauer-Betke/citometría de flujo
Prueba
Puede medir la cantidad de sangre fetal en la circulación materna.
Resultado
variable
El uso de este contenido está sujeto a nuestra cláusula de exención de responsabilidad