Imágenes y vídeos
Imágenes

Incompatibilidad Rh
Transfusión intraperitoneal; se visualiza la punta de la aguja ecogénica en la cavidad de la ascitis
Ottawa Hospital; utilizado con el consentimiento de la paciente
Ver esta imagen en el contexto de la/s siguiente/s sección/es:

Incompatibilidad Rh
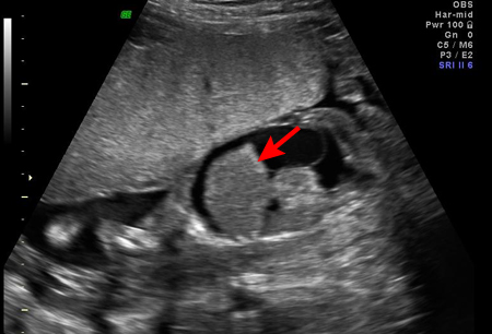
Hidropesía fetal con ascitis y hepatomegalia (flecha) diagnosticadas mediante ultrasonido prenatal
Ottawa Hospital; utilizado con el consentimiento de la paciente
Ver esta imagen en el contexto de la/s siguiente/s sección/es:

Incompatibilidad Rh
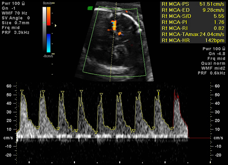
Aumento de la velocidad en la arteria cerebral media, coherente con anemia fetal grave
Ottawa Hospital; utilizado con el consentimiento de la paciente
Ver esta imagen en el contexto de la/s siguiente/s sección/es:
El uso de este contenido está sujeto a nuestra cláusula de exención de responsabilidad