Pruebas diagnósticas
Primeras pruebas diagnósticas para solicitar
tomografía de coherencia óptica
Prueba
Debe solicitarse para todos los pacientes al inicio del estudio; para pacientes con exudación, hemorragias o microaneurismas en la zona macular; y para pacientes con pérdida visual inexplicada.[Figure caption and citation for the preceding image starts]: Tomografía de coherencia óptica en el edema macular: pérdida de la depresión foveal central (flecha amarilla), acumulación de líquido dentro de los espacios cistoides de la fóvea (flecha roja)Cortesía del Archivo Fotográfico de Moorfields; usado con autorización [Citation ends].
[Figure caption and citation for the preceding image starts]: Tomografía de coherencia óptica del ojo normal: depresión foveal normal en el centro de la mácula (flecha amarilla), retina interna (hacia el centro del ojo; flecha roja), retina externa (más alejada del centro del ojo; flecha azul)Cortesía del Archivo Fotográfico de Moorfields; usado con autorización [Citation ends].
[Figure caption and citation for the preceding image starts]: Tomografía de coherencia óptica de la tracción vitreomacular: pérdida de la depresión foveal con tracción en la fóvea (en dirección de la flecha amarilla)Cortesía del Archivo Fotográfico de Moorfields; usado con autorización [Citation ends].
Resultado
Puede utilizarse para diagnosticar edema macular (espacios quísticos intrarretinianos, aumento del grosor del punto central, aumento del grosor del subcampo central; también, determinar si afecta al centro o no), isquemia macular (desorganización de las capas internas de la retina, pérdida de células ganglionares foveales, atrofia de la retina externa), tracción vitreomacular (engrosamiento de la hialoides posterior, retinosquisis traccional), adhesión vítrea a la neovascularización de la retina o del disco óptico; también puede utilizarse para controlar la respuesta al tratamiento del edema macular
fotografía de fondo de ojo/fotografía de fondo de ojo de gran campo
Prueba
Debe solicitarse para todos los pacientes al inicio y cuando se produzca un cambio en el aspecto del fondo de ojo.[Figure caption and citation for the preceding image starts]: Retina normal en el ojo izquierdo: papila óptica (cuadrado blanco), mácula (círculo blanco), arteriola (flecha roja), vénula (flecha azul)Cortesía del Archivo Fotográfico de Moorfields; usado con autorización [Citation ends].
Resultado
puede utilizarse para evaluar: la gravedad de la retinopatía; el avance de la retinopatía
Pruebas diagnósticas que deben considerarse
angiografía fluoresceínica/angiografía fluoresceínica de campo amplio
Prueba
Indicado en algunos pacientes con maculopatía diabética y en algunos pacientes con retinopatía no proliferativa/proliferativa grave.[16]
[Figure caption and citation for the preceding image starts]: Angiograma con fluoresceína en fase venosa media de retinopatía diabética solo con microaneurismas: microaneurisma (flecha roja), papila óptica (flecha amarilla), mácula (círculo blanco)Cortesía del Archivo Fotográfico de Moorfields; usado con autorización [Citation ends].
[Figure caption and citation for the preceding image starts]: Angiografía con fluoresceína de retinopatía diabética no proliferativa: microaneurismas (flechas rojas), anomalías microvasculares intrarretinianas (flecha azul)Cortesía del Archivo Fotográfico de Moorfields; usado con autorización [Citation ends].
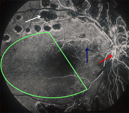
[Figure caption and citation for the preceding image starts]: Angiografía con fluoresceína en la retinopatía diabética proliferativa con isquemia macular: isquemia macular (círculo verde), ausencia de perfusión capilar (flecha blanca), nuevos vasos sanguíneos en la papila óptica (flecha roja), rosario venoso (flecha azul)Cortesía del Archivo Fotográfico de Moorfields; usado con autorización [Citation ends].
[Figure caption and citation for the preceding image starts]: Angiografía con fluoresceína de retinopatía diabética proliferativa: componente vascular de proliferación fibrovascular (flechas rojas), falta de perfusión capilar (flecha amarilla), quemaduras por el láser (círculo verde)Cortesía del Archivo Fotográfico de Moorfields; usado con autorización [Citation ends].
[Figure caption and citation for the preceding image starts]: Angiografía con fluoresceína en la retinopatía diabética proliferativa: nuevos vasos sanguíneos en la papila óptica (flecha roja), falta de perfusión capilar (rectángulo rojo), microaneurismas (círculo verde), rosario venoso (flecha azul), anomalías microvasculares intrarretinianas (flecha amarilla)Cortesía del Archivo Fotográfico de Moorfields; usado con autorización [Citation ends].
[Figure caption and citation for the preceding image starts]: Angiografía con fluoresceína en la retinopatía diabética proliferativa: nuevos vasos sanguíneos en otras partes (círculo rojo), ausencia de perfusión capilar (flecha blanca), quemaduras panretinianas por láser (flecha azul)Cortesía del Archivo Fotográfico de Moorfields; usado con autorización [Citation ends].
Resultado
define la fuga macular (frente a la definición de grosor de la tomografía de coherencia óptica); cuantifica la isquemia macular; determina el alcance de la no perfusión capilar; identifica nuevos vasos; determina la idoneidad de la fotocoagulación panretiniana
angiografía por tomografía de coherencia óptica
Prueba
Indicado en pacientes con sospecha de isquemia macular.[71]
[Figure caption and citation for the preceding image starts]: Tomografía de coherencia óptica en el edema macular: pérdida de la depresión foveal central (flecha amarilla), acumulación de líquido dentro de los espacios cistoides de la fóvea (flecha roja)Cortesía del Archivo Fotográfico de Moorfields; usado con autorización [Citation ends].
[Figure caption and citation for the preceding image starts]: Tomografía de coherencia óptica del ojo normal: depresión foveal normal en el centro de la mácula (flecha amarilla), retina interna (hacia el centro del ojo; flecha roja), retina externa (más alejada del centro del ojo; flecha azul)Cortesía del Archivo Fotográfico de Moorfields; usado con autorización [Citation ends].
[Figure caption and citation for the preceding image starts]: Tomografía de coherencia óptica de la tracción vitreomacular: pérdida de la depresión foveal con tracción en la fóvea (en dirección de la flecha amarilla)Cortesía del Archivo Fotográfico de Moorfields; usado con autorización [Citation ends].
Resultado
identifica anomalías vasculares en complejos capilares profundos y superficiales
Ecografía B-scan
Prueba
Debe solicitarse en pacientes en los que la opacidad de los medios (p. ej., hemorragia vítrea) impida la visualización del fondo de ojo.
Resultado
identifica el desprendimiento de retina por tracción macular y otras alteraciones estructurales importantes de la retina
El uso de este contenido está sujeto a nuestra cláusula de exención de responsabilidad