Diferenciales
Síndrome isquémico ocular
SIGNOS / SÍNTOMAS
Generalmente, se presenta con amaurosis fugaz y pérdida visual gradual o repentina.
La visión puede ser deficiente, la presión intraocular puede ser anormalmente alta o baja y la neovascularización del segmento anterior es una característica común.[75]
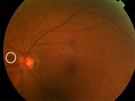
Comúnmente, es unilateral y predominantemente hemorrágico; a menudo, involucra la parte anterior y ecuatorial de la retina en lugar del polo posterior.[Figure caption and citation for the preceding image starts]: Síndrome isquémico ocular: hemorragias en racimos dispersas en la zona ecuatorial y el polo posterior (círculo blanco)Cortesía del Archivo Fotográfico de Moorfields; usado con autorización [Citation ends].
Pruebas diagnósticas
La angiografía con fluoresceína muestra retraso en el llenado arterial en los ojos afectados.
Los estudios por imágenes Doppler pueden mostrar estenosis carotídea y reversión del flujo de la arteria oftálmica.
Retinopatía por radiación
SIGNOS / SÍNTOMAS
Por lo general, ocurre en personas con antecedentes de exposición a la radiación y sin diabetes.
Se presentan signos de un patrón irregular de extravasación capilar y falta de perfusión capilar.[Figure caption and citation for the preceding image starts]: Retinopatía por radiación: exudados algodonosos (flecha blanca), edema de la papila óptica (círculo blanco), rosario venoso (flecha azul), hemorragia en la capa de fibras nerviosas (flecha roja)Cortesía del Archivo Fotográfico de Moorfields; usado con autorización [Citation ends].
Pruebas diagnósticas
No se necesitan pruebas de diferenciación; generalmente, la exposición a la radiación puede determinarse por la anamnesis.
Oclusión venosa retiniana
SIGNOS / SÍNTOMAS
Por lo general, produce pérdida visual aguda en un ojo; los signos retinianos (es decir, hemorragia, exudados algodonosos, edema macular y neovascularización) se limitan al ojo y al área de la oclusión.
La oclusión de la vena retiniana central, generalmente, afecta el polo posterior, pero si una rama de la vena está ocluida, los signos se limitan al segmento de la retina drenado por la vena; además, por lo general, es posible identificar el punto de oclusión donde una arteria cruza por delante de una vena.[Figure caption and citation for the preceding image starts]: Oclusión de la vena central retiniana: aumento de tamaño de la papila óptica (círculo blanco), edema macular (círculo amarillo), exudado (flecha amarilla), hemorragia en la capa de fibras nerviosas (flecha azul), congestión y tortuosidad venosas (flecha blanca)Cortesía del Archivo Fotográfico de Moorfields; usado con autorización [Citation ends].
[Figure caption and citation for the preceding image starts]: Oclusión de una rama venosa retiniana: sitio de oclusión (círculo blanco), exudados algodonosos (flecha blanca), hemorragia en la capa de fibras nerviosas (flecha roja), hemorragia en racimos (flecha verde)Cortesía del Archivo Fotográfico de Moorfields; usado con autorización [Citation ends].
Pruebas diagnósticas
No hay pruebas de diferenciación; generalmente, los signos monoculares son el mejor indicador.
La angiografía con fluoresceína es una prueba eficaz para caracterizar la naturaleza claramente localizada de una alteración vascular en la oclusión venosa retiniana.
Retinopatía hipertensiva
SIGNOS / SÍNTOMAS
Las presiones sistólica y diastólica están marcadamente elevadas.
Se asocia con la alteración visual aguda, aumento de tamaño de la papila óptica (que es infrecuente en la retinopatía diabética) y edema macular, que suele aparecer como una estrella de exudado macular.
Puede afectar el polo posterior de ambos ojos, pero los signos de acumulación de material axoplásmico (es decir, exudados algodonosos y edema de la papila óptica) tienden a dominar la apariencia del fondo de ojo.
Pruebas diagnósticas
La angiografía con fluoresceína revela la falta de perfusión arteriolar y no la falta de perfusión capilar como en la retinopatía diabética.
Retinopatía falciforme proliferativa
SIGNOS / SÍNTOMAS
El infarto crónico en la anemia falciforme puede ir acompañado de hemorragias vítreas y ceguera por neovascularización.
Los pacientes con anemia falciforme que presentan un inicio agudo de moscas volantes o una pérdida aguda de visión requieren una evaluación inmediata por parte de un oftalmólogo para comprobar si hay signos de hemorragia retiniana u oclusión de la arteria retiniana.[76]
En la exploración, puede haber una pérdida grave de visión, ningún defecto pupilar aferente, posibles células en la cámara anterior y sangre en el humor vítreo con una mala visión del fondo de ojo.
Los pacientes con anemia falciforme requieren exámenes anuales de la retina para detectar la retinopatía proliferativa. Alrededor del 45% de los pacientes presentan maculopatía detectable con angiografía por tomografía de coherencia óptica; la prevalencia aumenta con la edad.[77]
Pruebas diagnósticas
Un análisis de células falciformes puede detectar la enfermedad. Sin embargo, no es habitual que una persona con anemia falciforme llegue a la edad adulta sin ser consciente de su diagnóstico. El diagnóstico debe sospecharse en un paciente que presente una hemólisis inexplicable, con o sin episodios intermitentes de dolor (crisis vaso-oclusivas). Los pacientes también pueden presentar necrosis avascular, hemorragia retiniana o úlceras en las piernas.
La ecografía B-scan puede demostrar el lugar de la hemorragia y el desprendimiento de retina traccional.
El uso de este contenido está sujeto a nuestra cláusula de exención de responsabilidad