Imágenes y vídeos
Imágenes

Aspergilosis
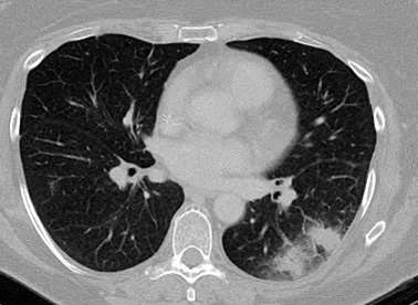
Signo de "creciente aéreo" en la aspergilosis pulmonar tardía
De la colección del Dr. P. Chandrasekar; utilizada con autorización
Ver esta imagen en el contexto de la/s siguiente/s sección/es:

Aspergilosis
Enfoque de tratamiento para la aspergilosis invasiva
Creado por los autores
Ver esta imagen en el contexto de la/s siguiente/s sección/es:

Aspergilosis
Morfología de los conidióforos y conidios de Aspergillus fumigatus
De la colección del Dr. P. Chandrasekar; utilizada con autorización
Ver esta imagen en el contexto de la/s siguiente/s sección/es:

Aspergilosis
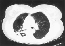
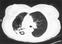
Aspergiloma en una cavidad pulmonar tuberculosa preexistente
De la colección del Dr. P. Chandrasekar; utilizada con autorización
Ver esta imagen en el contexto de la/s siguiente/s sección/es:

Aspergilosis
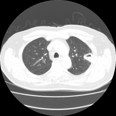
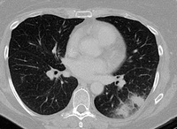
Signo de "halo" en la aspergilosis pulmonar temprana
De la colección del Dr. P. Chandrasekar; utilizada con autorización
Ver esta imagen en el contexto de la/s siguiente/s sección/es:

Aspergilosis
Tinción con plata metenamina de Gomori (GMS) del tejido pulmonar que muestra hifas septadas con ramificación por dicotomía de Aspergillus.
De la colección del Dr. P. Chandrasekar; utilizada con autorización
Ver esta imagen en el contexto de la/s siguiente/s sección/es:

Aspergilosis
Algoritmo diagnóstico para la sospecha de aspergilosis invasiva
Creado por los autores
Ver esta imagen en el contexto de la/s siguiente/s sección/es:
El uso de este contenido está sujeto a nuestra cláusula de exención de responsabilidad