Изображения и видео
Изображения

Буллезный пемфигоид
Напряженные, наполненные жидкостью пузыри на нормальной и эритематозной коже
Из коллекции д-ра Весны Петрон-Росик (Dr Vesna Petronic-Rosic)
Ознакомьтесь с этим изображением в рамках следующего раздела (разделов):

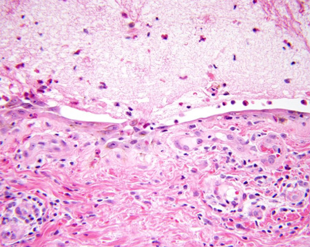
Буллезный пемфигоид
В полости пузыря имеются фибрин и эозинофилы
Из коллекции д-ра Весны Петрон-Росик (Dr Vesna Petronic-Rosic)
Ознакомьтесь с этим изображением в рамках следующего раздела (разделов):

Буллезный пемфигоид
Линейное полосы IgG в зоне базальной мембраны
Из коллекции д-ра Весны Петрон-Росик (Dr Vesna Petronic-Rosic)
Ознакомьтесь с этим изображением в рамках следующего раздела (разделов):

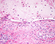
Буллезный пемфигоид
В полости пузыря имеется сеть фибрина, в то время как дермальный инфильтрат содержит большое количество эозинофилов
Из коллекции д-ра Весны Петрон-Росик (Dr Vesna Petronic-Rosic)
Ознакомьтесь с этим изображением в рамках следующего раздела (разделов):

Буллезный пемфигоид
Напряженные, наполненные жидкостью пузыри на нормальной и эритематозной коже туловища и конечностей
Из коллекции д-ра Весны Петрон-Росик (Dr Vesna Petronic-Rosic)
Ознакомьтесь с этим изображением в рамках следующего раздела (разделов):

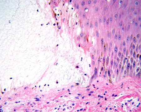
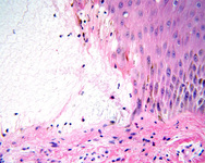
Буллезный пемфигоид
Результат световой микроскопии: субэпидермальный пузырь
Из коллекции д-ра Весны Петрон-Росик (Dr Vesna Petronic-Rosic)
Ознакомьтесь с этим изображением в рамках следующего раздела (разделов):

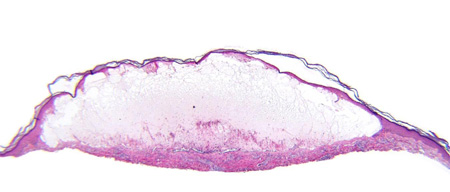
Буллезный пемфигоид
Везикулезный вариант: напряженные блистеры
Из коллекции д-ра Весны Петрон-Росик (Dr Vesna Petronic-Rosic)
Ознакомьтесь с этим изображением в рамках следующего раздела (разделов):
Использование этого контента попадает под действие нашего заявления об отказе от ответственности