Подход
Диагноз основан на клиническом проявлении и подтверждается результатами лабораторных исследований.
Анамнез и клиническое обследование
Врач должен получить подробный медицинский анамнез, в котором указана дата появления и развития признаков и симптомов. Особое внимание следует уделять сбору анамнеза, связанного с сопутствующими заболеваниями, которые могут ассоциироваться с буллезным пемфигоидом (например, неврологические и сердечно-сосудистые заболевания), или с возможным лечением.[28]
Обследование должно начинаться с осмотра кожи пациента с головы до ног. Пациент должен предоставить описание характера поражений от начала до обращения к врачу. Если пациент обращается к врачу на ранней, продромальной, не буллезной фазе, зуд переменной интенсивности может сопровождаться экзематозными или уртикарными поражениями в течение недель или месяцев.[29] На буллезной стадии характерные, напряженные везикулы или буллы развиваются на внешне нормальной или эритематозной коже фоновой экзематозной или уртикарной сыпи.
Пузыри обычно наблюдаются на сгибательных поверхностях рук и ног, в подмышечных впадинах, в паховой складке и на животе.[5] Пузыри могут достигать нескольких сантиметров в диаметре и содержать прозрачную серозную жидкость, которая через несколько дней может становиться кровянистой. Если пузыри прорываются, эродированные, покрытые корочкой области заживают медленно и оставляют поствоспалительную гиперпигментацию в отдельных случаях с наличием милий. Поражения обычно симметричны и образуются в областях изгибов конечностей, на нижней части туловища и животе.
Важно осмотреть слизистую оболочку полости рта, поскольку поражения полости рта наблюдаются у 30% пациентов.[4]
Лабораторные исследования
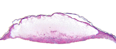
Для диагностики буллезного пемфигоида необходимо провести биопсию кожи, предпочтительно вырезая целый пузырь с небольшой областью соседней незатронутой ткани. Необходимо провести биопсию новообразованного пузыря, стараясь не нарушить целостность и не повредить ткань. Необходимо взять для проведения биопсии и образцы соседней нормальной ткани, стараясь ее не повредить. В продромальной, не буллезной фазе или при нетипичном случае результаты световой микроскопии могут быть менее специфическими и недиагностическими. При высоком подозрении и отрицательных результатах исследование можно повторить. Положительный результат показывает субэпидермальный пузырь с дермальным воспалительным клеточным инфильтратом, содержащий большое количество эозинофилов.[Figure caption and citation for the preceding image starts]: Результат световой микроскопии: субэпидермальный пузырьИз коллекции д-ра Весны Петрон-Росик (Dr Vesna Petronic-Rosic) [Citation ends].
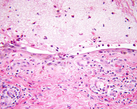
[Figure caption and citation for the preceding image starts]: В полости пузыря имеется сеть фибрина, в то время как дермальный инфильтрат содержит большое количество эозинофиловИз коллекции д-ра Весны Петрон-Росик (Dr Vesna Petronic-Rosic) [Citation ends].
[Figure caption and citation for the preceding image starts]: В полости пузыря имеются фибрин и эозинофилыИз коллекции д-ра Весны Петрон-Росик (Dr Vesna Petronic-Rosic) [Citation ends].
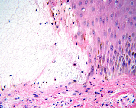
Также необходимо провести исследование образца соседней нормальной кожи методом прямой иммунофлюоресценции, так как это является лучшим доступным исследованием.[30] Ткань необходимо немедленно заморозить или поместить в среду Мишеля и транспортировать в соответствующую лабораторию. Для обеспечения точности результатов необходимо аккуратное обращение с образцом. Это исследование является положительным, если вдоль зоны базальной мембраны появляются линейные полосы IgG и/или C3 (и редко иммуноглобулинов других классов).[Figure caption and citation for the preceding image starts]: Линейное полосы IgG в зоне базальной мембраныИз коллекции д-ра Весны Петрон-Росик (Dr Vesna Petronic-Rosic) [Citation ends].
При получении отрицательного результата может быть выполнен анализ ELISA. Этот анализ идентифицирует специфические антигены буллезного пемфигоида.[31] Доступны наборы, но многие медицинские центры по-прежнему их не предлагают.
Если при прямой иммунофлуоресценции достигается положительный результат, проводится исследование методом непрямой иммунофлюоресценции с использованием сыворотки пациента. Антитела к антигенам буллезного пемфигоида свидетельствуют о положительном результате.[30] Результаты анализируются только специализированными лабораториями, поэтому перед транспортировкой образцы должны быть тщательно обработаны. Важно отметить предшествующее лечение пациента, поскольку иммуносупрессивная терапия может ложно снизить показатели количества антител.
Неотложные исследования
Для определения реактивности с BP230 и BP180 можно использовать иммуноблоттинг и иммунопреципитацию.[9] Чувствительность иммуноблоттинга варьируется. У 75% пациентов происходит реакция с антигеном БП230, тогда как у 50% пациентов реакция происходит с антигеном БП180.[32] В отличие от иммуноблоттинга, иммунопреципитация проводится с нативным, а не с денатурированным, белком и является более чувствительной.
Метод флуоресцентного наложения антигенного картирования облегчает дифференциальную диагностику приобретенных субэпидермальных буллезных кожных заболеваний, но, как правило, он недоступен.[33]
Использование этого контента попадает под действие нашего заявления об отказе от ответственности