Investigações
Primeiras investigações a serem solicitadas
exame microscópico com solução de hidróxido de potássio (KOH)
Exame
Realizado no consultório médico. Sempre confirme o diagnóstico de PV pelo exame microscópico direto da escama de lesões com uma solução de hidróxido de potássio. Na preparação do espécime, obtenha a escama e os fragmentos das lesões na pele por uma leve raspagem com lâmina cirúrgica #15 (sem a necessidade de sangramento) ou pela extração das escamas com uma fita ou com um swab de algodão quando a cooperação do paciente torna perigosa a utilização de um instrumento afiado (por exemplo, em crianças pequenas). O espécime é colocado em uma lâmina e examinado após aplicação de solução de KOH a 10% com ou sem tinta Parker (que colore rapidamente os fungos em azul) ou negro de clorazol (que colore rapidamente os fungos em verde).[13][Figure caption and citation for the preceding image starts]: Solução de hidróxido de potássio (KOH) e negro de clorazol mostrando hifas curtas e esporosDo acervo de Brian L. Swick, MD [Citation ends].
Resultado
hifas curtas e leveduras de brotamento com aparência espaguete-e-almôndegas
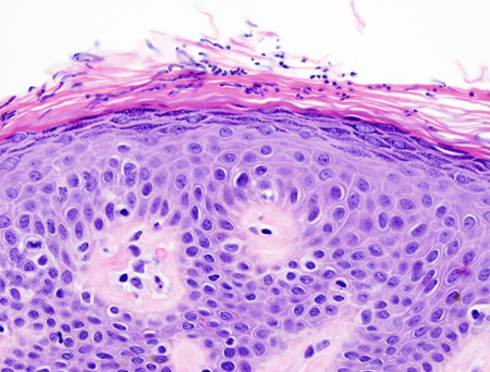
Investigações a serem consideradas
biópsia de pele
Exame
Apenas necessária se a história ou os achados do exame físico forem atípicos. Na maioria dos casos, a solução de KOH é adequada para o diagnóstico. Entretanto, se não for possível a obtenção de escama ou se os resultados forem inconclusivos, uma biópsia de pele deverá ser obtida para confirmar o diagnóstico e excluir outras doenças com apresentação similar, especialmente a pitiríase alba, a dermatite seborreica, a papilomatose confluente e reticulada e o vitiligo.[Figure caption and citation for the preceding image starts]: Biópsia de pele mostrando hifas curtas e levedurasDo acervo de Brian L. Swick, MD [Citation ends].
Resultado
hifas curtas abundantes e formas de leveduras de brotamento dentro do estrato córneo
cultura
Exame
A identificação por cultura é difícil e não é necessária para o diagnóstico de rotina da PV. Meios especiais, que não sejam os meios Sabouraud micológicos típicos, são necessários para o desenvolvimento e isolamento do fungo.[1]
Resultado
colônias com coloração branca a creme 2 a 3 dias após a inoculação nos meios de Dixon ou Leeming e no meio de Dixon modificado
coloração de Gram
Exame
A violeta de genciana é aplicada diretamente na pele afetada como um adjuvante diagnóstico para distinguir a PV de outras erupções descamativas que possam ser associadas a máculas e manchas hiperpigmentadas ou hipopigmentadas.[32]
Resultado
acentuação da coloração púrpura das manchas infectadas com violeta de genciana
O uso deste conteúdo está sujeito ao nosso aviso legal