Imagens e vídeos
IMAGENS

Torcicolo congênito
Imagem do vértice de uma cabeça retratando achados típicos de plagiocefalia associados ao torcicolo muscular congênito. Observe a forma típica de paralelogramo decorrente das forças de compressão externas assimétricas e do crescimento associado. *Indica o lado do músculo esternocleidomastoideo encurtado e o torcicolo resultante
Preparado pela Dra. Joyce L. Oleszek; usado com permissão
Veja esta imagem em contexto nas seguintes seções:

Torcicolo congênito
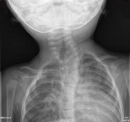
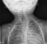
Radiografia da coluna cervical mostrando inúmeras anomalias de segmentação associadas a uma escoliose convexa cervicotorácica esquerda. Esse paciente apresentou-se com inclinação da cabeça. Há anomalias de segmentação na região torácica inferior e cervical superior. Há uma escoliose convexa cervicotorácica esquerda aguda com uma hemivértebra no ápice da curva. Vértebra em borboleta identificada no sentido rostral à hemivértebra e as anomalias de segmentação também são identificadas no sentido caudal à hemivértebra
Do acervo pessoal da Dra. Joyce L. Oleszek; usado com permissão
Veja esta imagem em contexto nas seguintes seções:
O uso deste conteúdo está sujeito ao nosso aviso legal