Abordagem
O diagnóstico definitivo da doença de Hirschsprung é estabelecido histologicamente por uma biópsia retal que demonstra a ausência de células ganglionares, mas este normalmente não é o primeiro exame diagnóstico. Uma história e exame físico cuidadosos podem ajudar a determinar quais pacientes necessitam de exames complementares. Enemas com contraste e manometria anorretal também são complementos úteis para estabelecer o diagnóstico.
Anamnese e exame físico
A apresentação clássica da doença de Hirschsprung é o neonato nascido a termo que não elimina mecônio nas primeiras 48 horas de vida. A maioria dos pacientes é diagnosticada no período neonatal.[1] Um paciente que se apresenta mais tarde na vida pode ter sintomas crônicos de constipação, encoprese, dificuldades de alimentação e/ou deficit de crescimento.[47] História familiar de doença de Hirschsprung é relatada em cerca de 8% dos pacientes.[44]
Os sinais mais comuns da doença de Hirschsprung são:
Distensão abdominal
Vômitos
Eliminação tardia de mecônio (após as primeiras 24-48 horas de vida)
Passagem explosiva de fezes/gases
Constipação/obstipação
Deficit no crescimento
Alguns pacientes também podem apresentar sinais e sintomas de enterocolite associada à doença de Hirschsprung (EADH), que também incluem desconforto abdominal, febre, letargia, diarreia, fezes com sangue e choque séptico.[3][11] A EADH grave pode resultar em sepse com risco de vida e deve ser tratada rapidamente, pois é a principal causa de morte na doença de Hirschsprung.[11][12][13] Crianças com diagnóstico tardio da doença de Hirschsprung (maiores de 12 meses de idade) têm menos probabilidade de apresentar EADH.[47]
Exames por imagem
Uma radiografia abdominal simples pode mostrar sinais inespecíficos de obstrução distal, como intestinos dilatados e níveis hidroaéreos. Pode haver ausência de ar na pelve inferior. Entretanto, uma radiografia normal não descarta a possibilidade da doença de Hirschsprung.
[Figure caption and citation for the preceding image starts]: Imagem radiográfica abdominal mostrando distensão gasosa do intestino grosso com ausência de ar no reto (típica da doença de Hirschsprung)BMJ Case Reports 2012; doi:10.1136/bmj.e5521 [Citation ends].
Um enema com contraste realizado com material de contraste hidrossolúvel é o exame de imagem mais valioso para a doença de Hirschsprung. Um enema com contraste é recomendado se a avaliação clínica for suspeita de doença de Hirschsprung ou se houver sinais de obstrução distal na radiografia. Uma relação retossigmoide (diâmetro máximo do reto dividido pelo diâmetro máximo do cólon sigmoide durante o enema com contraste) de <1 é altamente sugestiva de doença de Hirschsprung. Outros achados sugestivos incluem contraste retido por >24 horas, irregularidade da mucosa ou microcólon.[48] Uma zona de transição pode ser observada no enema com contraste, mas isso pode ser menos óbvio em neonatos.[49] Uma zona de transição no enema com contraste pode ajudar no planejamento cirúrgico, mas deve-se observar que a zona de transição radiográfica pode não se correlacionar com a zona de transição histológica.[50] O enema com contraste pode demonstrar irregularidade da mucosa no cólon distal aganglionar e pode mostrar uma zona de transição entre o cólon distal aganglionar de menor calibre e o cólon ganglionar proximal dilatado.[Figure caption and citation for the preceding image starts]: Enema de bário realizado em um neonato com doença de Hirschsprung. Frequentemente, as alterações clássicas não são evidentes no período neonatalCorman ML. Colon and rectal surgery. 5ª ed. Philadelphia, PA: Lippincott Williams and Wilkins; 2005:555-603; usado com permissão. [Citation ends].
[Figure caption and citation for the preceding image starts]: Enema com contraste mostrando uma relação retossigmoide anormal (diâmetro sigmoide maior que o diâmetro retal)Da coleção pessoal da Dra. Lily Cheng; usado com permissão [Citation ends].
[Figure caption and citation for the preceding image starts]: O enema com contraste pode demonstrar irregularidade da mucosa no cólon distal aganglionar e pode mostrar uma zona de transição entre o cólon distal aganglionar de menor calibre e o cólon ganglionar proximal dilatadoDa coleção pessoal da Dra. Lily Cheng; usado com permissão [Citation ends].
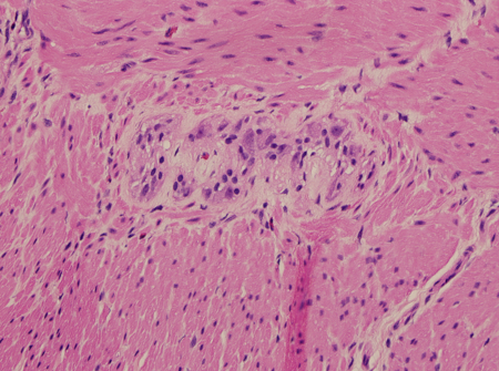
Biópsia retal
Uma biópsia retal é sempre necessária para o diagnóstico definitivo da doença de Hirschsprung. As biópsias devem ser obtidas pelo menos 2 cm proximais à linha dentada e devem ter pelo menos 3 mm de diâmetro, garantindo que pelo menos um terço da amostra inclua tecido submucoso.[27] As biópsias retais podem ser realizadas por sucção ou técnicas cirúrgicas abertas, com preferência pelo método menos invasivo possível.[27] Uma biópsia retal tradicional de espessura total inclui os plexos mioentérico e submucoso e é realizada sob anestesia geral na sala de cirurgia. Uma biópsia retal por sucção pode ser feita à beira do leito, sem sedação, mas inclui apenas o plexo submucoso. Isso pode produzir amostras inadequadas em bebês ou crianças mais velhas.[51] Sangramento e perfuração são complicações raras.[52]
A patologia da biópsia retal mostrará ausência de células ganglionares na doença de Hirschsprung. Também pode mostrar a presença de nervos hipertróficos (maiores que 40 micrômetros em uma criança com menos de 6 meses), mas isso pode estar ausente em pacientes com doença de segmento longo ou aganglionose colônica total (ACT).[53] Outras colorações imuno-histoquímicas, incluindo calretinina, transportador de colina e acetilcolinesterase, podem ser marcadores auxiliares úteis.[53][54]
[Figure caption and citation for the preceding image starts]: Hematoxilina e eosina mostrando células ganglionares no plexo mioentéricoDa coleção pessoal da Dra. Lily Cheng; usado com permissão [Citation ends].
manometria anorretal
A manometria anorretal pode ser útil em crianças mais velhas como um teste de rastreamento para identificar pacientes que necessitam de biópsia retal. Um reflexo inibitório reto-anal (RIRA) normal na manometria anorretal tem um valor preditivo negativo de até 100%.[55] Um RIRA ausente na manometria deve ser seguido por uma biópsia para confirmar o diagnóstico da doença de Hirschsprung.
O uso deste conteúdo está sujeito ao nosso aviso legal