Investigações
Primeiras investigações a serem solicitadas
radiografia torácica
Exame
Deve ser obtida em caso de qualquer suspeita de pneumonia hospitalar. As vistas póstero-anterior e lateral são preferenciais às vistas anteroposteriores. A comparação com um filme anterior deve ser feita se estiver disponível.
Todas as radiografias torácicas são limitadas pela falta de diferenciação entre a opacidade alveolar e o líquido.
Uma tomografia computadorizada (TC) pode ser realizada para diagnosticar a opacidade e esclarecer se um procedimento é indicado.[Figure caption and citation for the preceding image starts]: Radiografia torácica portátil de paciente com pneumonia hospitalar. Observe a cúpula diafragmática esquerda obscurecida por causa de opacidade no lobo inferior esquerdo e uma borda cardíaca obscurecida devido a opacidade no lobo superior esquerdo ou na língula pulmonarConsentimento obtido na University of Louisville, Louisville, KY [Citation ends].
Resultado
opacidade, obscurecimento do diafragma ou borda cardíaca
contagem diferencial de leucócitos
Exame
Essa contagem pode estar elevada na infecção em geral, mas geralmente é inespecífica. O excesso de neutrófilos com núcleo "em banda" deve ser causa de preocupação acima de 4%, e a leucopenia é uma preocupação quando há menos de 4000 células/mL³.
Resultado
contagem de leucócitos elevada ou reduzida, acima ou abaixo dos valores normais do laboratório local e/ou % elevada de bastonetes
oximetria de pulso
Exame
A saturação do oxigênio medida pela oximetria de pulso pode ser enganosamente alta em comparação com a obtida pela gasometria arterial.
Resultado
valor baixo; <88% a <92% em geral, mas é relativa à condição inicial do paciente e oxigênio suplementar
cultura de amostra do trato respiratório inferior
Exame
Um escovado brônquico protegido (via broncoscopia) foi considerado como o mais exato, seguido por lavagem broncoalveolar e aspirado traqueal obtido através de tubo endotraqueal, mas atualmente a amostragem não invasiva (aspiração endotraqueal) com culturas semiquantitativas é sugerida como superior à amostragem invasiva ou não invasiva com culturas quantitativas.[1][58]
É preciso que as culturas positivas estejam correlacionadas clinicamente, já que podem ser apenas falso-positivos mostrando evidência de colonização da traqueia ou falso-negativos, na sequência de um tratamento antimicrobiano prévio.
As culturas quantitativas fornecem mais informações que os espécimes qualitativos, e devem ser usadas se disponíveis.
Resultado
>10³ unidades formadoras de colônias (ufc)/mL para um escovado brônquico protegido; >104 ufc/mL para lavagem broncoalveolar (LBA); >106 ufc/mL para aspirado endotraqueal; 10⁴ ou 10⁵ ufc/mL no contexto clínico de pneumonia associada à ventilação mecânica
Investigações a serem consideradas
gasometria arterial
Exame
Se houver suspeita de pneumonia hospitalar, o limite para obter um gasometria arterial deve ser baixo para garantir que o paciente não esteja hipóxico.
Não podem ser fornecidos valores específicos, porque todos os valores da gasometria arterial podem estar altos ou baixos com base na doença (como a pneumonia hospitalar) e no grau de compensação do paciente.
Resultado
pO₂ baixa; pode haver outras anormalidades na gasometria arterial, como valores que indicam acidose metabólica (por exemplo, pH baixo, pCO₂ alta)
toracocentese diagnóstica
Exame
Uma toracocentese deve ser realizada se a quantidade de líquido pleural observada for considerada maior que mínima.[62]
Os exames do líquido pleural que indicam que o espaço pleural precisa ser drenado são: pH <7.20, nível de glicose <2.2 mmol/L (<40 mg/dL) e LDH >1000 U/L.
Resultado
cultura ou coloração de Gram positiva
tomografia computadorizada (TC) do tórax
Exame
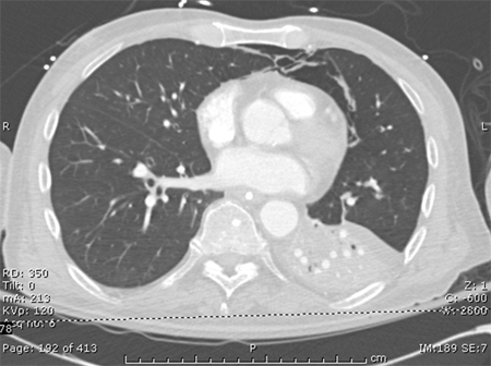
Uma tomografia computadorizada (TC) pode ser realizada para diagnosticar a opacidade e esclarecer se um procedimento é indicado.[Figure caption and citation for the preceding image starts]: Tomografia computadorizada mostrando opacidades bibasilares de paciente com pneumonia hospitalarConsentimento obtido na University of Louisville, Louisville, KY [Citation ends].
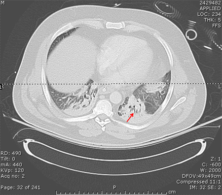
[Figure caption and citation for the preceding image starts]: TC de paciente com um infiltrado no lobo inferior esquerdo (seta azul), derrames pleurais bilaterais (pontas de seta amarelas) e atelectasia basilar direita; note a linha separando as duas sombras de cinza, representando o infiltrado e o fluidoConsentimento obtido na University of Louisville, Louisville, KY [Citation ends].
[Figure caption and citation for the preceding image starts]: Tomografia computadorizada de paciente com um infiltrado grande e denso no lobo inferior esquerdoConsentimento obtido na University of Louisville, Louisville, KY [Citation ends].
Resultado
pode mostrar opacidade ou esclarecer achados prévios quando a qualidade da radiografia for insatisfatória
proteína C-reativa
Exame
O papel da proteína C-reativa é minimizado nas diretrizes de 2016 da Infectious Diseases Society of America e da American Thoracic Society para pneumonia hospitalar/pneumonia associada à ventilação mecânica, que recomendam que a proteína C-reativa auxilie o exame clínico como parte da decisão de iniciar a terapêutica antimicrobiana.[63]
Resultado
elevada
ultrassonografia do pulmão
Exame
A ultrassonografia pode ser considerada se a radiografia torácica for de baixa qualidade ou se houver uma opacidade mal definida.[55]
O American College of Physicians recomenda a realização da ultrassonografia no local de atendimento se houver incerteza diagnóstica em pacientes com dispneia aguda.[56]
Resultado
pode ser observada condensação
Novos exames
Swab nasal para MRSA
Exame
O swab nasal está sendo cada vez mais usado para rastrear MRSA em ambientes hospitalares. No contexto de pneumonia hospitalar/pneumonia associada à ventilação mecânica (PAVM), o rastreamento por swab nasal para MRSA pode ser usado para orientar a redução da terapia empírica anti-MRSA. Em uma metanálise de 22 estudos, incluindo 5163 participantes, a especificidade do swab nasal de MRSA para PAVM por MRSA foi de 94%; o valor preditivo negativo foi de 95%.[61] No entanto, as diretrizes da Infectious Diseases Society of America não incluem uma recomendação sobre o uso de swabs nasais para o rastreamento de MRSA em pacientes com pneumonia hospitalar/PAVM.[1]
Resultado
pode ser negativo se não houver infecção por MRSA
O uso deste conteúdo está sujeito ao nosso aviso legal