Resumo
Diretriz confiável
ebpracticenet recomenda que você priorize as seguintes diretrizes locais:
Behandeling acuut cardiogeen longoedeem in een urgente situatie (in afwachting van hospitalisatie)Publicada por: Werkgroep Ontwikkeling Richtlijnen Eerste Lijn (Worel)Última publicação: 2022La prise en charge de l’oedème pulmonaire aigu cardiogénique en situation d'urgence (en attente d'une hospitalisation)Publicada por: Groupe de Travail Développement de recommmandations de première ligneÚltima publicação: 2022Definição
História e exame físico
Principais fatores diagnósticos
- dispneia
- edema periférico
- tolerância reduzida ao esforço
- fadiga
- Membros frios
- pressão venosa jugular elevada
- fatores de risco
- ictus cordis deslocado
- ritmo de galope (terceira bulha cardíaca)
Outros fatores diagnósticos
- tosse noturna
- sibilância
- tontura
- confusão
- perda de apetite
- dor isquêmica noturna
- ascite
- cianose central
- pressão de pulso estreita
- estado mental alterado
- oligúria
- tempo de enchimento capilar protelado
- crepitações pulmonares
- macicez à percussão/diminuição de murmúrio vesicular nas bases pulmonares
Fatores de risco
- doença cardiovascular prévia
- idade avançada
- episódio anterior de insuficiência cardíaca
- diabetes mellitus
- história familiar de cardiopatia isquêmica ou cardiomiopatia
- ingestão excessiva de bebidas alcoólicas
- tabagismo
- arritmia cardíaca
- história de condições sistêmicas associadas à insuficiência cardíaca
- quimioterapia prévia
- medicamento
- hipertensão
- valvopatia cardíaca
- doença pericárdica
- miocardite
- ingestão excessiva de sal
- estimulação excessiva de catecolaminas
- função anormal da tireoide
- obesidade
Investigações diagnósticas
Primeiras investigações a serem solicitadas
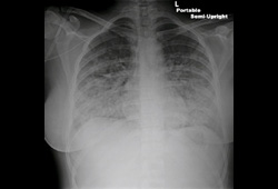
- eletrocardiograma (ECG)
- radiografia torácica
- peptídeos natriuréticos
- troponina
- hemograma completo
- ureia, eletrólitos e creatinina
- glicose e HbA1c
- testes da função hepática
- testes da função tireoidiana
- proteína C-reativa
- dímero D
- ecocardiografia
Investigações a serem consideradas
- gasometria arterial ou venosa
- exames de sangue de rastreamento para miocardite
- ultrassonografia torácica à beira do leito
- ressonância nuclear magnética cardíaca (RNMC)
- imagem por medicina nuclear
Algoritmo de tratamento
Colaboradores
Consultores especialistas
Shrilla Banerjee, MD, FRCP, FESC
Consultant Interventional Cardiologist
East Surrey Hospital
Surrey and Sussex Healthcare NHS Trust
UK
Declarações
SB has received speaker fees for educational lectures (presentation content was her own) and meeting participation from Menarini, Edwards Lifesciences, Abbott Vascular, and Shockwave IVL. She has also participated in an Advisory Board for Sahajanand Medical Technologies Limited. SB has received travel sponsorship from Biosensors International to attend the PCR meeting in Paris in 2022. She has prepared a manuscript on coronary microvascular dysfunction for Abbott for Cardiovascular News (no royalties).
F. Aaysha Cader, MD, MSC (Oxon), MRCP
Cardiology Registrar
Kettering General Hospital NHS Foundation Trust
Kettering
UK
Declarações
FAC is co-course director of the APSC-EECC Core cardiology review series. FAC is co-author on several papers with SB.
Agradecimentos
Best Practice would like to gratefully acknowledge previous expert contributors, whose work is retained in parts of the content:
Syed Wamique Yusuf, MBBS, FACC, FRCPI
Professor of Medicine
Department of Cardiology
University of Texas
MD Anderson Cancer Center
Houston
TX
Resham Baruah MBBS, BSc, FRCP, MSc, PhD
Consultant Cardiologist
Heart Failure Lead
Chelsea and Westminster Hospital and the Royal Brompton and Harefield NHS Trust
London
UK
Adam D. Hartley MBBS, BSc, MRCP
Wellcome Trust Clinical Research Fellow
Imperial College London
Specialist Registrar in Cardiology
Imperial College Healthcare NHS Trust
London
UK
Declarações
SWY is a co-director of the American College of Cardiology (ACC) Cardiovascular Board Review Course, during which he also delivers lectures. RB has received honorarium/speaker fees from Novartis and Boehringer Ingleheim. ADH declares that he has no competing interests.
Revisores
Lisa Anderson, BSc, MB, ChB, MD
Consultant Cardiologist
Cardiovascular Clinical Academic Group
Molecular and Clinical Sciences Research Institute
St George's, University of London
St George's University Hospitals NHS Foundation Trust
London
UK
Declarações
LA was deputy chair for the British Society of Heart Failure clinical advisory board for tafamidis, undertook consultancy services for tafamidis (Pfizer), received a research grant from Pfizer, was on the clinical advisory board for dapagliflozin (AstraZeneca), and received lecture fees from the British Society of Cardiology/AstraZeneca and Pfizer.
James Gamble, BM, BCh, DM, FRCP
Consultant Cardiologist
Oxford Heart Centre
John Radcliffe Hospital
Oxford
UK
Declarações
JG has been reimbursed for delivering educational meetings by: Novartis, the manufacturer of sacubitril/valsartan; Boerhinger Ingelhiem, the manufacturer of empagliflocin; AstraZeneca, the manufacturer of dapagliflozin; and Medtronic, the manufacturer of implantable cardioverter defibrillator (ICD) and cardiac resynchronisation therapy (CRT) devices. He has been supported to attend educational meetings by Abbott, Medtronic, and Boston Scientific, who all manufacture ICD and CRT devices. All of these companies produce drugs or devices related to the treatment of heart failure.
Créditos aos pareceristas
Os tópicos do BMJ Best Practice são constantemente atualizados, seguindo os desenvolvimentos das evidências e das diretrizes. Os pareceristas aqui listados revisaram o conteúdo pelo menos uma vez durante a história do tópico.
Declarações
As afiliações e declarações dos pareceristas referem--se ao momento da revisão.
Consultores especialistas: comorbidades
Martyn Patel, BMBcH, FRCP, MA
Consultant, Older People's Medicine
Norfolk and Norwich University Hospitals
NHS Foundation Trust
Norwich
UK
Declarações
MP is the NHS representative on the board for Norwich Institute for Healthy Ageing (unpaid role). MP participated in a podcast on the evolving nature and importance of comorbidities for BMJ Best Practice in October 2024. MP is submitting an application to the NIHR Research for Patient Benefit (RfPB) Grant Call on physical frailty, an Integrated Care Board (ICB) priority.
Paul Cockwell, PhD, FRCP
Consultant Nephrologist
Queen Elizabeth Hospital Birmingham
Professor of Nephrology (honorary)
University of Birmingham
Birmingham
UK
Declarações
PC is immediate past-president and a trustee of UK Kidney Association (UKKA), which is the UK professional organisation that supports healthcare professionals involved in care for, and research, innovation and education in, kidney disease. UKKA has a broad remit with relationships with multiple partners and includes responsibility for UK Kidney Week, the major educational meeting for UK kidney professionals. PC is medical director for long-term conditions and prevention for NHS Birmingham and Solihull, with responsibilities that include commissioning and transformation of clinical care including areas relevant to the information on chronic kidney disease in the BMJ Best Practice Comorbidity Manager. PC has a non-remunerated research partnership with Boehringer Ingelheim into the epidemiology of chronic kidney disease. PC has received honoraria from Astra Zeneca for leading educational meetings for chronic kidney disease and long-term conditions. PC is author of the BMJ Learning module on chronic kidney disease.
Rajiv Sankaranarayanan, MBBS, FRCP (Lon), FESC, FHFA, PhD
Consultant Cardiologist and Heart Failure Lead
Liverpool University Hospitals NHS Foundation Trust
Liverpool Centre for Cardiovascular Science and NIHR Research Scholar and Honorary Senior Clinical Lecturer
University of Liverpool
Liverpool
UK
Declarações
RS has research grants from the British Heart Foundation, the NIHR, NHSX (Transformation Agency), AstraZeneca, Biotronik, and the University of Liverpool. RS has received speaker fees/honoraria and travel reimbursement for conferences from AstraZeneca, Novartis, Vifor, Medtronic, Biotronik, Pfizer, Daaichi Sankyo, Roche, and Boehringer. RS has been appointed to: NHS England GIRFT Clinical Lead; NHS England HF Clinical Lead for Cheshire and Merseyside ICB; NHS England PIFU Pathway Committee for Heart Failure (2021); British Cardiovascular Society Vice President-Elect Digital, Communications and Media Committee; British Society for Heart Failure Board Councillor; Clinical Advisory Board of UK’s patient-led charity Pumping Marvellous (2020); and NHS England HF Expert Group.
Rachael Evans, MBChB, FRCP (UK), PhD
Associate Professor (Clinical)
University of Leicester
Honorary Consultant Respiratory Physician
Glenfield Hospital
Leicester
UK
Declarações
RAE has given a lecture for a non-promotional industry-led session on long COVID by Moderna in 2023 and provided consultancy for a long COVID project for Astra Zeneca over the past 36 months totalling <£3000. RAE is the Chief Investigator for a long COVID study funded by Genentec Roche by a grant awarded to the University of Leicester.
Gerry Rayman, MD, FRCP
Consultant Physician and Head of Service
Diabetes and Endocrine Centre and the Diabetes Research Unit
Ipswich Hospitals NHS Trust
Ipswich
UK
Declarações
GR received funding from Menarini in 2024 to attend the European Association for the Study of Diabetes conference. GR declares he received speaker fees from Abbott and consultancy fees from Eli Lily. GR undertakes several research projects on behalf of East Suffolk and North Essex NHS Foundation Trust for pharmaceutical companies which are on the NIHR portfolio (he does not receive payment himself for these).
Sotiris Posporelis, MD, MRCPsych
Consultant Liaison Neuropsychiatrist
King’s College Hospital
South London and Maudsley NHS Foundation Trust
Honorary Senior Clinical Lecturer
Institute of Psychiatry, Psychology & Neuroscience
King’s College London
London
UK
Declarações
SP declares that he has no competing interests.
Asangaedem Akpan, MPH, FRCP
Consultant Geriatrician
Bunbury Regional Hospital
Western Australia Country Health Service
Bunbury
Western Australia
Visiting Professor
University of Cumbria
Carlisle
Honorary Clinical Associate Professor
University of Liverpool
Liverpool
UK
Declarações
AA has a limited company that is seeking consultancy work offering reviews of healthcare services, facilitation of workshops, advice/review of publications.
Sanjay Agrawal, MBChB, FRCP
Consultant in Respiratory and Intensive Care Medicine
University Hospitals of Leicester NHS Trust
Leicester
UK
Declarações
SA is a board member of Action for Smoking for Health (ASH), a healthcare charity related to tobacco control advocacy. SA is the National Specialty Advisor on Tobacco for NHS England and the Special Advisor for Tobacco for the Royal College of Physicians. SA undertakes research on the field of tobacco control but is not chief investigator for any studies at the time of making this declaration nor has he received any money or grants from pharmaceutical companies.
Acknowledgement: Martin Cowie
BMJ Best Practice would like to gratefully acknowledge Professor Martin Cowie for his previous role as expert adviser for the cardiovascular disease information in the Comorbidities Manager.
Martin Cowie MD, MSc, FRCP, FRCP (Ed), FESC, FHFA, FACC
Professor of Cardiology
Imperial College London (Royal Brompton Hospital)
London
UK
Declarações
MC is chair of the European Society of Cardiology Digital Health Committee and a trustee of the Atrial Fibrillation Society. He has previously been a non-executive director of the National Institute for Health and Care Excellence. MC provides consultancy advice to AstraZeneca, Servier, Abbott, Medtronic, Boston Scientific, and Genomics PLC. MC declares that none of these interests is directly related to topics advised on for this project.
Acknowledgement: Andrew Lewington
BMJ Best Practice would like to gratefully acknowledge Dr Andrew Lewington for his previous role as expert adviser for the chronic kidney disease information in the Comorbidities Manager.
Andrew Lewington, BSc (Hons), MBBS, MEd, MD, FRCP
Consultant Renal Physician
Honorary Associate Professor
Nephrology Department
Leeds Teaching Hospitals NHS Trust
Head of MBChB
School of Medicine
University of Leeds
Leeds
UK
Declarações
AL has been the principal applicant/co-applicant for a number of grants including: Engineering and Physical Sciences Research Council Research - multiplexed AKI biomarker detection with a single molecule biosensor; Leeds Cares - a novel, non-invasive diagnostic approach to assess kidney transplant health through the targeted measurement of biomarkers of kidney injury and immune response in kidney transplant recipients at the Leeds Teaching Hospitals NHS Trust; Kidney Research Yorkshire - use of enhanced technology to characterise haemodialysis treatment for acute kidney injury (AKI); Bringing It Home - validation of a micro-sampling technique for measuring tacrolimus and creatinine remotely, and to fund a research nurse; British Renal Society - renal function assessment with point of care creatinine in diverse populations (RAPID), and several NIHR grants including on a) Improving the quality of post-discharge care following AKI b) An investigation into the use of remote blood sample collection to reduce health inequalities in patients with mental health disorders c) A comparison of remote blood collection devices: a human factor use study d) Defining the characteristics for a novel automatic device to monitor urine output in catheterised patients e) Leeds Medtech and In-vitro Diagnostic Cooperative Grant Extension f) Surgical MedTech Co-operative for the 2019/20 proof-of-principle funding stream g) A pilot investigation into the use of beta-trace protein for residual renal function estimation in haemodialysis h) Application of functional MRI to improve assessment of chronic kidney disease (AFiRM study) i) SuperResPath-Renal: Quantitative super-resolution technology for a fast, decentralised clinical diagnosis of renal pathologies. AL is the co-author of several manuscripts including on extracorporeal treatments, AKI, kidney function testing prior to contrast-enhanced CT, plasma exchange and glucocorticoids in severe ANCA-associated vasculitis, COVID-19 rapid diagnostics, multimodal image-guided ablation on management of renal cancer in Von-Hippel-Lindau syndrome, and a summary of NICE guidance on CKD. AL is the author of several book chapters on nephrology and AKI. AL has received expenses for accommodation and travel for conferences at which he has given lectures, other than those delivered virtually. AL was a member of the AKI Scientific Program Committee for the ISN World Congress of Nephrology 2020-2021 and Chair of this same committee in 2021-2022.
Revisores: comorbidades
Martyn Patel, BMBcH, FRCP, MA
Consultant, Older People's Medicine
Norfolk and Norwich University Hospitals
NHS Foundation Trust
Norwich
UK
Declarações
MP is the NHS representative on the board for Norwich Institute for Healthy Ageing (unpaid role). MP participated in a podcast on the evolving nature and importance of comorbidities for BMJ Best Practice in October 2024. MP is submitting an application to the NIHR Research for Patient Benefit (RfPB) Grant Call on physical frailty, an Integrated Care Board (ICB) priority.
Referências
Principais artigos
McDonagh TA, Metra M, Adamo M, et al. 2021 ESC Guidelines for the diagnosis and treatment of acute and chronic heart failure. Eur Heart J. 2021 Sep 21;42(36):3599-726.Texto completo Resumo
National Institute for Cardiovascular Outcomes Research; British Society For Heart Failure. National heart failure audit (NHFA) 2025 annual report (2023/24 data). 2025 [internet publication].Texto completo
National Confidential Enquiry into Patient Outcome and Death. Failure to function. 2018 [internet publication].Texto completo
National Institute for Health and Care Excellence. Acute heart failure: diagnosis and management. November 2021 [internet publication].Texto completo
Artigos de referência
Uma lista completa das fontes referenciadas neste tópico está disponível aqui.
O uso deste conteúdo está sujeito ao nosso aviso legal
