Imagens e vídeos
IMAGENS

Tendinopatia
Ressonância nuclear magnética (RNM) demonstrando tendinopatia leve a moderada do centímetro proximal do tendão patelar, caracterizado pelo espessamento e sinal anormal no tendão
Do acervo pessoal de James Wang, PhD
Veja esta imagem em contexto nas seguintes seções:

Tendinopatia
Depois cruze o tornozelo não afetado por trás no tornozelo afetado. Por fim, baixe o calcanhar para baixo do degrau
Do acervo pessoal de James Wang, PhD
Veja esta imagem em contexto nas seguintes seções:

Tendinopatia
Teste para epicondilite medial: resistência à pronação do antebraço e flexão palmar provoca dor no epicôndilo medial
Do acervo pessoal de James Wang, PhD
Veja esta imagem em contexto nas seguintes seções:

Tendinopatia
Teste para epicondilite medial: resistência à extensão do punho com o cotovelo totalmente estendido tensiona a origem do tendão extensor radial curto do carpo e provoca dor no epicôndilo lateral
Do acervo pessoal de James Wang, PhD
Veja esta imagem em contexto nas seguintes seções:

Tendinopatia
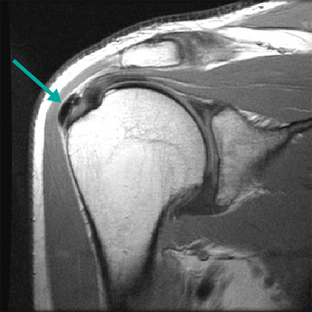
Ressonância nuclear magnética (RNM) demonstrando tendinopatia por calcificação envolvendo o supraespinhal central distal
Do acervo pessoal de James Wang, PhD
Veja esta imagem em contexto nas seguintes seções:

Tendinopatia
Pressão lateral e medial aplicada na porção anterior e posterior da inserção de Aquiles provoca dor
Do acervo pessoal de James Wang, PhD
Veja esta imagem em contexto nas seguintes seções:

Tendinopatia
Teste de pinçamento: com a mão totalmente pronada, levante passivamente o ombro na linha do movimento da escápula. Dor = teste positivo
Do acervo pessoal de James Wang, PhD
Veja esta imagem em contexto nas seguintes seções:

Tendinopatia
Teste de pinçamento: com o ombro a 90º de flexão para frente e o cotovelo com 90º de flexão, aplique pressão para baixo na mão enquanto estabiliza no cotovelo. Dor = teste positivo
Do acervo pessoal de James Wang, PhD
Veja esta imagem em contexto nas seguintes seções:

Tendinopatia
Exercício excêntrico para a panturrilha. Para iniciar: levante-se sobre os pododáctilos bilateralmente sobre a borda de um degrau
Do acervo pessoal de James Wang, PhD
Veja esta imagem em contexto nas seguintes seções:
O uso deste conteúdo está sujeito ao nosso aviso legal