Imagens e vídeos
IMAGENS

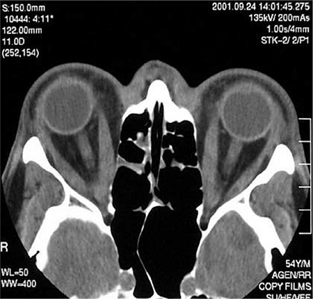
Doença de Graves
TC axial através das órbitas de um paciente com orbitopatia de Graves exibindo espessamento elevado dos retos mediais
Cortesia do Dr. Petros Perros
Veja esta imagem em contexto nas seguintes seções:

Doença de Graves
Orbitopatia e elefantíase
Cedida pelo Dr. Vahab Fatourechi
Veja esta imagem em contexto nas seguintes seções:

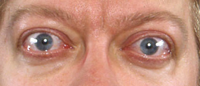
Doença de Graves
Retração da pálpebra, proptose leve e quemose leve
Cedida pelo Dr. Vahab Fatourechi
Veja esta imagem em contexto nas seguintes seções:

Doença de Graves
Mixedema pré-tibial (edema não depressível)
Cedida pelo Dr. Vahab Fatourechi
Veja esta imagem em contexto nas seguintes seções:

Doença de Graves
Elefantíase
Cedida pelo Dr. Vahab Fatourechi
Veja esta imagem em contexto nas seguintes seções:

Doença de Graves
Exames de captação de iodo. Apresentações típicas de ausência de captação na tireoidite (figura superior). Captação aumentada difusa na doença de Graves (imagem inferior esquerda). Áreas de captação elevada e reduzida em bócio multinodular tóxico (imagem central inferior). Área única de captação elevada em um adenoma tóxico (figura inferior direita)
Cortesia do Dr. Petros Perros
Veja esta imagem em contexto nas seguintes seções:
O uso deste conteúdo está sujeito ao nosso aviso legal