Abordagem
Avalie os pacientes para transtorno da tireoide quando apresentam perda de peso inexplicada, palpitações, fibrilação atrial ou outras taquicardias supraventriculares, tremores, fraqueza muscular proximal generalizada ou protrusão inexplicada dos olhos.[2][4][45] Investigue qualquer aumento difuso da tireoide, principalmente se houver sopro. Pele úmida e aveludada, queda de cabelos, onicólise, irregularidades na menstruação em mulheres e disfunção sexual também podem estar associados ao hipertireoidismo.[2][46][47]
Sintomas como perda de peso inexplicada e fraqueza generalizada podem causar preocupação ao paciente quanto a alguma causa maligna subjacente. Solicite investigações apropriadas e siga os procedimentos de rede de segurança do paciente quando houver qualquer sintoma de neoplasia maligna que não possa ser explicado por outra causa.
O diagnóstico é essencialmente clínico. A combinação de anticorpos antirreceptor de hormônio estimulante da tireoide (TSH) elevados (ou captação elevada de iodo radioativo/tecnécio-99 pela tireoide se o teste de anticorpos antirreceptor de TSH não estiver disponível ou o diagnóstico for incerto); TSH suprimido; e níveis elevados de hormônios tireoidianos circulantes (T4 livre e T3 total ou livre) é o padrão para o diagnóstico do hipertireoidismo de Graves.
Hipertireoidismo subclínico
Vários indivíduos assintomáticos podem ser diagnosticados com hipertireoidismo subclínico devido à doença de Graves em exames de rotina solicitados para outras indicações. Obter uma história clínica detalhada (incluindo história familiar de doenças autoimunes), realizar um exame físico e repetir os testes de função tireoidiana junto com anticorpos antirreceptor de TSH após 8 a 12 semanas para determinar se a anormalidade bioquímica é transitória (como devido a doença não tireoidiana) ou devida a um processo autoimune.
Exames laboratoriais
Solicite um ensaio de TSH sérico como teste de rastreamento laboratorial inicial.[48]
TSH sérico e hormônios tireoidianos circulantes
A maioria dos pacientes sintomáticos com doença hipertireoidiana de Graves apresentam nível sérico de TSH abaixo do limite de detecção dos exames de terceira geração (por exemplo, <0.01 mUI/L).[49] O diagnóstico de hipertireoidismo é confirmado por níveis séricos elevados de T4 livre e T3 total ou livre na presença de um TSH baixo.[2][45] As medições totais de T4 e T3 podem fornecer resultados enganosos porque são afetadas pela ligação de proteínas; a medição da fração livre do T4 é preferencial. O T3 total é comumente usado devido às limitações dos ensaios de T3 livre.[45][49]
Na doença de Graves leve, os níveis de T4 livre podem estar normais, mas os de T3 podem estar elevados ("toxicose por T3").[45]
Uma razão T3/T4 elevada é sugestiva de doença de Graves, não de tireoidite.[50][51]
Pode ser útil calcular a razão T3/T4 total ou T3L/T4L para distinguir a tireoidite da doença de Graves e do bócio nodular tóxico (quando a captação de radioiodo é contraindicada, por exemplo na gravidez ou lactação).[52]
Os pacientes com doença subclínica apresentam níveis séricos de TSH baixos com níveis periféricos de hormônio tireoidiano dentro da faixa de referência.[7][8][9]
anticorpos antirreceptores de TSH
Medidos por imunoensaio ou bioensaio, os anticorpos antirreceptor de TSH estão tipicamente elevados em >90% dos pacientes com doença de Graves. A faixa de referência pode diferir entre os laboratórios.
Os pacientes idosos com doença de Graves tendem a ter menor elevação do hormônio tireoidiano para o mesmo nível de anticorpos antirreceptor de TSH circulantes em comparação com os pacientes mais jovens.[53]
Os bioensaios permitem a diferenciação entre anticorpos estimuladores do receptor de TSH e anticorpos antibloqueador do receptor de TSH, facilitando a predição de: manifestações extratireoidianas; e hipertireoidismo fetal ou neonatal entre gestantes e mulheres no pós-parto com doença de Graves.[48][49] Os imunoensaios medem a inibição da ligação ao receptor de TSH e não conseguem distinguir entre anticorpos antiestimulador e antibloqueador da tireoide.
anticorpos antitireoperoxidase
O teste para anticorpos antitireoperoxidase pode ser útil se o teste para anticorpos antirreceptor de TSH não estiver disponível e/ou a cintilografia com isótopos for contraindicada (por exemplo, nas gestantes). 70% das pessoas com doença de Graves serão positivas.
Exames radiológicos
Não solicitar exames radiológicos em pacientes com bioquímica tireotóxica e anticorpos antirreceptor de TSH elevados.
Se o teste para anticorpos antirreceptor de TSH for negativo e a causa da tireotoxicose for desconhecida, a captação de iodo radioativo-123 (I-123) ou tecnécio-99 (Tc-99) pela tireoide pode ser considerada.[54] A captação de I-123 ou Tc-99 fornece uma medida quantitativa do acúmulo e da retenção do traçador radioativo pela tireoide. A captação do traçador radioativo pode informar o diagnóstico e é útil para descartar síndromes de hipertireoidismo de baixa captação, como tireoidite indolor. Além disso, os resultados do teste de captação de iodo radioativo podem ser usados no planejamento do tratamento.
A cintilografia da tireoide usando I-123 ou Tc-99 permite a avaliação do tecido tireoidiano mostrando o padrão de distribuição do traçador radioativo (por meio de imagens bidimensionais). A cintilografia da tireoide pode diferenciar a doença de Graves (captação difusa) do bócio multinodular tóxico (irregular com áreas focais de captação aumentada).[2][45]
A captação e a cintilografia da tireoide são menos utilizadas desde que a medição de anticorpos antirreceptor de TSH se tornou mais amplamente disponível.
Ultrassonografia da tireoide
Solicite uma ultrassonografia da tireoide quando houver suspeita de nódulos ao exame ou quando houver presença de nódulos na cintilografia da tireoide. A dopplerfluxometria colorida pode ajudar a distinguir a doença de Graves (aumento do fluxo) da tireoidite indolor e do hipertireoidismo induzido por amiodarona (fluxo reduzido).[2][45][55]
A ultrassonografia da tireoide não deve ser solicitada rotineiramente se não houver anormalidade palpável na glândula tireoide.[56][57]
[Figure caption and citation for the preceding image starts]: Exames de captação de iodo. Apresentações típicas de ausência de captação na tireoidite (figura superior). Captação aumentada difusa na doença de Graves (imagem inferior esquerda). Áreas de captação elevada e reduzida em bócio multinodular tóxico (imagem central inferior). Área única de captação elevada em um adenoma tóxico (figura inferior direita)Cortesia do Dr. Petros Perros [Citation ends].
Orbitopatia/dermopatia
Examine os pacientes cuidadosamente para proptose bilateral e retração da pálpebra. Na presença de hipertireoidismo, essas características clínicas são suficientes para o diagnóstico de orbitopatia de Graves.
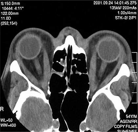
Solicitar exame de imagem transversal da órbita (ou seja, TC ou RNM) em pacientes com orbitopatia unilateral eutireoidiana ou outras apresentações atípicas (por exemplo, nenhuma evidência anterior ou atual de disfunção tireoidiana, ausência de retração da pálpebra superior, estrabismo divergente, manifestação única de diplopia, história de agravamento da diplopia quase ao final do dia); a demonstração de espessamento muscular típico é necessária para descartar outros diagnósticos.[34] Anticorpos antirreceptores de TSH elevados aumentam a probabilidade de o diagnóstico ser uma orbitopatia de Graves, mas esta medida não substitui o exame de imagem orbital se houver suspeita de um diagnóstico alternativo.[3][34][58]
Examine o paciente quanto a dermopatia tireoidiana (um mixedema pré-tibial), o qual pode se apresentar como edema não depressível, placa, nódulo(s), ou elefantíase.[19] A presença de orbitopatia de Graves é diagnóstica de doença de Graves. Dermopatia e/ou acropaquia sem orbitopatia são excepcionalmente raras e devem levantar suspeita de causas alternativas de alterações na pele e unha. Em casos duvidosos, solicite uma biópsia de pele.[59][60]
Tenha consciência que a orbitopatia de Graves é, muitas vezes, diagnosticada tardiamente ou diagnosticada erroneamente como alergia ou conjuntivite, principalmente quando os sintomas no olho precedem o diagnóstico da doença de Graves.
Atualmente, ainda não se sabe ao certo se a orbitopatia de Graves leve é um processo crônica recidivante e remitente ou se é um evento transitório no ciclo da doença.[61]
O teste DiaGO (diagnóstico da orbitopatia de Graves) é uma ferramenta de avaliação de 20 pontos que pode ser usada por médicos (incluindo especialistas não oftalmológicos) para ajudar a identificar pacientes com orbitopatia de Graves; no entanto, são necessários estudos confirmatórios para que possa ser usado na prática clínica.[62] Foram publicadas diretrizes sobre detecção precoce e tratamento de orbitopatia de Graves.[58][Figure caption and citation for the preceding image starts]: Retração da pálpebra, proptose leve e quemose leveCedida pelo Dr. Vahab Fatourechi [Citation ends].
[Figure caption and citation for the preceding image starts]: Mixedema pré-tibial (edema não depressível)Cedida pelo Dr. Vahab Fatourechi [Citation ends].
[Figure caption and citation for the preceding image starts]: Orbitopatia e elefantíaseCedida pelo Dr. Vahab Fatourechi [Citation ends].
[Figure caption and citation for the preceding image starts]: TC axial através das órbitas de um paciente com orbitopatia de Graves exibindo espessamento elevado dos retos mediaisCortesia do Dr. Petros Perros [Citation ends].
O uso deste conteúdo está sujeito ao nosso aviso legal