Abordagem
O diagnóstico presuntivo de carcinoma de células escamosas (CCE) da pele geralmente se baseia na história completa e em achados clínicos; no entanto, a biópsia de pele confirma o diagnóstico.[74]
Os pacientes com CCE de pele normalmente apresentam várias ceratoses actínicas (CAs). Elas são máculas, pápulas ou placas escamosas cor da pele, amareladas ou eritematosas, mal-definidas, com forma irregular e pequenas em áreas do corpo expostas ao sol que têm o potencial de evoluir para CCE. A vigilância e um limite baixo para investigação são importantes para definir o diagnóstico precoce e um desfecho bem-sucedido.
História
Os CCEs são observados com mais frequência na pele fotoexposta, normalmente em pessoas com >40 anos de idade, e frequentemente na presença de ceratoses actínicas. Mudanças na forma ou no tamanho, aumento da hiperemia, induração, sensibilidade, inflamação ou sangramento de qualquer uma dessas lesões devem exigir a investigação imediata de um possível CCE.
Embora não seja um fato diagnóstico, as CAs costumam ser múltiplas enquanto os CCEs costumam ser solitários. No entanto, em pacientes imunocomprometidos, vários CCEs são comuns. A incidência da doença é maior nos homens que nas mulheres, e as pessoas com pele de Fitzpatrick tipos I e II (brancos) têm risco elevado.[6][7][8]
O fenótipo da pele e a história de exposição cumulativa à radiação ultravioleta (por exemplo, exposição ao sol, câmaras de bronzeamento artificial, terapia com psoraleno e luz UV-A para psoríase) devem ser observados.[39][40] Informe-se sobre fatores de risco mais raros, incluindo exposição a radiação ionizante, arsênico, fuligem ou alcatrão; papilomavírus humano; imunossupressão; melanoma prévio; e doenças hereditárias da pele.[4][23][47][48][51][54][55][56][57][58][59]
Como CAs e CCEs estão no mesmo espectro, com frequência é difícil diferenciá-los clinicamente. Em geral, os CCEs costumam ser sintomáticos e são mais espessos, maiores e mais duros que as CAs.
A taxa de transformação de ceratoses actínicas em um CCE invasivo permanece obscura, embora as estimativas variem de 0.025% a 16% por lesão por ano.[52] No entanto, a grande maioria dos CCEs surge dentro ou perto das ceratoses actínicas. Há evidências que sugerem que pacientes com ceratose actínica de grau 3 de Olsen estão em maior risco de desenvolver CCE invasivo.[53] (Consulte Critérios de diagnóstico).
O CCE in situ (doença de Bowen) pode ser diagnosticado erroneamente como dermatite que não responde ao tratamento.
Os pacientes normalmente apresentam uma lesão nova ou aumentada que os preocupa, que pode ser sensível ou coçar, ou uma ferida que não cicatriza causada originalmente por algum trauma.
Exame físico
Um exame completo da pele deve ser realizado, incluindo a dermoscopia. Uma boa iluminação e, possivelmente, lentes portáteis devem ser usadas. O reconhecimento dos diferentes tipos de CCE é fundamental, pois a terapia e o acompanhamento variam.
carcinoma de células escamosas (CCE) in situ (doença de Bowen)
Os tumores in situ (doença de Bowen) apresentam-se como placas finas, da cor da pele ou eritematosas que frequentemente têm escamas ou crostas hemorrágicas.[Figure caption and citation for the preceding image starts]: Carcinoma de células escamosas in situ na ponte nasalDo acervo particular de Dr. Nwaneshiudu e Dr. Soltani [Citation ends].
Detectado com mais frequência na cabeça e no pescoço (84%) e nos membros superiores extensores (13%).[40] Podem ser friáveis e sangrar facilmente e estão localizados principalmente na pele exposta ao sol.[Figure caption and citation for the preceding image starts]: Carcinoma de células escamosas no dorso da mão com evidência de danos solares extensivosDo acervo particular de Dr. Nwaneshiudu e Dr. Soltani [Citation ends].
CCE invasivo
Os CCEs invasivos podem se manifestar como tumores exofíticos e, às vezes, ulcerados. Por exemplo, o carcinoma verrucoso se apresenta como nódulos verrucosos, exofíticos e vegetantes, ou placas na pele ou em mucosas. Apesar da baixa atividade mitótica e do crescimento lento, o carcinoma verrucoso pode infiltrar tecidos adjacentes em estágios avançados, mas não ocorre metástase.
O ceratoacantoma se apresenta como um nódulo em forma de cúpula de crescimento rápido com uma cratera central cheia de queratina, e ocasionalmente pode atuar agressivamente e invadir o tecido circundante.
CCE metastático
Na doença metastática, os linfonodos regionais são envolvidos em aproximadamente 85% dos casos, e cerca de 15% dos casos envolvem locais distantes, incluindo pulmões, fígado, cérebro, pele e ossos. Linfadenopatia, dor nos ossos e hepatomegalia podem ser observadas com doença metastática.
As úlceras de Marjolin se apresentam em uma área de pele previamente traumatizada, queimada, cronicamente inflamada ou com cicatrizes, ou como uma ferida que não cicatriza. Séries de casos sugerem que essas úlceras são frequentemente encontradas em estado avançado, com propensão a metástases linfonodais e à distância.[75]
Os pacientes com envolvimento perineural podem apresentar sinais neurológicos. Os tumores com envolvimento perineural, quando presentes no rosto, podem invadir os seios nasais por meio de um forame.
Biópsia
Para confirmar o diagnóstico, uma biópsia deve ser realizada.[74]
É possível realizar uma biópsia por raspagem, por punção, com incisão ou com excisão, dependendo do tamanho e do local do tumor. A análise histológica rotineira de amostras de pele usa hematoxilina e eosina. A aparência histológica depende do tipo de CCE, mas geralmente mostra atipia de ceratinócitos. A amostra da biópsia deve incluir a derme subjacente para confirmar ou descartar a invasão.
Ceratose actínica:
Exibe ceratinócitos atípicos que parecem encher a camada basal e os níveis mais baixos da epiderme, mas não se estendem até a espessura máxima.[Figure caption and citation for the preceding image starts]: Biópsia mostrando a histologia de uma ceratose actínica com atipia de ceratinócitos limitada à camada basalDo acervo particular de Dr. Nwaneshiudu e Dr. Soltani [Citation ends].

CCE in situ (doença de Bowen):
Exibe a atipia de espessura máxima que está confinada à epiderme, com uma membrana basal intacta. O envolvimento da espessura inteira da epiderme ocorre em seguida, e há uma camada granular ausente, bem como paraceratose.[Figure caption and citation for the preceding image starts]: Biópsia mostrando a histologia característica de um carcinoma de células escamosas (CCE) in situ com atipia de ceratinócitos de espessura máximaDo acervo particular de Dr. Nwaneshiudu e Dr. Soltani [Citation ends].

Tumores invasivos:
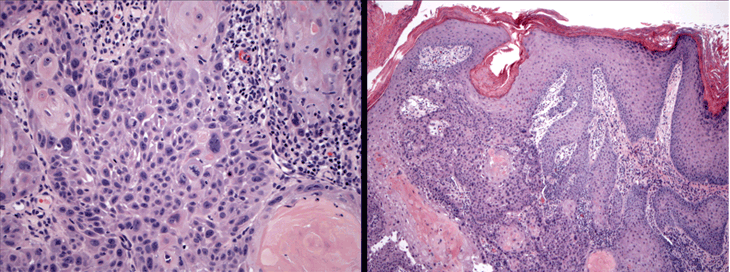
Estendem-se além da membrana basal, penetram na derme e podem invadir estruturas mais profundas. Os ceratinócitos atípicos têm núcleos hipercromáticos grandes e variáveis, e elementos mitóticos são observados. Existem graus variáveis de diferenciação, e CCEs indiferenciados e extremamente agressivos podem se manifestar como tumores de células fusiformes. A elastose solar é geralmente observada na derme superficial, refletindo a extensão da exposição crônica aos raios UV.[Figure caption and citation for the preceding image starts]: Histologia da biópsia mostrando carcinoma de células escamosas (CCE) invasivo com atipia de ceratinócitos envolvendo todas as camadas da epiderme e ilhas brotando na dermeDo acervo particular de Dr. Nwaneshiudu e Dr. Soltani [Citation ends].
[Figure caption and citation for the preceding image starts]: Biópsia mostrando a histologia característica de um carcinoma de células escamosas (CCE) invasivo com atipia de ceratinócitos envolvendo todas as camadas da epiderme e ilhas brotando na derme. A ampliação maior (esquerda) destaca a atipia celularDo acervo particular de Dr. Nwaneshiudu e Dr. Soltani [Citation ends].
Ceratoacantomas:
Aparecem como nódulos endofíticos com uma invaginação central, preenchidos com queratina. A atipia é mínima e as mitoses são raras. O infiltrado linfocítico está presente nas margens da lesão.
Úlcera de Marjolin:
Apresenta elementos histopatológicos semelhantes aos dos CCEs invasivos, mas pode ser mais agressiva.
Carcinoma verrucoso:
Apresenta-se com características de CCE bem diferenciado, com nódulos ou placas exofíticas, fungiformes e verrucosas na pele ou mucosa. A porção superior assemelha-se a uma verruga, consistindo em hiperceratose, paraceratose e acantose; a porção inferior cresce em um padrão de expansão, em vez de um padrão infiltrativo, e consiste em epitélio escamoso bem diferenciado.[76]
Outras investigações
Para o CCE de alto risco (ou seja, lesões maiores e mais invasivas com risco de invasão perineural ou linfadenopatia), uma tomografia computadorizada (TC), ressonância nuclear magnética (RNM) ou PET-TC com flúor-18-fluordesoxiglucose (FDG) pode ser solicitada para avaliar a extensão dos grandes tumores e/ou para descartar doença metastática.[74] Algumas evidências sugerem que a RNM é melhor para a detecção de disseminação perineural, e a TC é a modalidade mais precisa para detectar invasão óssea e metástase ganglionar.[77]
Em pacientes com risco de metástases, um hemograma completo com diferenciais e TFHs podem ser usados para auxiliar na detecção de metástases à distância.
O uso deste conteúdo está sujeito ao nosso aviso legal