Imagens e vídeos
IMAGENS

Miastenia gravis
Ptose da pálpebra superior esquerda em paciente com miastenia gravis
Foroozan R, Sambursky R. Ocular myasthenia gravis and inflammatory bowel disease: a case report and literature review. Br J Ophthalmol. 2003 Sep;87(9):1186-7.
Veja esta imagem em contexto nas seguintes seções:

Miastenia gravis
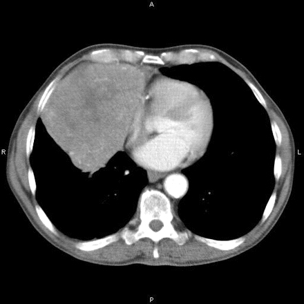
Tomografia computadorizada mostrando massa mediastinal anterior
Hamid UI, Jones JM. Mediastinal mass. BMJ Case Reports 2010 Oct 4;2010:bcr1120092471.
Veja esta imagem em contexto nas seguintes seções:
Vídeos
- Venopunção e flebotomia – Vídeo de demonstração
Como colher uma amostra de sangue venoso da fossa antecubital usando uma agulha a vácuo.
- Canulação venosa periférica – Vídeo de demonstração
Como inserir uma cânula venosa periférica no dorso da mão.
- Via aérea nasofaríngea - Vídeo de demonstração
Como selecionar a via aérea nasofaríngea do tamanho correto e inserir o dispositivo de via aérea corretamente.
- Via aérea orofaríngea - Vídeo de demonstração
Como dimensionar e inserir uma via aérea orofaríngea.
- Ventilação com ressuscitador manual ("bolsa-válvula-máscara") - Vídeo de demonstração
Como usar um aparato reanimador manual autoinflável para fornecer suporte ventilatório a adultos. Vídeo de demonstração da técnica em duas pessoas.
- Intubação traqueal - Vídeo de demonstração
Como inserir um tubo traqueal em um adulto usando um laringoscópio.
O uso deste conteúdo está sujeito ao nosso aviso legal