Imagens e vídeos
IMAGENS

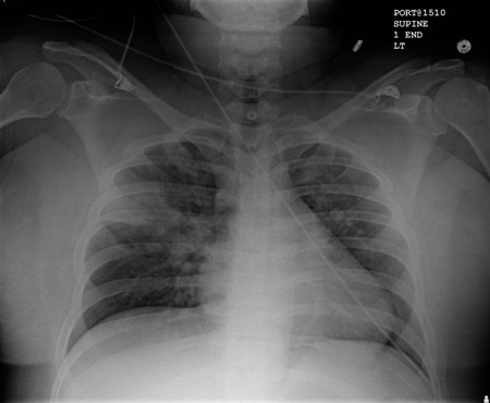
Pneumonia por aspiração
Opacificações precoces mal definidas no lobo superior direito, acima da fissura menor, compatíveis com alterações precoces de pneumonia por aspiração
Usada com permissão de Roy Hammond, MD
Veja esta imagem em contexto nas seguintes seções:

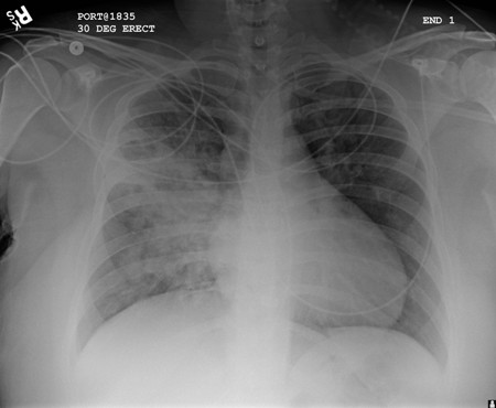
Pneumonia por aspiração
Opacificação aumentada da região peri-hilar direita e do segmento superior dos lobos inferior e superior direitos, compatível com agravamento da pneumonia por aspiração
Usada com permissão de Roy Hammond, MD
Veja esta imagem em contexto nas seguintes seções:
O uso deste conteúdo está sujeito ao nosso aviso legal