Caso clínico
Caso clínico
Um homem de 75 anos se apresenta com um AVC agudo, incluindo paralisia do lado direito e comprometimento do nível de consciência. Dois dias após a internação, ele apresenta tosse e dor torácica pleurítica do lado direito. Ele está taquicárdico, taquipneico e com febre de 38.8 °C (102 °F). Seu hálito exala um odor desagradável. O exame revela tosse fraca com ruídos das vias aéreas superiores, diminuição dos sons respiratórios, crepitações e macicez à percussão no campo pulmonar inferior direito.
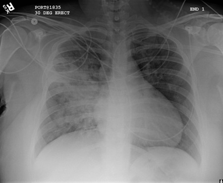
[Figure caption and citation for the preceding image starts]: Opacificações precoces mal definidas no lobo superior direito, acima da fissura menor, compatíveis com alterações precoces de pneumonia por aspiraçãoUsada com permissão de Roy Hammond, MD [Citation ends].
[Figure caption and citation for the preceding image starts]: Opacificação aumentada da região peri-hilar direita e do segmento superior dos lobos inferior e superior direitos, compatível com agravamento da pneumonia por aspiraçãoUsada com permissão de Roy Hammond, MD [Citation ends].
Outras apresentações
A pneumonia por aspiração é mais comum nos indivíduos idosos que têm comorbidades que possam levar ao comprometimento do nível de consciência. Essa população inclui pacientes com disfunção da deglutição, alteração na junção gastroesofágica ou anomalias anatômicas das vias aéreas superiores ou do trato digestivo. Além disso, estão em risco os pacientes que se submetem a procedimentos endoscópicos ou nas vias aéreas superiores. Qualquer situação em que haja comprometimento do nível de consciência e perda dos mecanismos de proteção das vias aéreas, como convulsões, coloca o paciente em risco de aspiração. Uma sonda nasogástrica ou gastrostomia endoscópica percutânea não oferecem proteção contra secreções orais colonizadas.[8]
O uso deste conteúdo está sujeito ao nosso aviso legal