Investigações
Primeiras investigações a serem solicitadas
radiografia torácica
Exame
Lactentes com dificuldade respiratória devem ser submetidos à radiografia torácica tanto na posição anteroposterior como na posição lateral. Pneumotórax ou pneumomediastino é diferenciado em visões laterais do tórax.
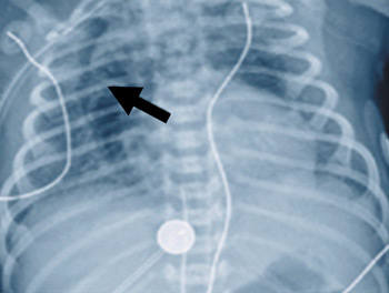
No pneumomediastino, um sinal de "asa de anjo" (levantamento dos lobos tímicos) na visão posteroanterior é um achado típico.[50]
Parede torácica assimétrica e movimentos torácicos assimétricos com expansibilidade diminuída sugerem pneumotórax.
A cardiomegalia com índice cardiotorácico elevado pode ser observada na presença de hipóxia intrauterina grave.[Figure caption and citation for the preceding image starts]: Radiografia torácica mostrando infiltrações irregulares em ambos os pulmões, sugerindo atelectasia em um paciente com síndrome da aspiração meconial (SAM)Do acervo pessoal do Dr. Vidyasagar e Dr. Bhat [Citation ends].
[Figure caption and citation for the preceding image starts]: Pneumomediastino com sinal de "asa de anjo" (seta)Do acervo pessoal do Dr. Vidyasagar e Dr. Bhat [Citation ends].
[Figure caption and citation for the preceding image starts]: Radiografia torácica mostrando ar na base do pulmão direito acima do diafragma, sugerindo pneumotórax em um paciente com síndrome da aspiração meconial (SAM)Do acervo pessoal do Dr. Vidyasagar e Dr. Bhat [Citation ends].
Resultado
hiperinsuflação pulmonar com infiltrados irregulares alternando com áreas de atelectasia; os achados radiológicos podem ser variáveis
Hemograma completo
Exame
Exame realizado para descartar infecções.
Resultado
contagem leucocitária baixa no caso de infecção
proteína C-reativa
Exame
Exame realizado para descartar infecções.
Resultado
pode estar elevada no caso de infecção
hemocultura
Exame
Exame realizado para descartar infecções.
Resultado
pode ser positiva para organismo infeccioso na presença de infecção
Investigações a serem consideradas
oximetria de pulso dupla
Exame
Os pacientes com desconforto respiratório grave devem ser avaliados com oximetria de pulso dupla. Saturações de oxigênio com uma diferença de ≥10% entre o membro superior e o membro inferior direitos sugerem um shunt direita-esquerda da artéria pulmonar para a aorta descendente através do canal arterial. Isso indica a presença de hipertensão pulmonar.[49][52]
Resultado
valores pré-ductais e pós-ductais anormais (≥10%)
gasometria arterial (pH, PaO₂, PaCO₂)
Exame
Preferencialmente amostras arteriais da artéria umbilical caso um cateter arterial umbilical esteja inserido. Caso contrário, uma amostra arterial radial pode ser obtida. Uma amostra capilar arterializada aquecida do calcanhar é aceitável para medir o oxigênio arterial.
Esse exame nos lactentes nascidos a termo pode ajudar a distinguir uma doença pulmonar de uma cardiopatia congênita. A administração de oxigênio a 100% causa o aumento da PaO₂ na presença de doença pulmonar, mas não na presença de cardiopatia congênita cianótica. Este teste não é realizado nos neonatos pré-termo: a administração de oxigênio deve ser cuidadosamente ajustada para minimizar o risco de retinopatia da prematuridade.
Resultado
pode mostrar hipoxemia, hipercapnia, acidose
ecocardiografia
Exame
Pode ser realizado para descartar cardiopatia congênita cianótica e para avaliar a resistência vascular pulmonar.
Resultado
pode ser normal; pode mostrar sinais de hipertensão pulmonar, incluindo regurgitação tricúspide, pressão arterial pulmonar elevada e shunt direita-esquerda através da permeabilidade do canal arterial e do forame oval patente
ultrassonografia craniana
Exame
Realizada em caso de suspeita de dano neurológico (hipotonia, convulsões).
Resultado
pode mostrar lesão cerebral hipoxêmica, hipodensidade, edema cerebral, hemorragia intracranial
eletroencefalograma
Exame
Realizada em caso de suspeita de dano neurológico (hipotonia, convulsões).
Resultado
pode revelar atividade convulsiva, amplitude reduzida (edema difuso ou lesão difusa)
urinálise
Exame
Pacientes com hipóxia grave podem apresentar oligúria ou anúria.
Resultado
pode indicar hematúria, proteinúria
O uso deste conteúdo está sujeito ao nosso aviso legal