Imagens e vídeos
IMAGENS

Laceração de Mallory-Weiss
Um clipe do tipo "through-the-scope" instalado no centro da lesão (sem infusão prévia de adrenalina, neste caso)
Do acervo de Juan Carlos Munoz, MD, University of Florida
Veja esta imagem em contexto nas seguintes seções:

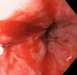
Laceração de Mallory-Weiss
Laceração de Mallory Weiss com sangramento observada em retroflexão
Do acervo pessoal de Douglas Adler; usado com permissão
Veja esta imagem em contexto nas seguintes seções:

Laceração de Mallory-Weiss
Três clipes tipo "through-the-scope" para o fechamento completo do defeito na mucosa
Do acervo de Juan Carlos Munoz, MD, University of Florida
Veja esta imagem em contexto nas seguintes seções:

Laceração de Mallory-Weiss
Adrenalina é injetada localmente ao redor do local da laceração de Mallory-Weiss
Do acervo de Juan Carlos Munoz, MD, University of Florida
Veja esta imagem em contexto nas seguintes seções:

Laceração de Mallory-Weiss
Laceração de Mallory-Weiss após injeção de adrenalina (sangramento interrompido, permitindo melhor visualização da lesão)
Do acervo de Juan Carlos Munoz, MD, University of Florida
Veja esta imagem em contexto nas seguintes seções:

Laceração de Mallory-Weiss
a laceração com sangramento ativo aparece como um defeito longitudinal vermelho com mucosa circundante normal
Do acervo de Juan Carlos Munoz, MD, University of Florida
Veja esta imagem em contexto nas seguintes seções:

Laceração de Mallory-Weiss
coágulo aderente sem sangramento
Do acervo de Juan Carlos Munoz, MD, University of Florida
Veja esta imagem em contexto nas seguintes seções:

Laceração de Mallory-Weiss
A laceração de Mallory Weiss após aplicação de clipe do tipo "through-the-scope" resulta em hemostasia
Do acervo pessoal de Douglas Adler; usado com permissão
Veja esta imagem em contexto nas seguintes seções:
Vídeos
- Laceração de Mallory-Weiss com sangramento
Do acervo pessoal de Douglas Adler; usado com permissão
- Laceração de Mallory-Weiss após cauterização com sonda bipolar
Do acervo pessoal de Douglas Adler; usado com permissão
O uso deste conteúdo está sujeito ao nosso aviso legal