Investigações
Primeiras investigações a serem solicitadas
ensaio de imunofluorescência indireta
Exame
Método preferido para a confirmação do diagnóstico devido à alta sensibilidade e especificidade.[53]
O diagnóstico definitivo só deve ser feito com uma sorologia positiva e características clínicas e/ou paraclínicas consistentes.
Há uma variação considerável nos valores de corte dos títulos usados.[2]
A endocardite foi diagnosticada com título de IgG de antígeno de fase 1 de apenas 1:200 em pacientes com doença grave da valva cardíaca; portanto, o contexto clínico deve ser cuidadosamente levado em consideração ao analisar os resultados.[75][81]
Resultado
infecção aguda: título de IgM contra o antígeno da fase 2 ≥1:50 e IgG contra o antígeno da fase 2 ≥1:200 ou soroconversão; infecção focalizada persistente: antígeno IgG da fase 1 ≥1:800 e antígeno IgM de fase 2 baixo ou ausente
reação em cadeia da polimerase
Exame
A reação em cadeia da polimerase pode ser usada para o diagnóstico de infecção aguda (de maneira ideal, as amostras devem ser colhidas durante as primeiras 2 semanas de doença); no entanto, nem sempre está disponível. A vantagem é que ela oferece um diagnóstico mais rápido, comparada à sorologia.[53]
A reação em cadeia da polimerase é altamente sensível em amostras de tecido, como valvas cardíacas, que têm um número mais alto de bactérias.[76][77]
A reação em cadeia da polimerase pode ser executada em sangue/soro e render diagnóstico antes da soroconversão. A liofilização do DNA aumenta ainda mais sua sensibilidade.[78]
Resultado
positiva para DNA de C burnetii
Hemograma completo
proteína C-reativa
Exame
Pode estar elevada, particularmente em casos de infecções focalizadas persistentes.
Resultado
elevado
TFHs
Exame
Na infecção focalizada persistente e na infecção aguda, a fosfatase alcalina e as transaminases séricas podem estar elevadas mais de duas vezes o intervalo de referência normal.[37] Os níveis de bilirrubina devem estar normais; no entanto, vários casos de hepatite ou icterícia intensas foram relatados.[2][72]
Resultado
elevado
tempo de tromboplastina parcial ativada (TTPa)
Exame
Frequentemente prolongado em relação à presença de um anticoagulante lúpico (atividade antiprotrombinase).
Altamente específico para infecção por C burnetii em associação com enzimas hepáticas elevadas.
Resultado
prolongado
anticorpos anticardiolipina (aCL) da IgG
Investigações a serem consideradas
contagem celular do líquido cefalorraquidiano e diferencial
Exame
Pode ser observada em pacientes com meningoencefalite.[74]
Resultado
contagem leucocitária elevada com predominância de linfócitos
proteína do líquido cefalorraquidiano
Exame
Os pacientes com meningoencefalite podem apresentar proteína elevada com glicose normal.[74]
Resultado
elevado
glicose do líquido cefalorraquidiano
Exame
Os pacientes com meningoencefalite podem apresentar proteína elevada com glicose normal ou baixa.[74]
Resultado
normal
radiografia torácica
Exame
Esta pode ser exigida em infecção focalizada persistente e aguda, caso haja suspeita de complicações pulmonares.
Os achados podem variar de opacidades normais a múltiplas inespecíficas (sem um padrão ou distribuição aparente) em ambos os pulmões, mais consistentes com uma pneumonia atípica. As anormalidades mais comuns na radiografia torácica são as opacidades lobares ou segmentares. A principal característica da pneumonia por febre Q é um achado de várias opacidades arredondadas, mas isso é incomum.[37]
Podem ser observados derrame pleural, atelectasia e adenopatia hilar, mas são raros.
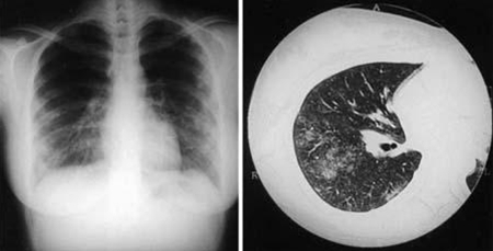
No contexto da infecção focalizada persistente, a radiografia torácica pode identificar duas infecções focalizadas persistentes diferentes: fibrose intersticial e pseudotumor pulmonar.[Figure caption and citation for the preceding image starts]: Pneumonia por Coxiella burnetii. Radiografia torácica e tomografia computadorizada (TC) de uma mulher de 21 anos de idade com pneumonia por Coxiella burnetii; a radiografia torácica exibe múltiplas áreas de condensação suave bilaterais nos campos pulmonares médios e inferiores; a tomografia computadorizada (TC) exibe nódulos centrolobulares pouco definidos e consolidação do espaço aéreoOkimoto N, et al. Respirology. 2004;9:278-282; used with permission of John Wiley & Sons Ltd [Citation ends].
Resultado
normal ou anormal
ecocardiografia transtorácica (ETT)
Exame
A ETT é rotineiramente recomendada durante a infecção aguda, para excluir lesões cardíacas subjacentes que podem ser silenciosas e que venham a exigir profilaxia com antibióticos. Em pacientes com doença aguda e níveis altíssimos de anticorpos anticardiolipina (aCL) da IgG, geralmente se encontra uma grande vegetação transitória (endocardite aguda).[59] Em pacientes com endocardite crônica, as vegetações são pequenas ou ausentes.[82] Lesões nodulares e calcificações também são frequentes.
Resultado
normal ou anormal; vegetações valvulares podem ser observadas em pacientes com doença aguda e níveis altíssimos de anticorpos aCL da IgG
ecocardiografia transesofágica (ETE)
Exame
Recomenda-se ETE para identificar lesões cardíacas em pacientes com idade >40 anos que tenham infecção aguda com ETT negativa e anticorpos anticardiolipina (aCL) da IgG ≥75 GPLU.[3]
Resultado
normal ou anormal; vegetações valvulares podem ser observadas em pacientes com doença aguda e níveis altíssimos de anticorpos aCL da IgG
ultrassonografia do fígado
Exame
Usada na doença aguda se houver suspeita de comprometimento do fígado.
Os achados podem sugerir hepatite granulomatosa.
A hepatomegalia crônica está frequentemente associada à endocardite.
Resultado
normal ou anormal
TC (tomografia computadorizada) ou ultrassonografia abdominal
Exame
Recomendadas em pacientes >65 anos com febre Q aguda que fumam atualmente ou que fumaram no passado, ou que têm história familiar de aneurisma. A febre Q aguda em um paciente com aneurisma aórtico exige manejo específico.[3]
Resultado
normal ou anormal
tomografia computadorizada (TC) do tórax
Exame
Tipicamente, não é solicitada como rotina, mas pode ser usada para avaliar complicações pulmonares na doença aguda.[Figure caption and citation for the preceding image starts]: Pneumonia por Coxiella burnetii. Radiografia torácica e tomografia computadorizada (TC) de uma mulher de 21 anos de idade com pneumonia por Coxiella burnetii; a radiografia torácica exibe múltiplas áreas de condensação suave bilaterais nos campos pulmonares médios e inferiores; a tomografia computadorizada (TC) exibe nódulos centrolobulares pouco definidos e consolidação do espaço aéreoOkimoto N, et al. Respirology. 2004;9:278-282; used with permission of John Wiley & Sons Ltd [Citation ends].
Resultado
normal ou anormal
tomografia computadorizada (TC) cerebral
Exame
Tipicamente, não é solicitada como rotina, mas pode ser usada para avaliar complicações neurológicas na febre Q aguda ou na endocardite.
Resultado
normal ou anormal
tomografia por emissão de pósitrons (PET)/tomografia computadorizada (TC) com 18-fluordesoxiglucose (FDG)
Exame
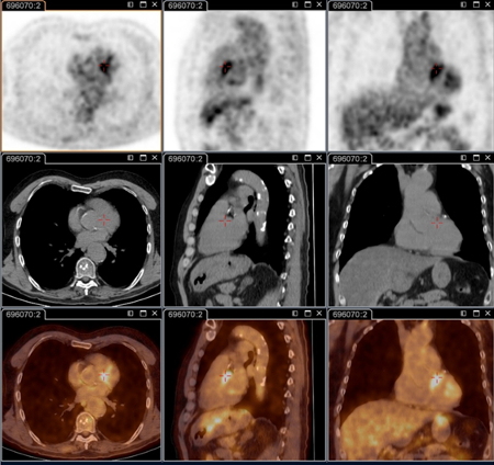
Essencial para identificar infecções focalizadas persistentes.[80]
É capaz de decifrar endocardite, infecção vascular, linfadenite e infecção osteoarticular; essas doenças não podem ser identificadas sem essa técnica.
Agora faz parte do check-up anatômico padrão em pacientes com sintomas persistentes e/ou sorologia elevada persistente e/ou reação em cadeia da polimerase positiva no sangue/soro, ou qualquer amostra com quadro clínico não consistente com infecção primária.[3]
É especificamente recomendada em pacientes: com febre Q aguda com IgG de fase 1 ≥1:800 persistente e/ou sinal de evolução desfavorável; com febre Q aguda e história de enxerto vascular ou aneurisma vascular; ou com sorologia inexplicada (IgG na fase 1 ≥1:800) ou suspeita clínica de infecção persistente.
Isso também é útil para identificar infecção em pacientes com prótese vascular e/ou aneurisma, e para identificar candidatos a cirurgia de ressecção dos tecidos vasculares infectados.[Figure caption and citation for the preceding image starts]: Endocardite por febre Q diagnosticada na PET: PET/TC com 18-fluordesoxiglucose. Neste paciente assintomático com história de valva cardíaca e sorologia elevada, a PET permitiu diagnosticar endocardite aórtica na valva nativa com aneurismas micóticos da aorta torácica e lombarInstitut Hospitalo-Universitaire Méditerranée Infection (obtido consentimento do paciente) [Citation ends].
[Figure caption and citation for the preceding image starts]: Aneurisma micótico na aorta torácica da febre Q diagnosticado na PET: PET/TC com 18-fluordesoxiglucose. Neste paciente assintomático com história de valva cardíaca e sorologia elevada, a PET permitiu diagnosticar endocardite aórtica na valva nativa com aneurismas micóticos da aorta torácica e lombarInstitut Hospitalo-Universitaire Méditerranée Infection (obtido consentimento do paciente) [Citation ends].
[Figure caption and citation for the preceding image starts]: Aneurisma micótico na aorta lombar da febre Q diagnosticado na PET: PET/TC com 18-fluordesoxiglucose. Neste paciente assintomático com história de valva cardíaca e sorologia elevada, a PET permitiu diagnosticar endocardite aórtica na valva nativa com aneurismas micóticos da aorta torácica e lombarInstitut Hospitalo-Universitaire Méditerranée Infection (obtido consentimento do paciente) [Citation ends].
Resultado
positivo na infecção focalizada persistente (por exemplo, valva cardíaca, foco vascular da linfadenite, linfonodos, foco osteoarticular)
biópsia de linfonodos
Exame
Linfadenite crônica (conforme diagnosticado por PET/TC com 18F-FDG) deve passar rotineiramente por biópsia, levando-se em consideração o risco de linfoma.[66]
Resultado
positiva para linfadenite reativa, linfadenite granulomatosa ou linfoma de células B não Hodgkin
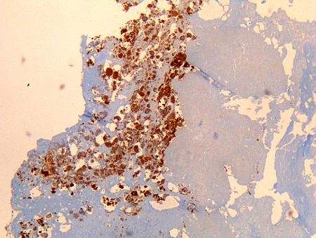
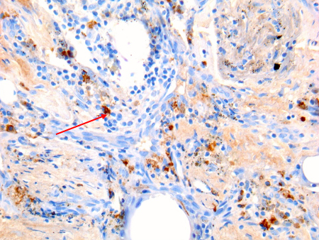
imuno-histoquímica
Exame
Considerada padrão ouro para Coxiella burnetii, mas realizada somente em laboratórios especializados.
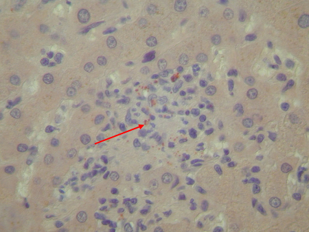
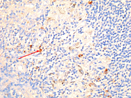
A imuno-histoquímica tem a vantagem de conseguir identificar a infecção bacteriana em diferentes tipos de célula, mas não é tão sensível quanto a hibridização in situ fluorescente (FISH).[Figure caption and citation for the preceding image starts]: Osteíte por Coxiella burnetii: imuno-histoquímica: a coloração marrom identifica bactérias em monócitos/macrófagos.Hubert Lepidi, Institut Hospitalo-Universitaire Méditerranée Infection [Citation ends].
[Figure caption and citation for the preceding image starts]: Fibrose pulmonar por Coxiella burnetii: imuno-histoquímica; a coloração marrom identifica bactérias em monócitos/macrófagos.Hubert Lepidi, Institut Hospitalo-Universitaire Méditerranée Infection [Citation ends].
[Figure caption and citation for the preceding image starts]: Endocardite por Coxiella burnetii: imuno-histoquímica. Observe o baixo nível de inflamação. A coloração marrom identifica bactérias em monócitos/macrófagos dentro. Geralmente a vegetação está ausenteHubert Lepidi, Institut Hospitalo-Universitaire Méditerranée Infection [Citation ends].
[Figure caption and citation for the preceding image starts]: Linfadenite crônica por Coxiella burnetii: imuno-histoquímica. Observe a célula infectada isolada (monócitos/macrófagos) no linfonodo. A coloração marrom identifica bactérias em monócitos/macrófagosHubert Lepidi, Institut Hospitalo-Universitaire Méditerranée Infection [Citation ends].
[Figure caption and citation for the preceding image starts]: Hepatite crônica por Coxiella burnetii de um paciente com endocardite: imuno-histoquímica. Observe a ausência de granuloma em forma de "donut" observada na febre Q aguda. A coloração marrom identifica bactérias em monócitos/macrófagosHubert Lepidi, Institut Hospitalo-Universitaire Méditerranée Infection [Citation ends].
Resultado
positiva para bactéria C burnetii
hibridização in situ fluorescente (FISH)
Exame
Considerada padrão ouro para Coxiella burnetii, mas realizada somente em laboratórios especializados.
FISH é mais sensível que imuno-histoquímica na identificação de infecção bacteriana em diferentes tipos de célula.[Figure caption and citation for the preceding image starts]: Pseudotumor pulmonar por Coxiella burnetii: hibridização in situ fluorescente (FISH). Vermelho: imunofluorescência (IF). Verde: FISH com sonda rRNA 16S específica. Amarelo: colocalização de IF e FISH confirma a presença de bactérias no citoplasma de 2 células em um pseudotumor pulmonarGilles Audoly, Institut Hospitalo-Universitaire Méditerranée Infection [Citation ends].
Resultado
positiva para bactéria C burnetii
O uso deste conteúdo está sujeito ao nosso aviso legal