Imagens e vídeos
IMAGENS

Infecção por Coxiella burnetii
Pseudotumor pulmonar por Coxiella burnetii: hibridização in situ fluorescente (FISH). Vermelho: imunofluorescência (IF). Verde: FISH com sonda rRNA 16S específica. Amarelo: colocalização de IF e FISH confirma a presença de bactérias no citoplasma de 2 células em um pseudotumor pulmonar
Gilles Audoly, Institut Hospitalo-Universitaire Méditerranée Infection
Veja esta imagem em contexto nas seguintes seções:

Infecção por Coxiella burnetii
Coxiella burnetii no vacúolo. Um corte seco de uma célula Vero expondo o conteúdo de um vacúolo, onde cresce Coxiella burnetii
National Institute of Allergy and Infectious Diseases (NIAID); National Institutes of Health (NIH)
Veja esta imagem em contexto nas seguintes seções:

Infecção por Coxiella burnetii
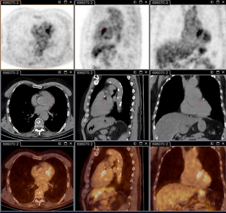
Aneurisma micótico na aorta torácica da febre Q diagnosticado na PET: PET/TC com 18-fluordesoxiglucose. Neste paciente assintomático com história de valva cardíaca e sorologia elevada, a PET permitiu diagnosticar endocardite aórtica na valva nativa com aneurismas micóticos da aorta torácica e lombar
Institut Hospitalo-Universitaire Méditerranée Infection (obtido consentimento do paciente)
Veja esta imagem em contexto nas seguintes seções:

Infecção por Coxiella burnetii
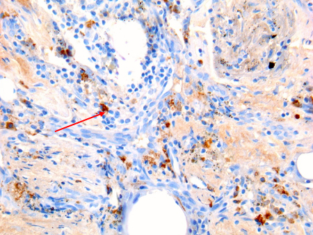
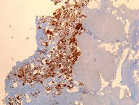
Osteíte por Coxiella burnetii: imuno-histoquímica: a coloração marrom identifica bactérias em monócitos/macrófagos.
Hubert Lepidi, Institut Hospitalo-Universitaire Méditerranée Infection
Veja esta imagem em contexto nas seguintes seções:

Infecção por Coxiella burnetii
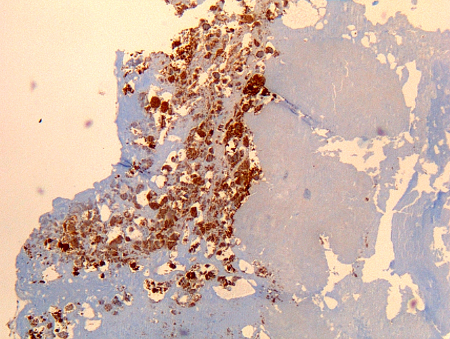
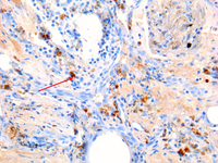
Fibrose pulmonar por Coxiella burnetii: imuno-histoquímica; a coloração marrom identifica bactérias em monócitos/macrófagos.
Hubert Lepidi, Institut Hospitalo-Universitaire Méditerranée Infection
Veja esta imagem em contexto nas seguintes seções:

Infecção por Coxiella burnetii
História natural de Coxiella burnetii e resultados sorológicos/reação em cadeia da polimerase. Ac+: positiva para anticorpos contra C burnetii, Ac++: fortemente negativa para anticorpos contra C burnetii, Ac-: negativa para anticorpos contra C burnetii, PCR+: positiva para reação em cadeia da polimerase para C burnetii, PCR++: reação em cadeia da polimerase fortemente positiva para C burnetii, PCR-: reação em cadeia da polimerase negativa para C burnetii
Eldin C, et al. Clin Microbiol Rev 2017; usado com permissão
Veja esta imagem em contexto nas seguintes seções:

Infecção por Coxiella burnetii
Endocardite por febre Q diagnosticada na PET: PET/TC com 18-fluordesoxiglucose. Neste paciente assintomático com história de valva cardíaca e sorologia elevada, a PET permitiu diagnosticar endocardite aórtica na valva nativa com aneurismas micóticos da aorta torácica e lombar
Institut Hospitalo-Universitaire Méditerranée Infection (obtido consentimento do paciente)
Veja esta imagem em contexto nas seguintes seções:

Infecção por Coxiella burnetii
Hepatite crônica por Coxiella burnetii de um paciente com endocardite: imuno-histoquímica. Observe a ausência de granuloma em forma de "donut" observada na febre Q aguda. A coloração marrom identifica bactérias em monócitos/macrófagos
Hubert Lepidi, Institut Hospitalo-Universitaire Méditerranée Infection
Veja esta imagem em contexto nas seguintes seções:

Infecção por Coxiella burnetii
Aneurisma micótico na aorta lombar da febre Q diagnosticado na PET: PET/TC com 18-fluordesoxiglucose. Neste paciente assintomático com história de valva cardíaca e sorologia elevada, a PET permitiu diagnosticar endocardite aórtica na valva nativa com aneurismas micóticos da aorta torácica e lombar
Institut Hospitalo-Universitaire Méditerranée Infection (obtido consentimento do paciente)
Veja esta imagem em contexto nas seguintes seções:

Infecção por Coxiella burnetii
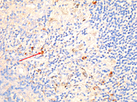
Endocardite por Coxiella burnetii: imuno-histoquímica. Observe o baixo nível de inflamação. A coloração marrom identifica bactérias em monócitos/macrófagos dentro. Geralmente a vegetação está ausente
Hubert Lepidi, Institut Hospitalo-Universitaire Méditerranée Infection
Veja esta imagem em contexto nas seguintes seções:

Infecção por Coxiella burnetii
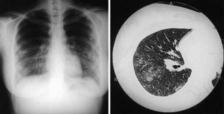
Pneumonia por Coxiella burnetii. Radiografia torácica e tomografia computadorizada (TC) de uma mulher de 21 anos de idade com pneumonia por Coxiella burnetii; a radiografia torácica exibe múltiplas áreas de condensação suave bilaterais nos campos pulmonares médios e inferiores; a tomografia computadorizada (TC) exibe nódulos centrolobulares pouco definidos e consolidação do espaço aéreo
Okimoto N, et al. Respirology. 2004;9:278-282; used with permission of John Wiley & Sons Ltd
Veja esta imagem em contexto nas seguintes seções:

Infecção por Coxiella burnetii
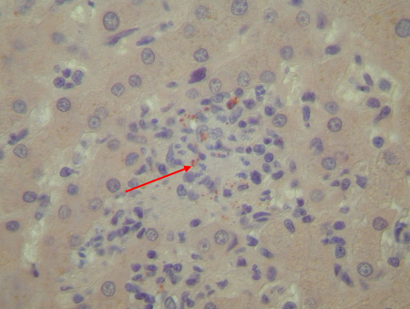
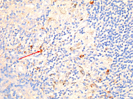
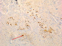
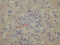
Linfadenite crônica por Coxiella burnetii: imuno-histoquímica. Observe a célula infectada isolada (monócitos/macrófagos) no linfonodo. A coloração marrom identifica bactérias em monócitos/macrófagos
Hubert Lepidi, Institut Hospitalo-Universitaire Méditerranée Infection
Veja esta imagem em contexto nas seguintes seções:

Infecção por Coxiella burnetii
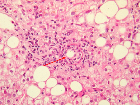
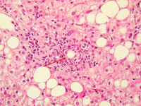
Granuloma em forma de "donut" no fígado, característico da hepatite por Coxiella burnetii. Observe a morfologia específica do granuloma em forma de "donut". Não se observa a presença de bactérias neste granuloma
Hubert Lepidi, Institut Hospitalo-Universitaire Méditerranée Infection
Veja esta imagem em contexto nas seguintes seções:

Infecção por Coxiella burnetii
Algoritmo para o diagnóstico e manejo da infecção por C burnetii. ETT: ecocardiografia transtorácica; anticorpos IgG anticardiolipina (aCL); PET/TC com 18-FDG: PET com 18-fluordesoxiglucose combinada com TC
Eldin C, et al. Clin Microbiol Rev 2017; usado com permissão
Veja esta imagem em contexto nas seguintes seções:
O uso deste conteúdo está sujeito ao nosso aviso legal