Imagens e vídeos
IMAGENS

Hipertensão intracraniana idiopática
Estágio 3 da escala de Frisén
Do acervo pessoal do Dr. M. Wall; usado com permissão
Veja esta imagem em contexto nas seguintes seções:

Hipertensão intracraniana idiopática
Estágio 2 da escala de Frisén
Do acervo pessoal do Dr. M. Wall; usado com permissão
Veja esta imagem em contexto nas seguintes seções:

Hipertensão intracraniana idiopática
Estágio 4 da escala de Frisén
Do acervo pessoal do Dr. M. Wall; usado com permissão
Veja esta imagem em contexto nas seguintes seções:

Hipertensão intracraniana idiopática
Estágio 5 da escala de Frisén
Do acervo pessoal do Dr. M. Wall; usado com permissão
Veja esta imagem em contexto nas seguintes seções:

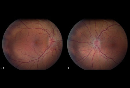
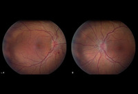
Hipertensão intracraniana idiopática
Edema bilateral do disco
Do acervo pessoal do Dr. M. Wall; usado com permissão
Veja esta imagem em contexto nas seguintes seções:

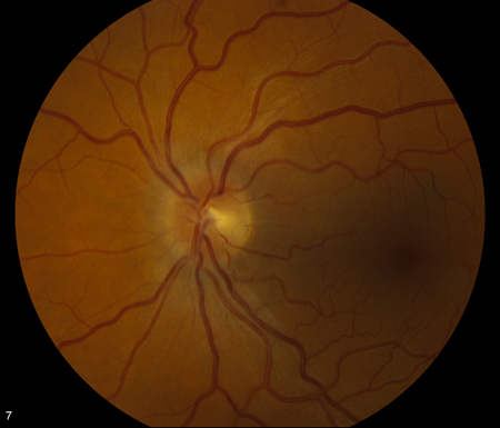
Hipertensão intracraniana idiopática
Atrofia óptica bilateral
Do acervo pessoal do Dr. M. Wall; usado com permissão
Veja esta imagem em contexto nas seguintes seções:

Hipertensão intracraniana idiopática
Estágio 1 da escala de Frisén
Do acervo pessoal do Dr. M. Wall; usado com permissão
Veja esta imagem em contexto nas seguintes seções:

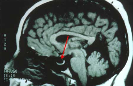
Hipertensão intracraniana idiopática
Ressonância nuclear magnética (RNM) da sela vazia em incidência sagital
Do acervo pessoal do Dr. M. Wall; usado com permissão
Veja esta imagem em contexto nas seguintes seções:

Hipertensão intracraniana idiopática
Inchaço estabelecido bilateral do disco
Do acervo pessoal do Dr. M. Wall; usado com permissão
Veja esta imagem em contexto nas seguintes seções:
O uso deste conteúdo está sujeito ao nosso aviso legal