Imagens e vídeos
IMAGENS

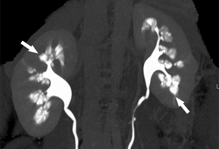
Rim em esponja medular
Urografia por tomografia computadorizada (TC) mostrando realce papilar com cálculos nos túbulos coletores dilatados (setas)
De Maw AM, et al. Am J Kidney Dis. julho de 2007;50(1):146-50, usado com permissão
Veja esta imagem em contexto nas seguintes seções:

Rim em esponja medular
Imagens endoscópicas da papila renal de formadores de cálculo em rim em esponja medular (REM). As papilas afetadas são caracterizadas por um arredondamento dos contornos e alargamento, o que cria uma aparência ondulada (a e b). Como parte do arredondamento geral do contorno, as pontas das papilas são atenuadas. Essas papilas também mostram sítios com placas brancas (painel a, ponta da seta) e amarelas (a, setas), e abertura dilatada dos dutos de Bellini com (c, setas duplas) e sem depósitos (a, asterisco). Nota-se um cálculo calicial ocasional (c). As papilas não afetadas apresentam uma morfologia normal, conforme observado no composto papilar em (d) e na papila única em (e) (caso 5); observe diversos sítios com placas brancas (pontas de seta) e um cálculo aderido (ponta de seta dupla). A morfologia única das papilas afetadas de pacientes com REM pode ser característica de todas as papilas (padrão difuso) de um rim ou apenas de algumas papilas (padrão segmentar)
De Evan AP, et al. Anat Rec. maio de 2015;298(5):865-77, usado com permissão
Veja esta imagem em contexto nas seguintes seções:
O uso deste conteúdo está sujeito ao nosso aviso legal