კვლევები
1-ად შესაკვეთი გამოკვლევები
MRI - თავის ტვინი
ტესტი
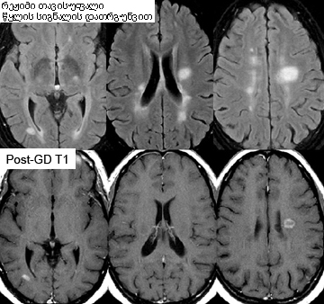
უნდა ჩატარდეს მაღალტექნოლოგიურ (უმჯობესია 3T,თუმცა 1,5T მისაღებია) მაგნიტზე, ინტრავენური გადოლინიუმის კონტრასტით.[Figure caption and citation for the preceding image starts]: სითხეში შესუსტებული ინვერსიული აღდგენის (FLAIR) გამოყენებით მიღებული ღერძული მაგნიტური რეზონანსული გამოსახულება, რომელიც აჩვენებს ტიპურ დაზიანებებს გაფანტული სკლეროზის დროს, პერივენტრიკულურ რეგიონებში. შედარებად ჭრილებში, რომლებშიც გამოყენებულია საკონრასტო ნივთიერება გადოლინიუმი, ასახულია ჰემატოენცეფალური ბარიერის დარღვევა/აქტიური ანთება 2 დაზიანებულ კერაში. FLAIR მეთოდით აღმოჩენილი დაზიანებები, რომლებიც საკონტრასტო ნივთიერებაზე არ რეაგირებს, მაღალი ალბათობით, უფრო ძველი დაზიანებებია. ასეთ დაზიანებებში აღინიშნება გლიოზისა და დაბალი ხარისხის ქრონიკული ანთებისა და დეგენერაციის კომბინაცია.From the collection of Dr Lael A. Stone [Citation ends].
რეკომენდებულია საგიტალური სამგანზომილებიანი (3D) სითხით შესუსტებული ინვერსიული აღდგენა (FLAIR) მრავალფუნქციური რეკონსტრუქციის ფუნქციით. ღერძული T2 შეწონილი FLAIR გამოიყენეთ, თუ ეს მოდული არ არის ხელმისაწვდომი.[3]
გაფანტული სკლეროზით დაავადებულ თითქმის ყველა პაციენტს აქვს თავის ტვინის ტომოგრაფიით უვლინდება პათოლოგია, თუმცა ინტერპრეტაცია შეიძლება რთული იყოს. შედეგებს განიხილავენ სპეციალისტები, რომლებსაც იციან გაფანტული სკლეროზის MRI მახასიათებლები.
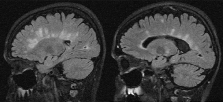
საგიტალური სითხით-გაძლიერებული ინვერსიული აღდგენის (FLAIR) სურათები დაგვეხმარება თეთრი ნივთიერების არასპეციფიკური ცვლილებების შესადარებლად გაფანტული სკლეროზის დაზიანებებთან. არასპეციფიკური ცვლილებები გვხვდება ჰიპერტენზიის, დიაბეტის, >50 ასაკის, მოწევის, შაკიკის, მაღალი ქოლესტერინის და ტოქსინებზე ექსპოზიციის დროს.[Figure caption and citation for the preceding image starts]: საგიტალურ ჭრილში FLAIR სურათები გაფანტული სკლეროზისთვის დამახასიათებელი დაზიანებებით, რომლებიც მოიცავენ კორძიან სხეულს გამოკვეთილი დაზიანებების სახით ან წარმოადგენენ თითისმაგვარ შვერილებს კორძიანი სხეულის პერპენდიკულარულად. ასევე მიაქციეთ ყურადღება დილატირებულ პარკუჭებს და უფრო ღრმად განვითარებული გაფანტული სკლეროზის დიფუზურ ატროფიასFrom the collection of Dr Lael A. Stone [Citation ends].
მაგნიტურ რეზონანსული ტომოგრაფია ასევე გამოიყენება დაავადების აქტივობის შესაფასებლად და მკურნალობის ეფექტურობის მონიტორინგისთვის.[3]
შედეგი
ჰიპერინტენსიური ჩანართები პერივენტრიკულურ თეთრ ნივთიერებაში, ყველაზე მგრძნობიარე მეთოდია საგიტალური FLAIR.
MRI - ზურგის ტვინი
ტესტი
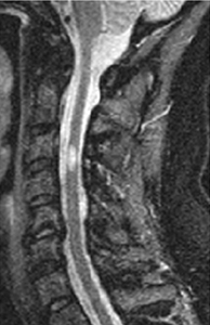
ზურგის ტვინის მაგნიტურ რეზონანსული ტომოგრაფია რეკომენდებულია ყველა პაციენტისთვის, გაფანტული სკლეროზით დაავადებულ ბევრ პაციენტს აქვს ზურგის ტვინის კისრის წილის დაზიანებები. ამ ნიშნის სპეციფიკურობა ძალიან მაღალია.[Figure caption and citation for the preceding image starts]: ხერხემლის კისრის ნაწილის მაგნიტურ-რეზონანსული ტომოგრაფია მაგნიტური ველის მაღალი სიმძლავრით(1≥ ტესლა) ასახავს დაზიანებს, რომელიც შესაძლოა იწვევდეს ნაწლავებისა და შარდის ბუშტის დისფუნქციის, ასევე სპასტიური პარაპარეზის მიელოპათიურ სიმპტომებს.From the collection of Dr Lael A. Stone [Citation ends].
საჭიროა კისრის და გულმკერდის/წელის სეგმენტების ვიზუალიზაცია, მოიცავს კონუსსაც. შეიძლება გამოიყენოთ 1.5 T ან 3 T სკანერი. მიზანშეწონილია გამოიყენოთ საგიტალური გადოლინიუმით გაძლიერების მოდული.[3] მაგნიტურ რეზონანსული ტომოგრაფია ასევე გამოიყენება დაავადების აქტივობის შესაფასებლად და მკურნალობის ეფექტურობის მონიტორინგისთვის.[3]
შედეგი
მადემიელინიზებელი დაზიანებები ზურგის ტვინში, განსაკუთრებით კისრის წილში; ალტერნატიული დიაგნოსტიკა, მაგ. კისრის სპონდილოზი
FBC
ტესტი
ნაჩვენებია ალტერნატიული დიაგნოზების ან თანმხლები ავადმყოფობების გამოსარიცხად.
შედეგი
უნდა იყოს ნორმაში.
სისხლის სრული ბიოქიმიური ანალიზი
ტესტი
ნაჩვენებია ალტერნატიული დიაგნოზების ან თანმხლები ავადმყოფობების გამოსარიცხად.
შედეგი
უნდა იყოს ნორმაში.
ფარისებრი ჯირკვლის მასტიმულირებელი ჰორმონი
ტესტი
ნაჩვენებია ალტერნატიული დიაგნოზების ან თანმხლები ავადმყოფობების გამოსარიცხად.
შედეგი
უნდა იყოს ნორმაში.
ვიტამინი B12
ტესტი
ნაჩვენებია ალტერნატიული დიაგნოზების ან თანმხლები ავადმყოფობების გამოსარიცხად.
შედეგი
უნდა იყოს ნორმაში.
გასათვალისწინებელი კვლევები
ანტისხეულების ტესტირება ოპტიკური ნეირომიელიტის სპექტრის დაავადებების (NMOSD) დროს
ტესტი
ოპტიკური ნეირომიელიტის სპექტრის დაავადებების დამახასიათებელი ანტისხეულების ტესტირება (ანტიაკვაპორინ 4 [AQP4] და ანტი მიელინის ოლიგოდენდროციტული გლიკოპროტეინის [MOG] ანტისხეულები) რეკომენდებულია პაციენტებში, რომელთაც ზურგის ტვინის დიდი სეგმენტის დემიელინიზაცია აღენიშნებათ, ოპტიკური ნევრიტით ან მის გარეშე; ასევე პაციენტებში, რომელთაც მორეციდივე ოპტიკური ნევრიტი აქვთ თავის ტვინის ნორმალური სურათის ფონზე.[7][8]
უჯრედზე დაფუძნებული ანალიზები უფრო სპეციფიკურია ვიდრე ფერმენტული იმუნოსორბენტული ანალიზი (ELISA) და უნდა გამოიყენოთ, თუ შესაძლებელია.
შედეგი
დადებითია ოპტიკური ნეირომიელიტის სპექტრის დაავადებების შემთხვევაში
თავზურგტვინის სითხის შეფასება
ტესტი
ლუმბალური პუნქციის ინვაზიურობის გამო, პირველ რიგში უნდა ვცადოთ სხვა, არაინვაზიური ტესტები.[4]
აღსანიშნავია, რომ თავზურგტვინის სითხე ნორმაშია გაფანტული სკლეროზის შემთხვევათა 10-20%-ში.
როგორ ჩატარდეს დიაგნოსტიკური ლუმბალური პუნქცია მოზრდილებში. მოიცავს პაციენტის პოზიციის განხილვას, ნემსის არჩევას და გახსნისა და დახურვის წნევის გაზომვას.
შედეგი
გლუკოზა და ცილა ნორმაში უნდა იყოს. უჯრედების რაოდენობა შეიძლება ოდნავ მომატებულ იყოს, მაგრამ არ იქნება 50/მიკროლიტრზე მეტი; ოლიგოკლონური მარკერები და მომატებული IgG (და მისი სინთეზირების სიხშირე) თავზურგტვინის სითხეში გვხვდება გაფანტული სკლეროზის შემთხვევების 80%-ში.
პროვოცირებული პოტენციალები
ტესტი
ტარდება პაციენტებში, ვისთვისაც მაგნიტურ რეზონანსული ტომოგრაფია უკუნაჩვენებია.
მხედველობითი სტიმულით პროვოცირებული პოტენციალები ყველაზე ხშირადაა დარღვეული, სომატოსენსორული და სმენითი კი- ნაკლებად.
სომატოსენსორული სტიმულაცია პაციენტისთვის შეიძლება მტკივნეული იყოს, ასევე ტექნიკურად რთულია.
აღნიშნული კვლევები გვეხმარება დიაგნოზის დადგენაში, თუმცა არ გვეხმარება მკურნალობაზე პასუხის მონიტორინგში.
შედეგი
გამტარებლობის გახანგრძლივება, განსაკუთრებით ასიმეტრიული გახანგრძლივება მხედველობითი სტიმულით პროვოცირებულ პოტენციალებში
ამ მასალის გამოყენება ექვემდებარება ჩვენს განცხადებას
