Imágenes y vídeos
Imágenes

Traumatismo agudo de la columna cervical
Columna cervical normal: proyección lateral, AP y de apófisis odontoides con la boca abierta
De la colección personal de Michael G. Fehlings
Ver esta imagen en el contexto de la/s siguiente/s sección/es:

Traumatismo agudo de la columna cervical
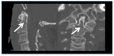
Reconstrucción de TC que muestra una fractura sin desplazamiento de la apófisis odontoides
De la colección personal de Michael G. Fehlings
Ver esta imagen en el contexto de la/s siguiente/s sección/es:

Traumatismo agudo de la columna cervical
Tipos de fracturas frecuentes con traumatismo grave de la columna cervical. Fila de arriba: fractura por estallido cervical en el nivel C5. Izquierda: imagen de TC axial que muestra una fractura del cuerpo vertebral C5; derecha: IRM ponderada en T2 con plano medio sagital que muestra retropulsión del cuerpo de C5 con compresión de la médula espinal, cambios de señal ponderados en T2 en la médula espinal, y cambios de señal ponderados en T2 en el complejo ligamentario posterior, que indican ruptura de estos ligamentos. Fila de abajo: fractura-luxación en el nivel C6-C7. De izquierda a derecha: radiografía lateral, TC axial en el nivel de carilla articular C6/C7 e IRM con plano medio sagital ponderada en T2 que muestra compresión de la médula espinal y cambio de señal ponderado en T2 en la médula espinal
De la colección personal de Michael G. Fehlings
Ver esta imagen en el contexto de la/s siguiente/s sección/es:
El uso de este contenido está sujeto a nuestra cláusula de exención de responsabilidad