Imágenes y vídeos
Imágenes

Evaluación del coma
Taquicardia ventricular monomórfica
De la colección de Amar Krishnaswamy; utilizada con autorización
Ver esta imagen en el contexto de la/s siguiente/s sección/es:

Evaluación del coma
Signo de Battle: equimosis superficial sobre el proceso mastoideo
van Dijk GW. Practical Neurology. 2011;11(1):50-55; utilizado con permiso
Ver esta imagen en el contexto de la/s siguiente/s sección/es:

Evaluación del coma
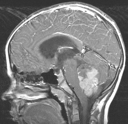
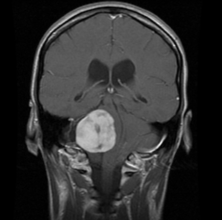
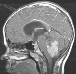
Meduloblastoma: IRM de vista sagital que muestra una lesión quística y sólida con captación ávida y que ocupa el cuatro ventrículo; se presenta hidrocefalia obstructiva
De la colección de Peter B. Storm; utilizada con autorización
Ver esta imagen en el contexto de la/s siguiente/s sección/es:

Evaluación del coma
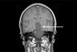
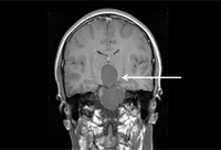
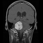
Craneofaringioma: IRM coronal poscontraste
De la colección personal de Marc C. Chamberlain; utilizada con autorización
Ver esta imagen en el contexto de la/s siguiente/s sección/es:

Evaluación del coma
Toxidromes principales, una constelación de características particulares de ciertas clases de fármacos
Tabla creada por el Dr. G. Bryan Young; utilizada con autorización
Ver esta imagen en el contexto de la/s siguiente/s sección/es:

Evaluación del coma
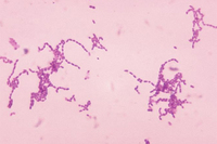
Microfotografía de tinción de Gram de especies de la bacteria Streptococcus
De Public Health Image Library de los CDC
Ver esta imagen en el contexto de la/s siguiente/s sección/es:

Evaluación del coma
Torsades de pointes
De la colección de Amar Krishnaswamy; utilizada con autorización
Ver esta imagen en el contexto de la/s siguiente/s sección/es:

Evaluación del coma
Meningioma: la imagen coronal mejorada con contraste muestra un meningioma en el seno cavernoso del lado izquierdo
De la colección personal de William T. Couldwell; utilizada con autorización
Ver esta imagen en el contexto de la/s siguiente/s sección/es:

Evaluación del coma
Alteraciones respiratorias, determinación de gas en sangre y posibilidades de diagnóstico
Tabla creada por el Dr. G. Bryan Young; utilizada con autorización
Ver esta imagen en el contexto de la/s siguiente/s sección/es:

Evaluación del coma
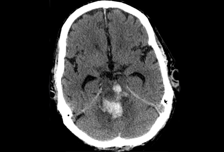
Hemorragia hipertensiva en el puente troncoencefálico que ingresó en el cuatro ventrículo y se extendió hacia el mesencéfalo
De la colección personal del Dr. G. Bryan Young; utilizada con autorización
Ver esta imagen en el contexto de la/s siguiente/s sección/es:

Evaluación del coma
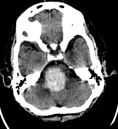
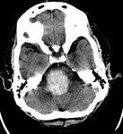
Neurinoma acústico: IRM coronal poscontraste
De la colección de Ryojo Akagami; utilizada con autorización
Ver esta imagen en el contexto de la/s siguiente/s sección/es:

Evaluación del coma
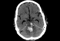
Hemorragia del tallo cerebral en el mesencéfalo que se extendió a partir de una hemorragia hipertensiva en el puente troncoencefálico
De la colección personal del Dr. G. Bryan Young; utilizada con autorización
Ver esta imagen en el contexto de la/s siguiente/s sección/es:
El uso de este contenido está sujeto a nuestra cláusula de exención de responsabilidad