Abordaje
Resulta clínicamente útil considerar en primer lugar una amplia categoría de enfermedades, luego de obtener indicios de la anamnesis y de los exámenes generales y neurológicos. Resulta útil pensar de forma anatómica y fisiológica y desarrollar un enfoque específico que limite las posibilidades de diagnóstico a una pocas, que puedan resolverse con las investigaciones adecuadas.[72][73][74]
Antecedentes
Al igual que con los pacientes despiertos y comunicativos, la anamnesis es vital. Se debe obtener de parientes, amigos y testigos oculares, incluso por teléfono si es necesario. La forma en que el paciente se puso enfermo o se desmayó puede dar pistas importantes:
El paciente tuvo una crisis convulsiva?
Sufrió un traumatismo?
El paciente perdió la consciencia de forma gradual? ¿O hubo fluctuación, como puede observarse en los trastornos metabólicos o en un hematoma subdural?
El paciente tenía fiebre o escalofríos (que sugirieran una infección sistémica o del sistema nervioso central)?
Los antecedentes del paciente pueden ser importantes. ¿El paciente tuvo cáncer, una depresión profunda (que sugiera la posibilidad de una sobredosis de drogas) o historia de alcoholismo o abuso de drogas? ¿Hay alguna enfermedad subyacente, como diabetes mellitus, insuficiencia renal, hepática o suprarrenal o inmunosupresión (ya sea inducida por fármacos o adquirida)? ¿Qué fármacos tomaba el paciente? Los registros hospitalarios pueden ser útiles, al igual que las pulseras de alerta médica u demás información médica sobre la persona.
Síntomas de síndromes de herniación
Es importante reconocer las características del síndrome de herniación en pacientes con lesiones tipo masa (p. ej., absceso cerebral, tumor, hemorragia intracerebral, traumatismo con hematoma intracerebral o extracerebral).
La hernia subfalcial puede producir somnolencia con pérdida progresiva del conocimiento, debilidad unilateral y/o alteraciones visuales tardías.
La hernia tentorial puede producir alteraciones visuales tempranas antes de la pérdida de consciencia.
La hernia central (diencefálica) puede producir somnolencia con alteración progresiva de la consciencia y alteraciones visuales tardías.
La hernia rostrocaudal puede producir pérdida abrupta del conocimiento con alteraciones visuales, trastornos de la audición, trastornos gustativos, dificultad en la deglución y/o diferencias en la expresión/el movimiento facial.
La hernia amigdalina puede producir dificultad respiratoria, seguida de coma.
Periodo de delirio
Puede presentarse en pacientes con varias encefalopatías tóxicas o metabólicas, incluida la encefalopatía asociada con sepsis o el síndrome de respuesta inflamatoria sistémica, y con trastornos de la temperatura corporal (hipotermia e hipertermia).
Se caracteriza por presentar la incapacidad de mantener, concentrar o cambiar la atención como rasgo principal o esencial. Otros fenómenos frecuentes incluyen desorientación, memoria a corto plazo deficiente, ciclo de vigilia-sueño alterado, agitación, confusión y alucinaciones o delirios. Es importante reconocer, investigar y tratar los casos de delirio con rapidez, antes de que ocurra un deterioro mayor (asociado con una mayor mortalidad).
Amnesia
Es la incapacidad de fijar nuevas memorias durante un periodo de tiempo variable (de minutos a días) luego de la lesión.
La conmoción a menudo va acompañada de una amnesia postraumática anterógrada.
La amnesia posterior a la alteración de la consciencia también se puede observar en algunos casos de trastornos metabólicos transitorios, como hipoglucemia o intoxicación con alcohol o sedantes.
Las crisis, especialmente las convulsivas generalizadas o las focales no conscientes de origen en el lóbulo temporal, también pueden alterar los mecanismos de la memoria durante minutos u horas o más.
Más de dos tercios de los pacientes con hemorragia subaracnoidea (HSA) aneurismática experimenta amnesia anterógrada y el 17% presenta amnesia retrógrada del periodo anterior al ictus.[75]
Los ”estados de fuga/estados crepusculares” se asocian habitualmente con la amnesia.
La amnesia puede presentarse luego de ataques isquémicos vertebrobasilares si el tálamo sufre un tiempo isquémico más prolongado. Sin embargo, esto es infrecuente.
Si los aspectos medios-inferiores de ambos lóbulos temporales presentan un infarto luego del accidente cerebrovascular isquémico, el paciente tendrá una alteración grave de la memoria.
Duración del estado de inconsciencia
El síncope, la crisis convulsiva y la conmoción generalmente inducen el coma transitorio.
El daño axonal difuso (DAD) causa la pérdida del conocimiento en el momento del traumatismo, pero la duración del coma es mucho más prolongada que con la conmoción. Los pacientes generalmente abren los ojos en 2 o 3 semanas, lo que se relaciona con la recuperación de la función de los sistemas de alerta subcortical. La recuperación de la consciencia es variable, desde una alteración leve hasta el estado vegetativo persistente/permanente (síndrome de vigilia sin respuesta [UWS]).
Síntomas prodrómicos
Pueden presentarse con síncopes y convulsiones. A menudo son inespecíficos (p. ej., nerviosismo o irritabilidad, deseo de estar solo).
Presencia de convulsiones
Las convulsiones pueden estar presentes en numerosas afecciones, entre ellas:
síncope (menor)
convulsión/epilepsia
hipoglucemia, hiperglucemia (especialmente la variedad no cetósica)
encefalitis
trombosis de la vena cerebral (si hay afectación de la vena cortical), otras lesiones cerebrales estructurales que afecten a la corteza cerebral o a la sustancia blanca subyacente
hiponatremia, hipocalcemia, hipomagnesemia
insuficiencia hepática profunda
uremia
encefalopatía hipertensiva (incluido el síndrome de encefalopatía posterior reversible [SEPR])
el uso de fármacos o agentes convulsivantes (cocaína, anfetaminas, aminofilina, lidocaína, isoniazida)
enfermedades neurodegenerativas avanzadas
falta de respuesta psicógenica (pseudoconvulsiones/convulsiones psicogénica)
Incontinencia
Puede ocurrir con el síncope o las convulsiones.
Alteraciones visuales
Los pacientes con trombosis de la arteria basilar pueden presentar síntomas de isquemia del lóbulo occipital (fotopsia, pérdida de la visión).
Los pacientes con encefalopatía hipertensiva puede presentar ceguera cortical y convulsiones si se desarrolla el SEPR.
Las convulsiones pueden provocar pérdida de la visión debido a la interferencia con la información visual entrante.
Alucinaciones
Las convulsiones que involucran la región occipital pueden provocar alucinaciones visuales elementales (p. ej., luces intermitentes en el campo visual opuesto).
Las crisis epilépticas en las áreas de asociación visual a menudo producen distorsiones más complejas de imágenes: por ejemplo, formas, micropsias o macropsias (distorsiones de tamaño).
En los pacientes con estados de abstinencia de psicosis, pueden ocurrir alucinaciones visuales más complejas. Estos pacientes generalmente no perciben sus alucinaciones.
Pueden estar presentes en pacientes con uso de drogas recreativas.
Cefalea
La cefalea y la rigidez de nuca se pueden describir en pacientes no comatosos con meningitis o HSA.
Se puede considerar la trombosis venosa cerebral cuando los pacientes presentan cefalea de inicio subagudo, que es intratable y empeora, la que a menudo se asocia con náuseas y vómitos.
Las cefaleas son menos útiles en otras afecciones: por ejemplo, traumatismo, hipoglucemia, enfermedades inflamatorias sistémicas, accidentes cerebrovasculares isquémicos de grandes vasos, convulsiones y estados de abstinencia.
Viajes internacionales
Los pacientes con encefalitis pueden presentar una anamnesis de viajes internacionales.
Desnutrición
Los pacientes con encefalopatía de Wernicke tienen historia compatible con deficiencia de vitamina B (generalmente personas con dependencia del alcohol, pacientes con un nivel nutricional deficiente, aquellos con grapado gástrico o pacientes que se someten a hemodiálisis y no toman suplementos de vitamina B).
El síndrome de realimentación debido a una hipofosfatemia ocurre en pacientes con desnutrición previa que han recibido alimentación hospitalaria.
Intoxicación con monóxido de carbono
Es frecuente en los meses de invierno debido al aumento del uso de calefactores.
También es frecuente en pacientes que intentan suicidarse al encerrarse en un garaje con el motor encendido.
Historia clínica previa significativa
Puede proporcionar claves para el diagnóstico de encefalopatías de disfunción orgánica, encefalopatías de desequilibrio electrolítico, tumor cerebral, encefalitis postinfecciosa y otras causas de coma.
Historia farmacológica
Puede revelar ingestión/sobredosis de los siguientes agentes que pueden inducir el coma: efedrina, pseudoefedrina, opioides, agonistas alfa-2, sedantes, antihistamínicos de primera generación, antidepresivos tricíclicos, benzatropina.
[Figure caption and citation for the preceding image starts]: Toxidromes principales, una constelación de características particulares de ciertas clases de fármacosTabla creada por el Dr. G. Bryan Young; utilizada con autorización [Citation ends].
Anamnesis de toxicomanía, intoxicación
Puede revelar abuso/sobredosis de las siguientes sustancias que pueden inducir el coma: dietilamida de ácido lisérgico (LSD), cocaína, anfetaminas, opioides, sedantes, organofosforados, insecticidas de carbamato, estramonio, belladona, alcohol, metanol, etilenglicol (anticongelante).
Puede indicar la presencia de una falta de respuesta psicógena.
Examen general específico
El examen general puede proporcionar indicios importantes.
Presión arterial
La hipertensión significativa puede indicar encefalopatía hipertensiva o síndrome de encefalopatía posterior reversible (PRES). La presión arterial en la encefalopatía hipertensiva se eleva de forma aguda/subaguda hasta niveles que superan la autorregulación cerebral (por ejemplo, 240/130 mmHg).
La hipotensión puede indicar un shock hipovolémico.
Oximetría de pulso
En la intoxicación por monóxido de carbono, la oximetría de pulso puede sobrestimar las concentraciones de oxígeno.
Temperatura central
El coma generalmente ocurre a temperaturas centrales <28 °C y >42 °C.
La temperatura central <28 °C puede aparecer en pacientes con hipotermia ambiental, hipotiroidismo, encefalopatía de Wernicke, sepsis avanzada o intoxicación por sedantes.
La temperatura central >40 °C puede aparecer en pacientes con hipertermia ambiental, abuso de cocaína o anfetaminas, estado epiléptico convulsivo, uso de medicamentos anticolinérgicos, accidente cerebrovascular, traumatismo, tormenta tiroidea o encefalitis.
Piel
La ictericia, las venas distendidas alrededor del ombligo o las arañas vasculares sugieren insuficiencia hepática crónica.
Palidez, cianosis.
La decoloración rojo cereza de los labios sugiere intoxicación con monóxido de carbono, pero es un signo raro y no es confiable.
El sangrado petequial sugiere la posibilidad de una crisis convulsiva, púrpura trombótica trombocitopénica, septicemia meningocócica, fiebre maculosa de las Montañas Rocosas, vasculitis o émbolos sépticos.
Las marcas de agujas sugieren abuso de drogas.
Cabeza/cara
Puede haber signos de fractura del cráneo basal con hemotímpano, signo de Battle (hematomas sobre los mastoideos) y ojos de mapache (que indican una fractura del techo orbitario).
La lengua mordida es una evidencia presunta de crisis convulsiva.
La hemorragia prerretinal debe despertar la sospecha de la ruptura de un aneurisma intracraneal.
Las manchas de Roth en la retina pueden significar endocarditis, leucemia o émbolos sépticos.
La pigmentación bucal podría indicar una insuficiencia suprarrenal subyacente.
La presencia de oftalmopatía de Grave o bocio debe despertar la sospecha de tormenta tiroidea.
Escalas de puntuación del coma
Se suelen utilizar la escala de coma de Glasgow y el sistema de puntuación Full Outline of UnResponsiveness (FOUR).[76][77]
Escala de coma de Glasgow (GCS)
La GCS se utiliza habitualmente para medir la gravedad de la alteración de la consciencia.[76] [ Escala de Coma de Glasgow Opens in new window ] El sistema de puntuación FOUR evalúa elementos neurológicos adicionales en comparación con la GCS, y parece ser igual de fiable.[78] The FOUR Score Opens in new window Además, el sistema de puntuación FOUR es aplicable en pacientes intubados, pacientes incapaces de responder verbalmente y en aquellos pacientes con un patrón respiratorio anormal.[76][78] La administración de la puntuación FOUR requiere un evaluador experimentado y puede llevar más tiempo que el GCS.
Examen neurológico específico
Es importante localizar el sitio anatómico-fisiológico del coma. Generalmente, si las funciones del tallo cerebral están preservadas, el sitio es más rostral o el cerebro resultó afectado de forma difusa, de modo que relativamente no afecta los núcleos de los pares craneales que son más resistentes. Sin embargo, hay algunas advertencias. Cabe destacar algunos aspectos específicos de los hallazgos del examen neurológico.
Capacidad de respuesta
Los sistemas de puntuación que son más detallados que la GCS se utilizan en el contexto de la UCI. Por ejemplo, el sistema de puntuación FOUR incluye movimientos oculares, incluido el seguimiento con la mirada, y algunas respuestas motoras (p. ej., mioclono) que no incluye el sistema GCS.[77][78]
La respuesta motora varía según la profundidad y la gravedad de la alteración de la consciencia y el nivel del eje neural afectado.
Una respuesta localizada, por ejemplo hacia un estímulo irritante, en especial si cruza la línea media, indica un grado menor de alteración que la postura (decorticación o descerebración) o la ausencia de respuesta.
El seguimiento visual de un espejo que refleja la imagen de la cara o de los ojos del paciente diferencia un grado más ligero de alteración de la conciencia del estado de coma o vegetativo (UWS).[79]
Los pacientes con intoxicación por monóxido de carbono generalmente tienen los reflejos del tallo cerebral intactos, con alteración de la consciencia.
Reflejos pupilares
Las pupilas pueden no estar reactivas en caso de hipotermia.
Se pueden ver afectadas con medicamentos que tienen propiedades anticolinérgicas: por ejemplo, sobredosis masivas de antidepresivos tricíclicos.
Las sobredosis masivas de barbitúricos, la hipoglucemia profunda o la encefalopatía anoxo-isquémica pueden suprimir de forma reversible todos los reflejos del tallo cerebral, incluidas las respuestas pupilares. La reversibilidad de las funciones cerebrales perdidas varía; estas enfermedades pueden provocar muerte neuronal si la lesión es grave y prolongada.
En la intoxicación por opioides, las pupilas pueden ser pequeñas pero reactivas.
En el caso de hernia central (diencefálica), las pupilas son inicialmente pequeñas.
Los pacientes con trombosis de la arteria basilar pueden presentar parálisis pupilar.
Los pacientes con conmoción a menudo presentan una alteración transitoria de la función del tallo cerebral, que incluye la pérdida de los reflejos pupilares y corneales.
El reflejo vestíbulo-ocular (RVO)
Se evalúa con procedimientos oculocefálicos (giro rápido de la cabeza de lado a lado o en el plano anterior-posterior) u oculovestibulares (inyección de agua helada en el canal del oído externo). Estos procedimientos estimulan y prueban la integridad de los canales semicirculares del oído interno y las conexiones del tallo cerebral que unen los núcleos vestibulares, los centros de la mirada y los núcleos del par craneal III y VI.
Los síndromes de herniación pueden dañarlo.
Puede estar deteriorado de manera selectiva en la encefalopatía de Wernicke, sin afectar los reflejos pupilares u otros nervios craneales. Esto sucede debido a que, en la encefalopatía de Wernicke, hay un compromiso selectivo de las estructuras de la sustancia gris adyacentes a los ventrículos y al acueducto cerebral. Esto incluye los núcleos vestibulares involucrados en el reflejo vestíbulo-ocular (RVO).
Las dosis prolongadas o acumulativas de sedantes pueden suprimir de forma selectiva y transitoria el RVO.[80]
Los pacientes con trombosis de la arteria basilar pueden presentar parálisis ocular.
No se evalúa en pacientes con traumatismo hasta que se hayan descartado lesiones de la columna cervical.
Debilidad neuromuscular profunda
La hipofosfatemia, cuando es aguda y profunda, puede ser similar al síndrome de Guillain-Barré. Esto se puede observar en el síndrome de realimentación, en el que, en pacientes gravemente desnutridos, después de una carga de glucosa, hay un aumento del traslado del fosfato al interior de las células.[81]
La cuadriplejia flácida a veces también es una característica de la hipopotasemia o hipomagnesemia grave y aguda.
Los pacientes con trombosis de la arteria basilar pueden presentar parálisis pseudobulbar y/o cuadriparesia.
Los pacientes con hernia subfalcial + desplazamiento diencefálico pueden presentar signos asociados de hemiparesia.
Los pacientes con encefalitis del Nilo Occidental pueden presentar parálisis bulbar y cuadriplejia debido a la afectación de las neuronas motoras.
En los estados de enclaustramiento, la consciencia se mantiene pero la motricidad se ve afectada:
Lesiones de la base pontis: parálisis de la motoneurona superior de los nervios craneales inferiores [parálisis pseudobulbar] y de 4 miembros, movimiento vertical de los ojos, los ojos se abren y cierran voluntariamente
Polineuropatía: ausencia de movimientos oculares verticales, pérdida de reflejos pupilares, ausencia de reflejos tendinosos profundos
Parálisis farmacológica: reflejos pupilares intactos.
Convulsiones
La mayoría de las veces son mioclónicas (con sacudidas bilateralmente sincrónicas, a diferencia del mioclono multifocal) y pueden ocurrir en varias encefalopatías metabólicas, que incluyen hiponatremia, estados hiperosmolares (en especial en la hiperglucemia no cetósica, cuando las convulsiones pueden ser engañosamente focales), hipocalcemia, hipercalcemia extrema, uremia, encefalopatía hepática e hipoglucemia avanzada, y en las encefalopatías posteriores a una resucitación luego de un paro cardíaco. En esta última situación, el estado epiléptico mioclónico suele ser mortal, sin recuperación de la conciencia.[82] Esto se debe a una muerte neuronal generalizada en un patrón que es muy diferente del patrón de pérdida neuronal luego del estado epiléptico.[83]
Signos de síndromes de herniación
La hernia subfalcial puede producir alteración progresiva de la consciencia, con/sin hemiparesia, y parálisis oculomotora tardía.
La hernia tentorial puede producir parálisis oculomotora precoz antes de la alteración de la consciencia.
La hernia central (diencefálica) puede producir inicialmente pupilas pequeñas y luego alteración de la consciencia, con parálisis oculomotora irreversible tardía.
La hernia rostrocaudal puede producir pérdida abrupta del conocimiento con parálisis de pares craneales.
La hernia amigdalina puede producir paro respiratorio seguido de hipertensión y luego hipotensión, coma y, a menudo, muerte cerebral.
Los signos oculomotores asociados con una hernia incluyen:
Preferencia en la mirada o desviación conjugada de la mirada hacia un lado inicialmente.
Luego aparece una asimetría pupilar debido al estiramiento del tercer par craneal (oculomotor) sobre el clivus en el lado de la masa.
Esto generalmente se manifiesta como dilatación de la pupila ipsilateral a la lesión (alrededor del 20% de las personas presenta anisocoria). Esto va seguido de pérdida de la reactividad pupilar ipsilateral y parálisis de aducción del ojo.
En las últimas etapas, la pupila opuesta pierde su reactividad debido al daño intrínseco en el mesencéfalo a raíz de la hernia.
Análisis clínicos
La determinación de gas en la sangre capilar o arterial puede ser muy útil en presencia de hiperventilación y, ocasionalmente, de hipoventilación y para algunos toxidromes. El análisis de gasometría en sangre arterial (GSA) está fácilmente disponible y es de valor confirmativo ante la falta de respuesta psicogénica. En las pseudoconvulsiones, los gases en sangre son generalmente normales o pueden mostrar una alcalosis respiratoria a causa de la hiperventilación, a diferencia de la acidosis respiratoria y metabólica mixta de una crisis convulsiva. La correlación de los patrones respiratorios básicos con la determinación de gases en sangre puede reducir considerablemente las posibilidades de diagnóstico diferencial.
Hiperventilación con acidosis metabólica: las posibles causas incluyen uremia, cetoacidosis diabética, acidosis láctica o intoxicación con salicilatos, metanol o etilenglicol.
Hiperventilación con alcalosis respiratoria: las posibles causas incluyen insuficiencia hepática, sepsis aguda, cualquier estado cardiopulmonar que provoque hipoxemia, la fase aguda de la intoxicación con salicilato o hiperventilación psicógena.
Hipoventilación con acidosis respiratoria: el coma solo se produce si hay hipercapnia grave. Las causas incluyen insuficiencia respiratoria por enfermedad del nervio periférico o central y enfermedades o deformidades del pecho.
Hipoventilación con alcalosis metabólica: la conciencia no suele estar alterada. Las causas incluyen vómitos e ingesta de alcalinos, pero se debe sospechar falta de respuesta psicógena o alguna causa adicional si el paciente está inconsciente.
[Figure caption and citation for the preceding image starts]: Alteraciones respiratorias, determinación de gas en sangre y posibilidades de diagnósticoTabla creada por el Dr. G. Bryan Young; utilizada con autorización [Citation ends].
También se deben analizar la glucosa, el calcio, el sodio, el potasio, el magnesio, el fosfato, la urea y la creatinina séricos para evaluar el motivo del síncope, desmayo o crisis convulsiva y determinar la presencia de desequilibrios electrolíticos.
Una vez que se haya limitado el diagnóstico diferencial, se pueden realizar análisis clínicos adicionales según la causa sospechada.
Se deben realizar pruebas de función hepática si se sospecha insuficiencia hepática.
El índice internacional normalizado (INR) es sensible a la insuficiencia hepatocelular aguda.
Una ”prueba de drogas” raras veces es integral pero se puede especificar para incluir alcohol, benzodiazepinas, barbitúricos, opioides, cocaína, anfetaminas, antidepresivos tricíclicos, salicilatos, paracetamol y otros agentes. Es posible que algunos fármacos, como los antihistamínicos, no tengan una prueba disponible y se deba evaluar al paciente según las sospechas clínicas.
Se debe realizar un hemocultivo en presencia de fiebre o hipotermia.
El nivel de carboxihemoglobina en sangre se requiere si se sospecha intoxicación por monóxido de carbono, y se debe tener en cuenta que los fumadores pueden presentar niveles ligeramente elevados.
Debe medirse el piruvato y la tiamina sérica si se sospecha encefalopatía de Wernicke.
Se pueden realizar ensayos metabólicos o de fármacos específicos en circunstancias especiales.
Estudios por imágenes
Los estudios por imagen son esenciales cuando existe una fuerte posibilidad de lesión cerebral estructural o para diagnosticar trastornos específicos. La tomografía computarizada de la cabeza es la más utilizada, ya que es rápida, está disponible y requiere menos preparación que una resonancia magnética; sin embargo, la resonancia magnética puede proporcionar más detalles. Las recomendaciones de consenso del American College of Radiology apoyan la TC sin contraste para pacientes adultos con un reciente estado mental alterado inexplicable y sospecha de patología intracraneal o déficit neurológico focal.[84]
La TC es sensible a las hemorragias intracraneales, a los grandes desplazamientos de las estructuras de la línea media y al efecto de masa. Los pacientes con lesiones tipo masa (p. ej., absceso cerebral, tumor, hemorragia intracerebral, traumatismo con hematoma intracerebral o extracerebral) y síndrome de herniación requieren un estudio por imágenes urgente. Generalmente, primero se realiza una TC sin contraste, luego una TC con contraste si es necesario esclarecer la naturaleza de la masa (p. ej., diferenciación entre un tumor y un absceso cerebral).
La RM suele realizarse más tarde y puede ser útil para mostrar lesiones múltiples (por ejemplo, metástasis) y su naturaleza, (por ejemplo, infartos frente a lesiones inflamatorias o neoplásicas).
Los signos focales, como una hemiparesia o una parálisis oculomotora en un paciente comatoso, también requieren un examen de imágenes inmediato. Sin embargo, el coma puede preceder a dichos signos focales en pacientes con lesiones tipo masa supratentoriales. Por lo tanto, también se indica una neuroimagen cuando existe la posibilidad de lesiones estructurales o si el diagnóstico es incierto.
Diagnóstico por imagen en pacientes con traumatismo craneoencefálico y sospecha de lesión intracraneal
Las recomendaciones de consenso del American College of Radiology respaldan el uso de la TC sin contraste como modalidad de imagen de primera línea en pacientes con traumatismo craneoencefálico.[85]
Recomendaciones clave de la guía de práctica clínica del National Institute for Health and Care Excellence (NICE) para el tratamiento de los traumatismos craneoencefálicos:[17]
Se debe trasladar a un centro neuroquirúrgico si está presente alguno de los siguientes factores :
Coma persistente: puntaje de GCS 8/15 o inferior después de la reanimación inicial
Confusión inexplicable que persiste durante más de 4 horas
Deterioro del nivel de conciencia después de la admisión
Signos neurológicos focales progresivos
Una convulsión sin recuperación total
Lesión penetrante definida o sospechada
Fuga de líquido cefalorraquídeo (LCR).
Las personas mayores de 16 años deben someterse a un TAC craneal en el plazo de una hora si presentan alguno de los siguientes síntomas:[17]
GCS de 12 o menos en la evaluación inicial en el departamento de accidentes y emergencias
GCS inferior a 15 a las 2 horas de la lesión
Sospecha de fractura abierta o deprimida del cráneo
Cualquier signo de fractura basal del cráneo (hemotímpano, ojos de "panda", fuga de líquido cefalorraquídeo por el oído o la nariz, signo de Battle)
Convulsión postraumática
Déficit neurológico focal
Más de un episodio de vómitos
Para las personas de 16 años o más que hayan tenido alguna pérdida de consciencia o amnesia desde la lesión, debe realizarse un TAC craneal en las 8 horas siguientes (o en la misma hora en alguien que se presente más de 8 horas después de la lesión) si se da alguno de los siguientes:[17]
65 años de edad o más
Cualquier antecedente de sangrado o trastornos de coagulación
Mecanismo peligroso de lesión (p. ej., un peatón o ciclista golpeado por un vehículo de motor, un ocupante expulsado de un vehículo de motor, o caída desde una altura superior a 1 metro o 5 escaleras)
Más de 30 minutos de amnesia retrógrada de los eventos inmediatamente antes de la lesión en la cabeza
Para los menores de 16 años que hayan sufrido un traumatismo craneal, debe realizarse un TAC craneal en la hora siguiente a la identificación de cualquiera de los siguientes factores de riesgo:[17]
Sospecha de lesión no accidental
Convulsión postraumática
En la evaluación inicial en el servicio de urgencias, una puntuación de la escala de Glasgow < 14 o, para los lactantes menores de 1 año, una puntuación de la escala de Glasgow (pediátrica) < 15
A las 2 horas de la lesión, una puntuación GCS <15
Sospecha de fractura de cráneo abierta o deprimida, o fontanela tensa
Cualquier signo de fractura basal del cráneo (hemotímpano, ojos de "panda", fuga de líquido cefalorraquídeo por el oído o la nariz, signo de Battle)
Déficit neurológico focal
Para los lactantes menores de 1 año, un hematoma, hinchazón o laceración de más de 5 cm en la cabeza.
Para los menores de 16 años que hayan sufrido un traumatismo craneoencefálico y presenten más de uno de estos factores de riesgo, debe realizarse un TAC craneal en la hora siguiente a la identificación de los factores de riesgo:[17]
Pérdida de conocimiento de más de 5 minutos (presenciada)
Somnolencia anormal
3 o más episodios discretos de vómitos
Mecanismo peligroso de lesión (accidente de tráfico a gran velocidad como peatón, ciclista u ocupante de un vehículo, caída desde una altura superior a 3 metros, lesión a gran velocidad por proyectil u otro objeto)
Amnesia (anterógrada o retrógrada) de más de 5 minutos de duración (no es posible evaluar la amnesia en niños preverbales y es poco probable que sea posible en niños menores de 5 años)
Cualquier trastorno de sangrado o de coagulación en el presente.
Las personas menores de 16 años que hayan sufrido un traumatismo craneoencefálico pero que solo presenten uno de los factores de riesgo anteriores (inicio de pérdida de conocimiento de más de 5 minutos de duración [presenciada]) deben permanecer en observación durante un mínimo de 4 horas en un hospital. Si, durante la observación, se identifica alguno de los siguientes factores de riesgo, debe realizarse un TAC craneal en el plazo de 1 hora:[17]
Una puntuación GCS <15
Más vómitos
Un nuevo episodio de somnolencia anormal.
Si no se presenta ninguno de estos factores de riesgo durante la observación, debe utilizarse el juicio clínico para determinar si es necesario un período de observación más prolongado.[17]
Estudios por imágenes en pacientes anticoagulados
Varias guías de práctica clínica recomiendan o sugieren que se considere la realización de una TC craneal a los pacientes anticoagulados tras un traumatismo craneoencefálico leve, independientemente de los síntomas.[17][86][87]
El NICE recomienda considerar la realización de un TAC craneal a personas que presentan un traumatismo craneoencefálico y que estén tomando una medicación anticoagulante o antiagregante plaquetario (y no presenten ninguna otra indicación para realizar un TAC craneal): [17]
en las 8 horas siguientes a la lesión
en una hora si se presentan más de 8 horas después de la lesión.
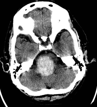
[Figure caption and citation for the preceding image starts]: Hemorragia del tallo cerebral en el mesencéfalo que se extendió a partir de una hemorragia hipertensiva en el puente troncoencefálicoDe la colección personal del Dr. G. Bryan Young; utilizada con autorización [Citation ends].
[Figure caption and citation for the preceding image starts]: Hemorragia hipertensiva en el puente troncoencefálico que ingresó en el cuatro ventrículo y se extendió hacia el mesencéfaloDe la colección personal del Dr. G. Bryan Young; utilizada con autorización [Citation ends].
Punción lumbar y análisis del líquido cefalorraquídeo (LCR)
La punción lumbar se indica si existe sospecha de meningitis, en especial bacteriana, fúngica o tuberculosa, y para detectar carcinomatosis meníngea. La punción lumbar también puede confirmar una hemorragia subaracnoidea (HSA) producida por la ruptura de un aneurisma cuando la tomografía computarizada (TC) no la detectó (5% de los casos). Clínicamente se puede sospechar por una xantocromía, o manchas amarillas en el líquido cefalorraquídeo (LCR) a causa de productos de descomposición de la hemoglobina, y se puede confirmar mediante una espectrofotometría.
Las pruebas diagnósticas más específicas, aparte del cultivo, las tinciones, la citología y la citometría de flujo, incluyen:
reacción en cadena de la polimerasa (PCR) para el virus herpes simple (VHS) 1 y 2
PCR bacteriana de amplio espectro
patógeno meníngeo específico PCR
PCR para tuberculosis por Mycobacterium
PCR con transcriptasa inversa (RT) para enterovirus
PCR para virus del Nilo Occidental
PCR para virus de Epstein-Barr
PCR para virus varicela-zóster
PCR para ADN DE Citomegalovirus
PCR para ARN de VIH
RT-PCR para el virus de la rabia.
El cribado de antígenos se puede realizar para antígenos polisacáridos de histoplasma y criptocócicos. Los cribados de anticuerpos en el LCR están disponibles para el VHS (relación de anticuerpos en suero/LCR de <20:1), virus transmitidos por artrópodos, Borrelia burgdorferi (para sospecha de enfermedad de Lyme) y virus de la rabia. También se puede realizar la prueba de anticuerpos fijadores de complemento para Coccidioides immitis. El análisis del LCR también puede ayudar a diagnosticar una polineuropatía desmielinizante inflamatoria aguda (en casos de estado de enclaustramiento).
electroencefalograma (EEG)
El EEG puede ser de gran ayuda para detectar convulsiones. Parece adecuado solicitarlo, incluso en el servicio de urgencias, cuando la causa del coma no es evidente y los reflejos del tallo cerebral están intactos. La evidencia sugiere que al menos el 14% de los pacientes que no despiertan luego de una crisis convulsiva estaba en un estado epiléptico no convulsivo (EENC).[88]
Las convulsiones también pueden presentarse en la UCI, en especial en los pacientes con lesiones cerebrales estructurales. Se ha demostrado que al menos un 8% de los pacientes en estado comatoso a raíz de una lesión cerebral se encuentran en EENC.[35][89] La mayoría de las veces es indetectable sin EEG. Debido a que el estado epiléptico puede dañar el cerebro, es importante detectar las convulsiones de forma temprana y tratarlas de inmediato y de manera eficaz. El uso amplio del EEG en la UCI es útil; la monitorización continua durante al menos 72 horas aumenta el rendimiento diagnóstico del EENC y, en pacientes con crisis epilépticas, determina que las crisis estén controladas y que la sedación/anestesia no sea excesiva.
El EEG también es útil para diagnosticar pseudoconvulsiones o convulsiones psicógenas (en pacientes con falta de respuesta psicógena), encefalitis aguda por herpes simple (sensible en >80% de los casos), hipotermia, hipertermia, HSA y procesos inflamatorios (p. ej., quemaduras).[24]
El EEG muestra diferentes patrones (p. ej., patrón lento, patrón de brote-supresión, patrón isoeléctrico). Estas características no son específicas de la etiología y se utilizan principalmente para clasificar la gravedad de la encefalopatía. La alteración más profunda es la supresión generalizada de voltaje/silencio electrocerebral y luego un patrón de brote-supresión. Estas características son frecuentes en casos muy graves de encefalopatía anoxo-isquémica luego de un paro cardíaco, pero pueden encontrarse en encefalopatías más reversibles debido a sobredosis de barbitúricos, benzodiazepinas, agentes anestésicos o hipotermia profunda. El enlentecimiento difuso con ondas rítmicas u ondas trifásicas indica una encefalopatía de alguna forma menos grave pero aún profunda, debido, generalmente pero no invariablemente, a desórdenes metabólicos como uremia, insuficiencia hepática o sepsis.
Electromiografía (EMG)
En casos de falta de respuesta, el EMG puede ayudar a descartar una causa neuromuscular: por ejemplo, bloqueo neuromuscular a causa de la acción prolongada de relajantes musculares y polineuropatías difusas profundas (p. ej., polineuropatía desmielinizante inflamatoria aguda y la forma axonal del síndrome de Guillain-Barré).
Pruebas pronósticas
El pronóstico de los pacientes con daño axonal difuso grave se puede determinar mediante:
La prueba de respuesta de potenciales evocados somatosensoriales, que utiliza una única vía sensorial y demostró ser sensible y específica.
La estimulación motora cortical magnética transcraneal, que se puede utilizar para evaluar la integridad motora corticoespinal, aunque este uso aún no se estandarizó.[90]
Estudios por imágenes con tensores de difusión, que ofrecen una estrategia pronóstica prometedora, en especial cuando se utilizan en combinación con las respuestas de potenciales evocados somatosensoriales[91]
Los estudios metabólicos, que demuestran la captación y el metabolismo de la glucosa en las sustancias blanca y gris del cerebro mediante una tomografía por emisión de positrones (TEP), pueden ser clínicamente útiles, pero aún se debe determinar esta utilidad.[92][93]
El pronóstico de los pacientes encefalopatía anoxo-isquémica luego de un paro cardíaco se puede determinar mediante:
La prueba de respuesta de potenciales evocados somatosensoriales, que muestra la ausencia bilateral de la respuesta N20 (de la corteza sensorial primaria) ante la estimulación del nervio mediano de la muñeca.[94]
Enolasa específica neuronal sérica; la enolasa >33 microgramos/L entre los días 1 y 3 predice de forma confiable un desenlace no mejor al de una discapacidad grave que requiere cuidados de asistencia en la residencia de ancianos a largo plazo.[95]
El pronóstico de los pacientes con intoxicación por monóxido de carbono se puede determinar mediante:
Tomografía computarizada por emisión de fotón único durante las últimas etapas.
El pronóstico para los pacientes en coma a menudo es difícil de determinar. Sin embargo, se han realizado algunos avances en la aplicación de las pruebas complementarias:
El potencial evocado somatosensorial es prometedor en niños y adultos.[96][97]
Los estudios por imágenes con tensor de difusión (ITD) permiten la evaluación de los tractos de fibras aprovechando el movimiento anisotrópico del agua dentro de los axones (anisotropía fraccional). Los estudios de traumatismos craneoencefálicos leves han demostrado alteraciones en el genu del cuerpo calloso. Las ITD se están comenzando a usar en la práctica clínica en traumatismos craneoencefálicos.[98]
El uso de este contenido está sujeto a nuestra cláusula de exención de responsabilidad