Pruebas diagnósticas
Primeras pruebas diagnósticas para solicitar
prueba de embarazo en orina o suero
Prueba
Confirma el embarazo.[39]
Resultado
positiva
ETV de alta resolución
Prueba
Una vez confirmado el embarazo, se hace una ETV para determinar la ubicación del embarazo.[39]
Si se visualiza un embarazo intrauterino, que puede ser viable o no, la probabilidad de que haya un embarazo ectópico es extremadamente baja, con la excepción de un embarazo heterotópico.[44]
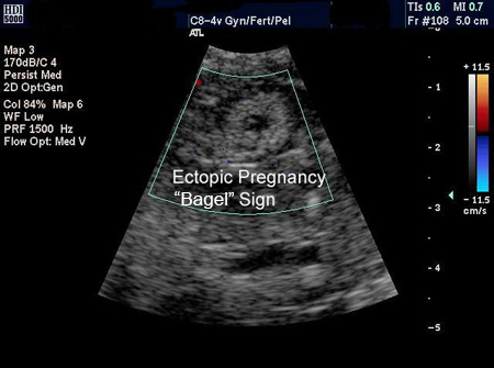
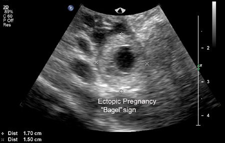
Un embarazo ectópico se visualiza en la ecografía transvaginal (ETV) y el diagnóstico se realiza directamente.[Figure caption and citation for the preceding image starts]: Imagen de ecografía de un embarazo ectópico que muestra el signo de la forma de "rosquilla"De la colección de la Dra. Melissa Fries; usado con permiso [Citation ends].
[Figure caption and citation for the preceding image starts]: Imagen de ecografía de un embarazo ectópico que muestra el signo de la forma de "rosquilla"De la colección de la Dra. Melissa Fries; usado con permiso [Citation ends].
Una masa anexial que se desplaza separada del ovario, a veces denominada "signo del deslizamiento", con un saco gestacional vacío a veces descrito como "anillo tubárico" o "signo del bagel" y una masa anexial compleja, no homogénea, que se desplaza separada del ovario, son altamente sugestivos de un embarazo ectópico, pero no son diagnósticos.[62]
Sin embargo, en un número significativo de casos, no es posible visualizar por el ultrasonido un embarazo intrauterino ni un embarazo ectópico, lo que resulta en el llamado embarazo de ubicación desconocida.[47]
Utilizando una ETV, un embarazo intrauterino se debería ver a las 5 semanas después de la fecha de la última menstruación.[63]
Si no se puede confirmar un embarazo intrauterino cuando se alcanzan los niveles discriminatorios de gonadotrofina coriónica humana (3000-3500 mIU/mL]), existe un mayor riesgo de que el embarazo sea ectópico. No obstante, también puede representar un embarazo intrauterino fallido.
Resultado
no se detecta embarazo intrauterino; el embarazo ectópico se visualiza
ecografía de abdomen
Prueba
Menos sensible que la ecografía transvaginal; es probable que detecte el embarazo intrauterino a las 6 semanas después de la última menstruación o cuando los niveles discriminatorios de gonadotrofina coriónica humana (hCG) para la ecografía transabdominal hayan alcanzado 4000-6500 UI/L (4000-6500 mIU/mL).
Si no se identifica la ubicación intrauterina después de que se alcancen los niveles de hCG discriminatorios, entonces hay un mayor riesgo de que el embarazo sea ectópico. No obstante, también puede representar el fracaso de un embarazo intrauterino.
Resultado
embarazo intrauterino no detectado
Pruebas diagnósticas que deben considerarse
gonadotropina coriónica humana (hCG) en suero
Prueba
Solicitado para confirmar el embarazo o si la ecografía transvaginal (ETV) no confirma un embarazo intrauterino.
El aumento esperado de hCG en suero en un embarazo normal puede depender de los valores iniciales. Si el nivel inicial de hCG es <1500 IU/L (1500 mIU/mL), se esperaría un aumento del 49% o superior en 2 días, mientras que con un nivel inicial > 3000 IU/L (>3000 mIU/mL), el aumento esperado sería de ≥33% en 2 días.[52] En el 99% de los embarazos intrauterinos viables, habrá un aumento de los niveles de hCG durante un periodo de 48 horas mayor que estos umbrales mínimos; una velocidad menor de aumento debería levantar sospechas de embarazo ectópico o de pérdida temprana del embarazo, pero no es diagnóstico de no viabilidad.[52][53][64] También es importante recordar que ni un aumento esperado del nivel de hCG en suero ni un descenso de este nivel descartan la posibilidad de embarazo ectópico.[54] Se aconseja tener cuidado en la interpretación del resultado de hCG, ya que un estudio reveló que hasta un 27% de las mujeres diagnosticadas con un embarazo ectópico presentaron curvas de hCG similares a los embarazos normales.[55]
Cuando el nivel de hCG está bien por encima del nivel discriminatorio de 3000-3500 UI/L (3000-3500 mUI/mL), y no hay signos de gestación intrauterina en la ETV, es extremadamente improbable que haya un embarazo intrauterino viable, y se pueden utilizar los niveles cuantitativos de hCG sérica en serie para diferenciar entre un embarazo ectópico y una gestación intrauterina no viable (aborto espontáneo).
Una disminución progresiva de los valores de hCG (es decir, una disminución de 50% en 48 horas) sugiere un embarazo fallido (aborto espontáneo). Se puede tratar de un embarazo intrauterino, pero también de un embarazo ectópico que se está resolviendo espontáneamente.[46][57]
Por otro lado, el aumento subóptimo (es decir, <49% de aumento en 48 horas si el nivel inicial de hCG es <1500 UI/L [<1500 mUI/mL], <40% de aumento en 48 horas para un nivel inicial de hCG de entre 1500 y 3000 UI/L (1500 y 3000 mUI/mL) o <33% de aumento en 48 horas si el nivel inicial de hCG es >3000 UI/L [>3000 mUI/mL]) o estancamiento de los valores de hCG sugiere un embarazo no viable, incluido un posible embarazo ectópico.[46][58]
Una tercera hCG en una mujer estable y una ecografía temprana pueden disminuir la clasificación errónea del embarazo intrauterino.[65] Para reducir el riesgo de diagnóstico erróneo, se recomienda que, si se usan los niveles discriminatorios para diagnosticar el embarazo ectópico, se use un valor moderadamente alto (p. ej., 3500 UI/L [3500 mUI/mL]).[46]
Resultado
<49% de aumento en 48 horas si el nivel inicial de hCG es <1500 UI/L (<1500 mUI/mL), <40% de aumento en 48 horas para un nivel inicial de hCG de entre 1500 y 3000 UI/L (1500 y 3000 mUI/mL) o <33% de aumento en 48 horas si el nivel inicial de hCG es >3000 UI/L (>3000 mUI/mL) o meseta del nivel.
aspiración uterina
Prueba
Se puede realizar si la posibilidad de embarazo viable se ha excluido de forma razonable.
Se usa para distinguir la pérdida temprana del embarazo intrauterino del embarazo ectópico, identificando la presencia o ausencia de vellosidades coriónicas intrauterinas. La presencia de vellosidades coriónicas intrauterinas confirma el fracaso de un embarazo intrauterino. Si no se pueden encontrar vellosidades coriónicas, se deben monitorizar los niveles de gonadotrofina coriónica humana (hCG), y la primera medición se debe realizar entre 12 y 24 horas después de la aspiración. Una meseta (un descenso de menos del 10% al 15%) o un aumento de la hCG tras el procedimiento sugiere que la evacuación fue incompleta o que se trata de un embarazo ectópico no visualizado, y se justifica un tratamiento adicional.[46]
La realización de una evacuación uterina en mujeres con un embarazo persistente de localización desconocida disminuirá el tiempo de resolución hasta en 6 días.[64]
Resultado
ausencia de vellosidades coriónicas intrauterinas
El uso de este contenido está sujeto a nuestra cláusula de exención de responsabilidad