Abordaje
Se debe confirmar el embarazo mediante prueba de orina o una prueba de gonadotropina coriónica humana (hCG) sérica.[39] Se han reportado algunos casos de rotura de embarazo ectópico con una prueba de embarazo en orina negativa, pero se trata de una situación muy poco frecuente.[40] Si la sospecha clínica es alta, se debe obtener una prueba de hCG sérica. Los síntomas clásicos son dolor, sangrado vaginal y amenorrea. La inestabilidad hemodinámica y el dolor al movimiento cervical pueden indicar rotura o rotura inminente. La ecografía transvaginal (ETV) puede confirmar el diagnóstico. Si no hay una identificación positiva de un embarazo ectópico en la ecografía pero se mantiene la sospecha clínica, entonces la hCG cuantitativa en serie, y la ETV, pueden ayudar a la toma de decisiones clínicas.
Antecedentes
Los factores de riesgo principales incluyen embarazo ectópico previo, cirugía de esterilización tubárica previa, exposición al dietilestilbestrol (DES) en el útero de la madre, múltiples parejas sexuales, enfermedad inflamatoria pélvica o infecciones (p. ej., por clamidia) previas, salpingitis, el uso de dispositivo intrauterino (DIU) en el momento de la concepción, subfertilidad y tratamiento FIV, y tabaquismo.
Por lo general, los síntomas aparecen de 6-8 semanas después de la fecha de la última menstruación, pero puede ocurrir mucho más tarde en casos de embarazo ectópico no tubárico.
Los síntomas habituales incluyen dolor abdominal, amenorrea y sangrado vaginal, pero también pueden estar asociados con la pérdida temprana del embarazo, por lo que es necesario estudiar más a fondo para distinguir entre ambos. En un estudio que evalúa un cuestionario estándar, los vómitos durante el dolor, el dolor abdominal difuso, el dolor agudo durante más de 30 minutos y el dolor intermitente podrían contribuir de manera independiente en el diagnóstico de rotura de embarazo ectópico.[13][41]
Existen algunas presentaciones atípicas en casos de rotura de embarazo ectópico. La pérdida de sangre desde el sitio de implantación puede causar irritación en el diafragma, lo cual produce dolor referido de hombro. La acumulación de sangre en el fondo del saco posterior se puede manifestar como una necesidad continua de defecar. Los síntomas de shock, incluso aturdimiento, pueden indicar hemorragia grave y rotura tubárica. Otras presentaciones atípicas son el dolor en el cuadrante superior derecho y las convulsiones.
Existen diversos reportes de casos de embarazos ectópicos posteriores a una histerectomía total y supracervical. Aunque esta afección es extremadamente rara, los médicos deben tener en cuenta la posibilidad de su ocurrencia. Siempre y cuando se haya preservado por lo menos un ovario, se debe realizar una prueba de embarazo en mujeres en edad reproductiva que se hayan sometido anteriormente a histerectomía y presenten dolor abdominal de origen desconocido.[9]
Exploración física
Por lo general no hay hallazgos relevantes en casos de embarazo ectópico sin rotura, aunque el examen pélvico es parte importante de la evaluación.[42][43] Algunas mujeres pueden presentar sensibilidad al movimiento cervical, masa anexial o sensibilidad.[44] Si durante la exploración se encuentra que el cuello uterino está dilatado, esto puede sugerir un aborto espontáneo.
Los signos que sugieren una posible rotura incluyen constantes vitales inestables (cambios ortoestáticos), sangre en la cúpula vaginal o signos de sangrados intraperitoneal (p. ej., abdomen agudo, dolor de hombro o dolor al movimiento cervical).
Si hay inestabilidad hemodinámica y se sospecha de rotura, se pueden acelerar los pasos diagnósticos subsecuentes o pasarlos por alto en favor de una urgente reposición de líquidos e intervención quirúrgica.
Pruebas clave
Una vez confirmado el embarazo mediante un examen de orina o de gonadotropina coriónica humana (hCG), se usa un examen de ETV de alta resolución para determinar la localización del embarazo.[39] También se puede utilizar la ecografía transabdominal; sin embargo, es menos sensible y específica que la ETV.[45] Si se visualiza un embarazo intrauterino, que puede ser viable o no, la probabilidad de que haya un embarazo ectópico es extremadamente baja, con la excepción de un embarazo heterotópico (especialmente tras tratamiento FIV).[44]
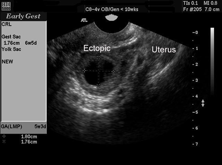
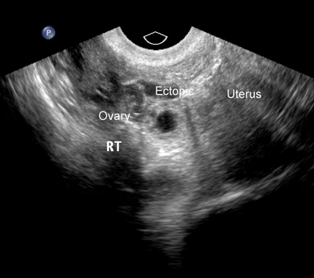
El embarazo ectópico se puede diagnosticar de forma definitiva mediante ultrasonido cuando se observa en los anexos un saco gestacional con saco vitelino o embrión, o ambos.[46] No todos los embarazos ectópicos se pueden visualizar mediante ultrasonido. No obstante, los estudios han demostrado que, con ultrasonido de cada vez mayor resolución y sonografía experta, la ETV es altamente sensible y específica para el diagnóstico del embarazo ectópico. A pesar de eso, sigue habiendo una proporción significativa de casos (de entre el 5% y el 42%) en el que el embarazo, ya sea intrauterino o ectópico, no se puede visualizar mediante ultrasonido. En estos casos, se usa el término descriptivo de embarazo de ubicación desconocida.[47][48][Figure caption and citation for the preceding image starts]: Imagen de ultrasonido de embarazo ectópicoDe la colección de la Dra. Melissa Fries; usado con permiso [Citation ends].
[Figure caption and citation for the preceding image starts]: Imagen de ultrasonido de embarazo ectópicoDe la colección de la Dra. Melissa Fries; usado con permiso [Citation ends].
[Figure caption and citation for the preceding image starts]: Imagen de ultrasonido de embarazo ectópicoDe la colección de la Dra. Melissa Fries; usado con permiso [Citation ends].
Cuando se espera que el embarazo sea visible mediante ultrasonido, la concentración sérica de hCG se conoce como "nivel discriminatorio de hCG". Cuando no se aprecia saco gestacional en el ultrasonido y la hCG en suero está por encima de este nivel, esto sugiere fuertemente una pérdida temprana del embarazo o un embarazo ectópico.[46] El ultrasonido transvaginal de alta resolución hace potencialmente posible detectar un embarazo ectópico con valores de hCG muy por debajo de los umbrales tradicionales.[49][50] No obstante, también se han reportado casos de detección de saco gestacional intrauterino en un ultrasonido de seguimiento cuando no había saco visible anteriormente y con niveles de hCG en suero por encima del nivel discriminatorio.[46] En el caso de mujeres con gestación múltiple, también habrá niveles de hCG más altos que en una gestación sencilla. En vista a esto, se recomienda que si se usan los niveles discriminatorios para diagnosticar el embarazo ectópico, se use un valor conservativamente alto, como 3500 UI/L (3500 mUI/mL), para reducir el riesgo de diagnóstico erróneo.[46] Una única hCG no es capaz de diferenciar el embarazo intrauterino del ectópico.[51] Todos los embarazos deben considerarse potencialmente viables hasta que se diagnostique que no lo son.
El aumento esperado de hCG en suero en un embarazo normal puede depender de los valores iniciales. Si el nivel inicial de hCG es <1500 IU/L (1500 mIU/mL), se esperaría un aumento del 49% o superior en 2 días, mientras que con un nivel inicial > 3000 IU/L (>3000 mIU/mL), el aumento esperado sería de ≥33% en 2 días.[52] En el 99% de los embarazos intrauterinos viables, se observará un aumento de los niveles de hCG durante un periodo de 48 horas mayor que estos umbrales mínimos; una velocidad menor de aumento debería elevar las sospechas de embarazo ectópico o de pérdida temprana del embarazo. Sin embargo, este nivel no debe considerarse un umbral para el diagnóstico de un embarazo no viable.[52][53] También es importante recordar que, cuando se presenta un aumento esperado del nivel de hCG en suero o un descenso de este nivel, esto no descarta la posibilidad de embarazo ectópico.[54] Se aconseja tener cuidado en la interpretación del resultado, ya que un estudio reveló que hasta un 27% de las mujeres diagnosticadas con un embarazo ectópico presentaron curvas de hCG similares a los embarazos normales.[52][55][56]
En relación con la ubicación desconocida del embarazo, en la conclusión del índice de embarazo, el diagnóstico final se debe clasificar como sigue:[48]
Embarazo ectópico visualizado por ultrasonido o durante cirugía.
Embarazo intrauterino visualizado, independiente de la viabilidad.
Embarazo de ubicación desconocida, resuelto espontáneamente.
Para el embarazo de ubicación desconocida, el desenlace final de esta categoría se debe clasificar en base al manejo clínico:
Embarazo ectópico no visualizado: basado en niveles de hCG persistentes o elevados luego de la evacuación uterina y sin evidencia de tejido trofoblástico.
Embarazo de ubicación desconocida persistente tratado: describe mujeres que reciben metotrexato sin confirmación de la ubicación por ultrasonido, histología o cirugía.
Embarazo de ubicación desconocida persistente resuelto: describe mujeres cuyos niveles de hCG sérica se normalizan con manejo expectante.
Embarazo intrauterino histológico: en base a los resultados de la dilatación y el legrado.
Una disminución progresiva de los valores de hCG (es decir, una disminución de 50% en 48 horas) sugiere un embarazo fallido (aborto espontáneo). Se puede tratar de un embarazo intrauterino, pero también de un embarazo ectópico que se está resolviendo espontáneamente.[46][57] Por otro lado, un aumento subóptimo (es decir, <49% de aumento en 48 horas si el nivel inicial de hCG es <1500 mUI/mL, <40% de aumento en 48 horas para un nivel inicial de hCG de entre 1500 y 3000 IU/L (1500 y 3000 mUI/mL) o <33% de aumento en 48 horas si la hCG inicial es >3000 mUI/mL) o una meseta de los valores de hCG pueden sugerir un embarazo ectópico o la pérdida del embarazo.[46][58]
Pruebas complementarias
La progesterona se ha usado en muchos estudios como complemento al diagnóstico de embarazo ectópico. Sin embargo, el Royal College of Obstetricians and Gynaecologists del Reino Unido informa que un nivel de progesterona en suero no es útil para identificar el embarazo ectópico y no figura como prueba diagnóstica recomendada para el embarazo ectópico en las trompas por parte del American College of Obstetricians and Gynecologists.[46][59]
Los niveles de progesterona pueden ser útiles para indicar la viabilidad del embarazo. No obstante, son un mal factor pronóstico de la ubicación del embarazo. Los niveles <20 nanomol/L (<6.3 nanogramos/mL) tienen un valor predictivo positivo alto para el fracaso de un embarazo.[47]
Aunque aún se encuentra en etapa experimental y de investigación, se están realizando tentativas para desarrollar un modelo matemático confirmado que utiliza diversos marcadores séricos maternos tales como la progesterona, la inhibina A, el factor de crecimiento endotelial vascular y la proteína A plasmática asociada con el embarazo para prever, con precisión, la posibilidad de embarazo ectópico.[60]
Las pruebas de orina comercializadas disponibles que evalúan el cociente de hCG intacta, fragmentos de núcleo beta, fragmentos beta mellados e isoformas de la fracción beta de la hCG, no demostraron ser útiles para confirmar un embarazo anormal durante el primer trimestre en el contexto de un servicio de urgencias.[61]
El uso de este contenido está sujeto a nuestra cláusula de exención de responsabilidad