Images and videos
Images

Neuroblastoma
Neural crest development and neuroblastoma formation; EMT = epithelial to mesenchymal transition
Created by BMJ Knowledge Centre, based on Louis CU, Shohet JM. Neuroblastoma: molecular pathogenesis and therapy. Annu Rev Med 2015;357:49-63; used with permission
See this image in context in the following section/s:

Neuroblastoma
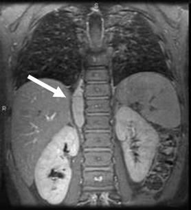
CT scan of the abdomen showing paraspinal neuroblastoma
From the personal collection of Dr Jason Shohet
See this image in context in the following section/s:

Neuroblastoma
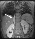
CT scan showing a thoracic paraspinal neuroblastoma wrapping around the spine
From the personal collection of Dr Jason Shohet
See this image in context in the following section/s:

Neuroblastoma
123-iodine-metaiodobenzylguanidine (MIBG) scintigraphy showing multifocal bony metastases
From the personal collection of Dr Jason Shohet
See this image in context in the following section/s:
Use of this content is subject to our disclaimer