Изображения и видео
Изображения

Острая аспирация
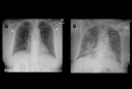
A. Переносной вертикальный рентген грудной клетки до аспирации; Б. Рентгенография грудной клетки через 1 час после аспирации, показывающая двусторонние диффузные альвеолярные инфильтраты, особенно выраженные в базальных отделах справа
Из коллекции д-ра Генри Кольта
Ознакомьтесь с этим изображением в рамках следующего раздела (разделов):

Острая аспирация
Бронхоскопия, показывающая аспирацию бария у пациента с трансплантацией легкого в правом главном бронхе после исследования с глотанием бариевой суспензии
Из коллекции д-ра Kamran Mahmood
Ознакомьтесь с этим изображением в рамках следующего раздела (разделов):
Использование этого контента попадает под действие нашего заявления об отказе от ответственности