Abordagem
Em qualquer paciente com trombocitopenia, descarte a pseudotrombocitopenia (um artefato de laboratório atribuível à presença de anticorpo dependente de EDTA na circulação) por um dos seguintes métodos:
Realizar esfregaço periférico por punção digital (esfregaço de sangue periférico)
Extraia o sangue em um tubo de heparina ou citrato
Realizar a contagem manualmente em uma amostra diluída sem anticoagulantes.
Uma vez confirmada a trombocitopenia verdadeira, a história clínica, o exame físico, o hemograma completo e o esfregaço de sangue periférico facilitarão o diagnóstico diferencial.
História
Sintomas-chave: é importante identificar o momento em que os sintomas começaram para estabelecer se a trombocitopenia é aguda ou crônica.
Contusão fácil
Petéquias
Epistaxe
Sangramento gengival
Sangramento gastrointestinal ou geniturinário.
Os sintomas associados são frequentemente inespecíficos, mas podem ser indicativos de:
Malignidade:
Dor óssea
Sudorese noturna
Náuseas
Anorexia
Fadiga/mal-estar
Fraqueza
Dispneia
Desconforto no quadrante superior esquerdo (esplenomegalia)
Sede e micção excessivas e constipação (mieloma).
Infecção:
Febre
Tosse
Dispneia
Olfato ou paladar alterados
Hemoptise (tuberculose)
Sudorese noturna
Calafrios
Arrepios
Erupção cutânea
Faringite (mononucleose infecciosa)
Diarreia, vômitos e náuseas.
Distúrbios inflamatórios ou autoimunes:
Desconforto articular
Artralgias
Rigidez matinal (artrite reumatoide)
Erupção cutânea malar (lúpus eritematoso sistêmico [LES])
Fadiga
Perda de peso
Tosse
Dispneia
História de aborto espontâneo (síndrome antifosfolipídica)
Doença diarreica em crianças (síndrome hemolítico-urêmica [SHU])
Confusão, convulsões e alterações neurológicas (púrpura trombocitopênica trombótica [PTT]).
Trauma intravascular:
Cirurgia ou procedimento recente
Confusão, dispneia e tosse (coagulação intravascular disseminada [CIVD]).
Toxicidade:
Consumo excessivo de bebidas alcoólicas.
Distúrbios genéticos:
Atopia (síndrome de Wiskott-Aldrich)
Perda auditiva (anomalia de May-Hegglin).
Trombocitopenia familiar e/ou presença de neoplasias mieloides em um membro da família imediata.
Endocrinopatias:
Sintomas de hipotireoidismo: por exemplo, ganho de peso, constipação, fadiga.
Outros:
Sintomas de anemia: por exemplo, fadiga, dispneia, palidez
Distensão abdominal (hemoglobinúria paroxística noturna), trombose da veia porta/síndrome de Budd-Chiari
Prurido, saciedade precoce, dor no quadrante superior esquerdo, abstinência alcoólica (cirrose).
História adicional:
Contagens plaquetárias anteriores para verificar história de níveis baixos ou normais
Infecção por certos vírus, particularmente HIV e síndrome respiratória aguda grave por coronavírus 2 (SARS-CoV-2)
História de condições reumatológicas
História de malignidade
Uma história recente de cirurgia ou transfusão é importante
História familiar de sangramento ou plaquetopenia
Deficiência de vitamina B12 alimentar (por exemplo, ácido fólico) na anemia perniciosa (embora a anemia possa ser um problema de maior importância na apresentação)
Viagem para área endêmica (malária)
Doença recente
Injeções recentes, como vacinações
Internação em unidade de terapia intensiva
Uso indevido de álcool ou drogas ilícitas (cirrose).
Pacientes do sexo feminino:
O estado gestacional é importante, uma vez que as pacientes apresentam risco de púrpura trombocitopênica trombótica, trombocitopenia gestacional (na qual fatores secretados pela placenta causam uma redução na contagem plaquetária) e síndrome de hemólise, enzimas hepáticas elevadas, plaquetopenia (HELLP).
História do uso de medicamentos:
Ingestão recente de novos medicamentos
Exposição à quinina (por exemplo, ingestão de água tônica, pílulas de venda livre para cãibras nas pernas)
Medicamentos contendo enxofre e medicamentos antiepilépticos
Medicamentos quimioterápicos, os quais podem ser usados para o tratamento de distúrbios neoplásicos, vasculite, doença inflamatória intestinal e outros distúrbios reumáticos
Exposição à heparina.
Exame físico
Principais achados clínicos pertinentes à trombocitopenia:
Petéquias ou equimoses
Hemorragia retiniana, um possível sinal de hemorragia intracraniana
Um sangramento no fundo da mucosa bucal, avançando para a parte frontal, é frequentemente um achado preocupante para sangramento intracraniano iminente em um indivíduo com contagem plaquetária extremamente baixa.
Sinais vitais
Febre pode indicar infecção, leucemia, linfoma, CIVD, PTT, LES, sarcoidose ou anemia aplásica
Hipotensão e taquicardia podem ocorrer em casos de CIVD e sepse
A hipertensão é uma característica da síndrome HELLP.
Deverão ser identificados outros achados físicos para restringir o diagnóstico:
Exame físico de rotina
Linfadenopatia
Palidez
Sangramento em locais de linhas intravasculares, cateteres de diálise, dispositivos de oxigenação extracorpórea, drenos torácicos e drenos mediastinais ou pericárdicos
Manchas brancas na língua (candidíase orofaríngea pode ser observada no HIV/AIDS)
Alterações retinianas (infecção por citomegalovírus)[Figure caption and citation for the preceding image starts]: Fundoscopia (olho esquerdo) mostrando área de retinite por citomegalovírus (CMV) envolvendo inferonasalmente as arcadas vasculares e o disco óptico, associada a vasculite e hemorragias em "chama de vela"Adaptado de BMJ Case Reports 2009 (10.1136/bcr.02.2009.1576) [Citation ends].

Icterícia (pode ocorrer na malária, PTT, síndrome HELLP e cirrose)
Sinais de hipotireoidismo: edema periférico, queda de cabelo, bradicardia, fácies do hipotireoidismo, glândula tireoide aumentada
Sinais de doença hepática crônica (telangiectasia aracniforme no tórax, eritema palmar, edema nos pés).
Exame abdominal
Hepatoesplenomegalia (pode ocorrer na leucemia, linfoma, fibrose da medula óssea, trombocitopenia pós-transfusão, malária, síndrome de Wiskott-Alrich, doença de Gaucher)
Ascite (cirrose).
Exame cardiovascular
O pulso pode ser irregular na PTT.
Exame musculoesquelético
Deformidade ou edema articular (LES, artrite reumatoide)
Isquemia digital e/ou membros edemaciados (síndrome antifosfolipídica)
Dor óssea (mieloma múltiplo)
Fraturas ósseas (mieloma múltiplo).
Exame neurológico
Fraqueza ou dormência das pernas (mieloma múltiplo)
Pode ocorrer confusão na CIVD e PTT
Convulsões e sintomas neurológicos focais podem também ocorrer na PTT
Diminuição da sensação vibratória e demência podem indicar deficiência de vitamina B12.
Exames iniciais
O esfregaço de sangue periférico é uma etapa inicial importante na identificação da causa de trombocitopenia.
A trombocitopenia imune (PTI) é um diagnóstico de exclusão, e o esfregaço de sangue periférico mostrará apenas plaquetopenia, geralmente com plaquetas grandes de tamanhos variados. Os eritrócitos devem aparentar normalidade.[4]
A presença de esquistócitos e eritrócitos nucleados juntamente com trombocitopenia no esfregaço geralmente indica PTT, SHU ou CIVD. Os esquistócitos são também observados na sepse.
Os blastos no esfregaço de sangue periférico aumentam a possibilidade de leucemia aguda. Se o esfregaço de sangue periférico mostrar a presença de blastos, o paciente deverá ser imediatamente encaminhado para um hematologista/oncologista ou outro especialista apropriado.
Uma formação de rouleaux sugere mieloma múltiplo ou outra paraproteinemia. Ela também pode ocorrer com uma inflamação grave.
Alterações leucoeritroblásticas podem ser observadas na malignidade metastática e na fibrose da medula óssea.
Linfócitos atípicos podem ser observados na mononucleose.
A macrocitose pode indicar abuso de álcool, deficiência de B12 ou deficiência de folato.
Células polimorfonucleares hipersegmentadas são uma característica da deficiência de B12 ou folato.
Plaquetas pequenas ocorrem na síndrome de Wiskott-Aldrich.
Plaquetas grandes ocorrem em distúrbios relacionados a MYH9, inclusive anomalia de May-Hegglin e síndrome de Bernard-Soulier. Os corpúsculos de Döhle em células polimorfonucleares também são observados em distúrbios relacionados a MYH9.
A aglomeração de plaquetas será visível nos casos de pseudotrombocitopenia.
Hemograma completo com diferencial:
Identifica a extensão da trombocitopenia.
Identifica anemia concomitante, leucocitopenia ou leucocitose.
É importante analisar os resultados de qualquer hemograma completo prévio para investigar história de plaquetopenia.
A pseudotrombocitopenia se apresenta com baixas contagens plaquetárias em tubos de coleta com ácido etilenodiaminotetracético (EDTA). No entanto, a contagem plaquetária é normal usando um tubo de coleta revestido com heparina ou citrato.
Exames específicos
Os resultados do esfregaço de sangue periférico, juntamente com os achados clínicos, devem restringir o diagnóstico diferencial e orientar as investigações adicionais.
Investigações laboratoriais
A creatinina sérica pode estar elevada na PTT, SHU, LES, sepse e mieloma múltiplo. O BUN pode estar elevado, e os eletrólitos séricos podem estar alterados em caso de sepse.
Testes da função hepática (TFHs) (inclusive bilirrubina, alanina aminotransferase [ALT], aspartato aminotransferase [AST] e albumina) podem distinguir entre HELLP e trombocitopenia gestacional. Alterações características na cirrose incluem hipoalbuminemia e bilirrubina elevada. A malária, a dengue e a infecção pelo vírus Epstein-Barr podem causar transaminases elevadas. Os TFHs podem estar alterados na sepse. A bilirrubina indireta está elevada se houver hemólise.
Cálcio sérico: pode estar elevado em caso de mieloma múltiplo e sarcoidose.
O tempo de protrombina (TP), o tempo de tromboplastina parcial ativada (TTP) e o fibrinogênio podem ajudar a distinguir entre CIVD, trombocitopenia pós-transfusão, PTI e PTT. O TP e o TTP ativada estão prolongados na cirrose. Os estudos de coagulação podem estar anormais na sepse.
O dímero D está elevado na CIVD e, geralmente, está normal na PTT.
A contagem sérica de reticulócitos e a lactato desidrogenase (LDH) são elevadas na hemólise.
O ácido úrico é elevado na leucemia mielogênica aguda.
Se houver suspeita de mieloma múltiplo, devem ser medidos a eletroforese de proteínas urinárias e séricas, o cálcio sérico, as cadeias leves livres no soro e a beta-2-microglobulina sérica.
Se houver suspeita de doenças autoimunes ou inflamatórias, como LES, artrite reumatoide, síndrome antifosfolipídica e sarcoidose, a velocidade de hemossedimentação, o fator antinuclear, os anticorpos anti-DNA de fita dupla, os anticorpos anti-Smith, o fator reumatoide, os anticorpos antipeptídeos citrulinados cíclicos, os anticorpos anticardiolipina, o anticorpo anti-beta2-glicoproteína I e o anticoagulante lúpico podem ajudar a diferenciar o diagnóstico.
A tireoidite de Hashimoto é confirmada com anticorpos antimicrossomais. Testes de função tireoidiana mostram elevação do hormônio estimulante da tireoide e T4 baixo.
Se houver suspeita de deficiência de vitamina B12 ou de folato, níveis baixos confirmarão o diagnóstico.
Se houver suspeita de processo infeccioso, os seguintes exames deverão ser solicitados:
Sepse: hemoculturas, gasometria arterial, lactato sérico, proteína C-reativa, culturas no local suspeito de infecção
COVID-19: reação em cadeia da polimerase via transcriptase reversa em tempo real para síndrome respiratória aguda grave por coronavírus 2 (SARS-CoV-2)
Mononucleose: teste de aglutinação de anticorpos heterófilos, anticorpos específicos do vírus Epstein-Barr
HIV: o teste de anticorpo anti-HIV, associado à contagem de CD4, identifica a presença e progressão do vírus HIV
Citomegalovírus: sorologia
Coloração de escarro para bacilos álcool-ácido resistentes ou testes de amplificação de ácidos nucleicos, se houver suspeita de tuberculose.
Urinálise: indicada em casos de suspeita de malária, LES, trombocitopenia gestacional e hemoglobinúria paroxística noturna.
Exames de imagem
A tomografia computadorizada (TC) do crânio é essencial se houver suspeita de hemorragia intracraniana.
Uma radiografia de esqueleto, inclusive radiografias dos ossos longos, crânio e coluna vertebral, é realizada em todos os pacientes com suspeita de mieloma múltiplo. Pode-se também usar uma TC de baixa dose de corpo inteiro para este fim.[44]
Uma TC do abdome ajuda a identificar patologias como cirrose, esplenomegalia, metástases ou linfoma.
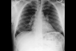
A radiografia torácica pode apresentar sinais de tuberculose miliar, câncer pulmonar ou sarcoidose.[Figure caption and citation for the preceding image starts]: Adenopatia hilar bilateral associada a sarcoidoseDo acervo de Muthiah P. Muthiah, MD, FCCP [Citation ends].

Exames especializados
Uma aspiração e/ou biópsia da medula óssea serão realizadas se todos os outros estudos forem inconclusivos. A aspiração e/ou biópsia da medula óssea podem ser utilizadas no diagnóstico de leucemia, mieloma múltiplo, fibrose da medula óssea, PTI, PTT, HIV e anemia aplásica. A biópsia da medula óssea é geralmente realizada apenas para suspeita de PTI se o quadro clínico for atípico ou o paciente não responder à terapia para PTI.
A análise citogenética da medula óssea gera informações prognósticas na leucemia e no mieloma múltiplo.
A biópsia de linfonodos é indicada em caso de suspeita de linfoma.
Os ensaios de antígenos para anticorpos da trombocitopenia induzida por heparina (TIH) são usados para diagnosticar a TIH.
Se houver suspeita de um distúrbio genético, podem ser necessários testes específicos, incluindo sequenciamento de genes únicos, sequenciamento de próxima geração, cultura de fibroblastos cutâneos e citometria de fluxo plaquetário.[45]
O uso deste conteúdo está sujeito ao nosso aviso legal